肌-脑对话
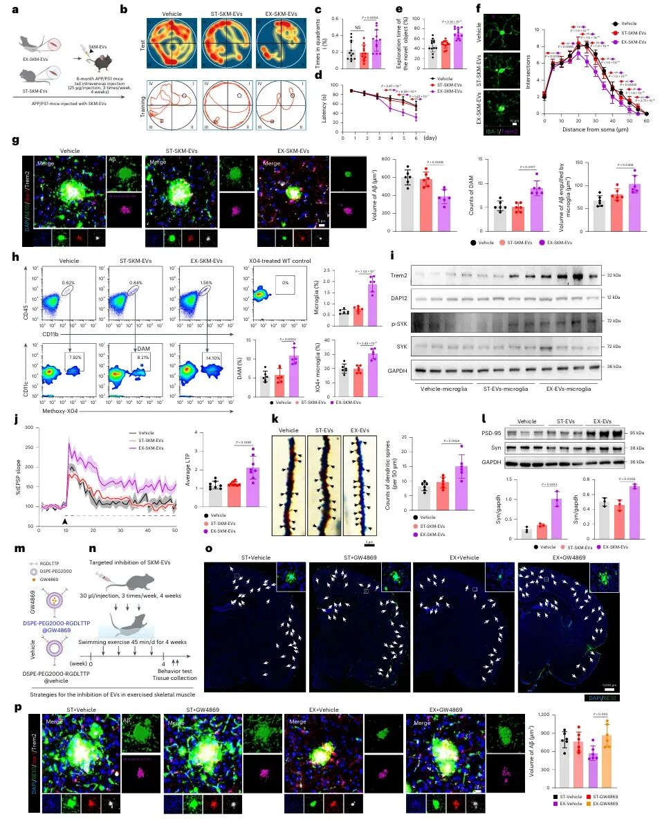
近年来,骨骼肌作为内分泌器官的角色逐渐受到重视——它不仅能分泌肌因子调控远端器官,还可释放细胞外囊泡介导跨器官通讯。与此同时,神经炎症研究揭示了小胶质细胞在AD中的关键作用,尤其是2017年鉴定的疾病相关小胶质细胞亚群DAM,具有强大的Aβ清除能力。然而,运动是否通过调控DAM发挥神经保护作用尚不清楚。南京大学郭保生教授、蒋青教授和chenxiang等人提出核心假设:运动诱导骨骼肌分泌富含miR-378a-3p的EVs,经血液循环进入大脑后被小胶质细胞摄取,通过增强脂质代谢促进DAM极化和Aβ清除,从而改善认知功能。相关内容以“Exercise alleviates cognitive dysfunction in Alzheimer’s disease mice via skeletal muscle-derived extracellular vesicles that enhance plaque clearance by microglia”为题发表在《Nature Aging》上。图1游泳运动改善APP/PS1小鼠认知功能并激活疾病相关小胶质细胞该图首先呈现了实验设计流程,随后通过免疫荧光三维重建显示运动组小鼠大脑皮层和海马区淀粉样斑块体积显著减小、DAM细胞数量增多且对斑块的吞噬能力增强,Sholl分析揭示了运动诱导小胶质细胞呈现典型的极化形态——分支减少、胞体增大。流式细胞术进一步证实运动组CD11c和methoxy-X04双阳性DAM比例显著升高,Western blot和PCR分析显示Trem2、p-SYK等DAM标志物表达上调。关键的功能验证实验通过PLX5622药物清除小胶质细胞,发现这完全消除了运动对认知功能的改善作用,伴随Aβ斑块积累增加和突触可塑性指标下降,从而确立小胶质细胞激活是运动改善AD认知功能的必要环节。图2运动促进骨骼肌来源EVs分泌及其进入小胶质细胞的过程免疫荧光显示运动小鼠比目鱼肌中EVs分泌关键蛋白Rab27a表达显著升高,离体肌肉电刺激训练模型结合Western blot证实运动上调ALiX、CD9、CD63、Rab27a等EVs生物合成和分泌基因的表达。透射电镜和纳米颗粒追踪分析显示离体训练组EVs直径约80nm且分泌量显著增加。研究者构建了骨骼肌特异性CD63-GFP报告基因小鼠,直接观察到运动后GFP标记的SKM-EVs在肌肉中积累增加,更重要的是这些EVs能够穿越血脑屏障进入皮层和海马,并被IBA-1阳性小胶质细胞摄取,体外PKH26标记实验进一步证实SKM-EVs可被原代小胶质细胞和BV2细胞摄取。图3运动诱导的SKM-EVs通过激活小胶质细胞改善认知功能尾静脉注射实验显示,运动组SKM-EVs显著改善APP/PS1小鼠的空间记忆和新奇物体识别能力,诱导小胶质细胞极化形态改变,增强DAM对Aβ斑块的吞噬,降低可溶性Aβ水平,并提升突触可塑性相关蛋白PSD-95和Syn的表达及LTP水平;而久坐组SKM-EVs无此效应。