点击蓝字
关注我们

2025年诺贝尔生理学或医学奖表彰了Mary Brunkow、Fred Ramsdell与坂口志文在调节性T细胞(Treg细胞)领域的开创性贡献——他们发现并定义了Treg细胞,揭示其在调控自身反应性应答、维持外周免疫耐受中的核心作用,为免疫生物学研究奠定了重要基础。


中文题目:肿瘤产生的氨被调控T细胞代谢,进一步阻碍抗肿瘤免疫
发表期刊:Cell
发表时间:2025年12月
研究背景
研究思路
样本与模型:临床肿瘤组织样本 + 多种小鼠肿瘤模型(皮下 / 原位肝癌等)+ 基因工程小鼠 + 体外分离 Treg/CD8⁺/CD4⁺T 细胞。
空间多组学:空间转录组(10× Visium)+ 空间代谢组(AFADESI-MSI)联合分析,定位免疫细胞与代谢物分布关联。
机制验证:¹⁵N 标记代谢追踪、基因编辑(shRNA/CRISPR)、分子互作检测(MST/ITC/CETSA)。
功能与临床验证:流式细胞术、Seahorse OXPHOS 检测、CFSE 抑制实验 + 抗 PD-1 联合抑制剂(CB839/R162)治疗实验 + 临床样本关联分析。

研究结果
1

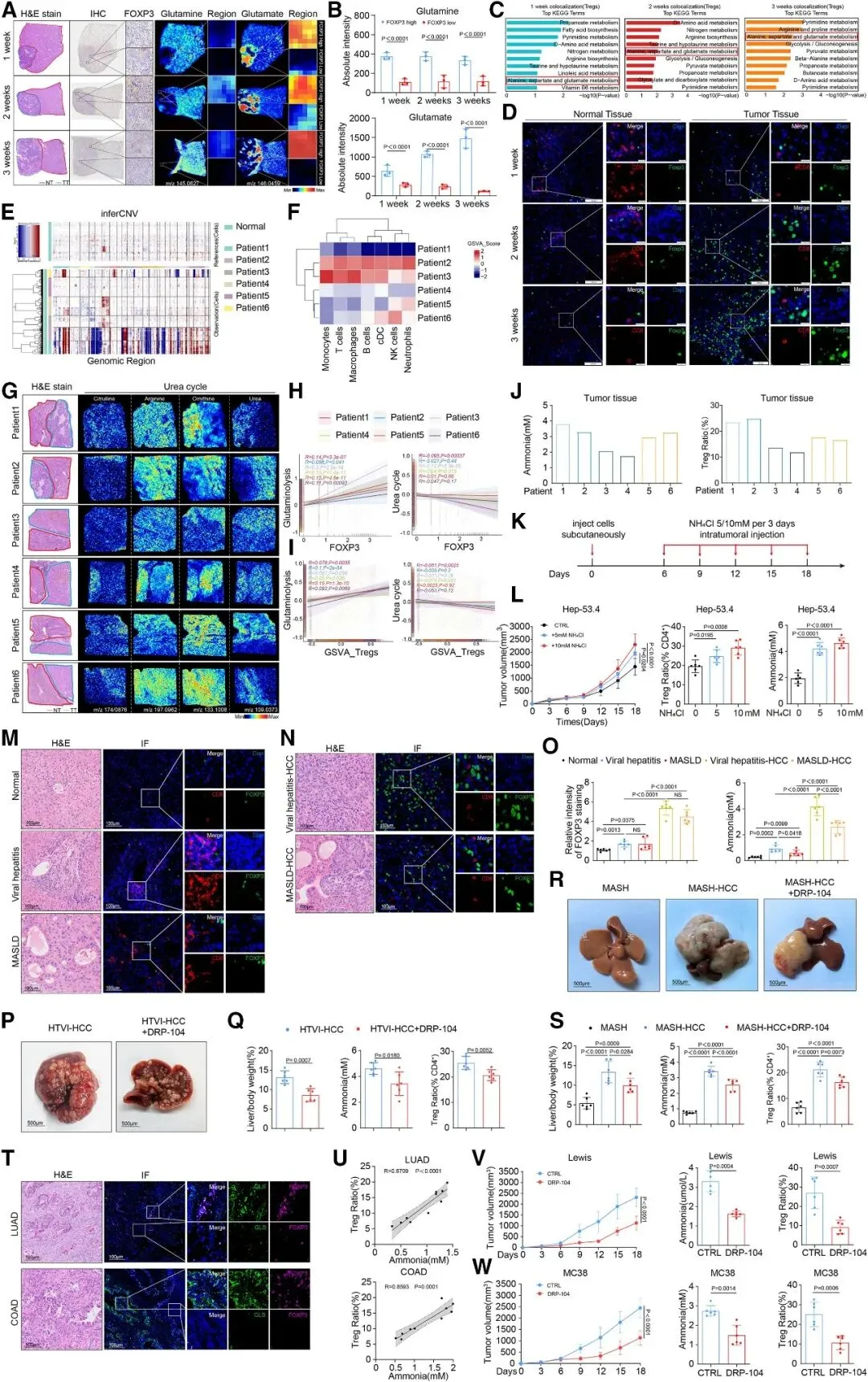
高谷氨酰胺分解和低尿素循环活性是富含调节性T细胞(Treg)的肿瘤亚区域的关键代谢特征