反之,利用RGDLTTP肽修饰的脂质体包裹GW4869特异性阻断骨骼肌EVs分泌后,运动对认知功能的改善作用被完全消除,Aβ斑块清除受阻,DAM极化受抑。图4SKM-EVs中miRNA的功能贡献并鉴定miR-378a-3p为关键效应分子通过构建骨骼肌特异性Dicer1条件敲除小鼠阻断miRNA成熟,发现敲除鼠运动后SKM-EVs丧失认知改善功能,而野生型运动SKM-EVs仍有效,证明miRNA是必需功能组分。深度miRNA测序筛选出20个在运动组EVs中显著上调的miRNA,结合组织表达数据库分析锁定miR-378a-3p、miR-378c和miR-22-3p三个候选分子,其中仅miR-378a-3p在骨骼肌和SKM-EVs中均显著上调,且其成熟形式在海马和皮层升高而初级转录本不变。图5miR-378a-3p对认知功能和DAM激活的调控作用海马直接注射miR-378a-3p-agomir显著改善APP/PS1小鼠认知表现,增强c-Fos表达提示突触可塑性提升,诱导DAM极化形态并促进Aβ清除。体外实验显示miR-378a-3p模拟物增强原代小胶质细胞迁移能力、Trem2表达和Aβ肽吞噬。肌肉靶向AAV介导的miR-378a-3p过表达提升血清和脑内EVs及脑组织miR-378a-3p水平,改善认知并降低Aβ负荷;而miR-378a-3p海绵敲低则抵消运动的认知保护效应。图6miR-378a-3p通过靶向p110α调控脂质代谢促进小胶质细胞激活RNA测序KEGG分析显示miR-378a-3p模拟物处理显著改变原代小胶质细胞脂肪酸代谢通路,具体表现为甘油三酯水平升高、ATP产生增加、脂蛋白脂肪酶LPL表达上调。已知p110α是PI3K催化亚基和miR-378a-3p直接靶点,实验证实miR-378a-3p模拟物降低p110α表达,进而抑制AKT和GSK3β磷酸化、促进FoxO1入核,最终上调LPL表达;FoxO1抑制剂AS1842856可阻断LPL上调和ATP产生,揭示miR-378a-3p-p110α-AKT-GSK3β-FoxO1-LPL轴是调控DAM脂质代谢和吞噬功能的核心通路。图7过表达miR-378a-3p的肌管EVs作为治疗策略研究者构建miR-378a-3p过表达的C2C12肌细胞系,诱导分化为肌管后分离EVs,尾静脉注射APP/PS1小鼠显示myotubemir378aOE-EVs显著改善认知功能、减少Aβ斑块、增强DAM极化和吞噬、提升突触可塑性标志物。微胶质细胞清除实验证实该治疗效应依赖于DAM的存在。这些结果表明工程化改造的过表达miR-378a-3p肌管EVs可模拟运动的神经保护效果。该研究不仅首次建立了"骨骼肌-小胶质细胞"跨器官通讯的理论框架,丰富了运动医学和神经退行性疾病领域的认知,更为无法从传统运动中获益的AD患者提供了潜在的治