2

调节性T细胞(Tregs)而非CD8+或CD4+T细胞可抵抗氨诱导的凋亡


3

氨暴露通过上调精氨酰琥珀酸裂解酶表达,诱导Tregs中的尿素循环活化


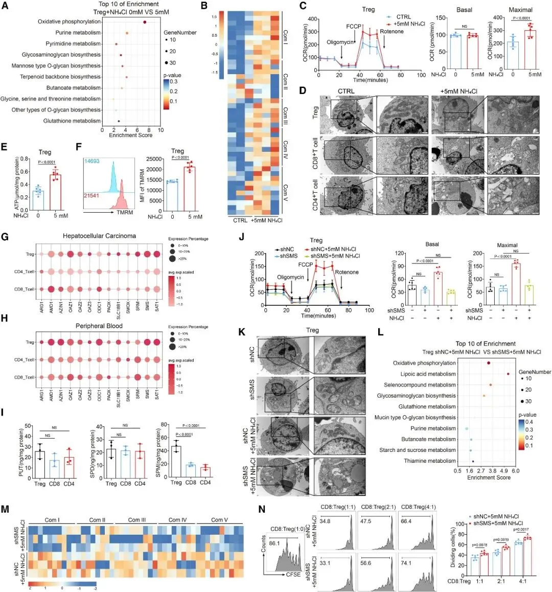
4

氨通过FOXP3驱动的精子合酶表达促进Treg中的OXPHOS


5

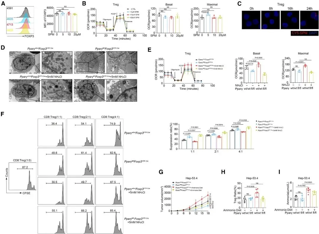
Spermine通过PPARγ增强Treg OXPHOS和免疫抑制能力


6

Spermine 直接结合 PPARγ 以调控线粒体复合物的形成和 Tregs 中的 OXPHOS


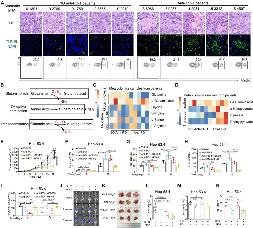
7

抗PD-1疗法引起的细胞死亡产生的氨增强了Tregs,并促进免疫疗法耐药性


文章小结
该研究首次阐明了氨作为肿瘤代谢中间产物的免疫调节作用,揭示了 Treg 在氨环境中的双重代谢适应机制,为解决肿瘤免疫逃逸和 PD-1 耐药提供了新的干预思路:
未来,针对氨代谢的小分子抑制剂与免疫检查点抑制剂的联合疗法,有望为肿瘤患者带来新的治疗希望。相关临床转化研究值得进一步探索。
别让繁琐的数据分析拖慢科研进度!西安科信服生物的专业团队,懂你所需、解你所难:转录组、单细胞、肠道菌群…… 无论哪个领域,机器学习、孟德尔随机化等工具信手拈来。从数据到结论,从思路到成果,一站式服务让你专注科学本身。现在就联系我们,让你的科研之路少走弯路,快速产出高质量成果,离顶刊更近一步!
END
往期推荐

IF 7.5!绝了!单细胞 + 转录组 + 蛋白组三重加持,101 种机器学习 + 反向网药,解锁肝纤维化→HCC 新机制!
数据到手就发愁?别让分析拖垮你的课题进度!

单细胞、孟德尔、机器学习…技术更新太快学不动?自己摸索耗时易错?🔥 我们为你铺好最后一公里路!从方案设计、数据清洗到结果解析,核心技能一站配齐。不止教技术,更教你如何用在课题上。👉 专属福利:现在报名,享一对一导师全程答疑,真正“学会为止”!⏰ 限时叠加:三人拼团立减288元,转发海报再领神秘科研好礼!扫码咨询,让你的科研效率翻倍!




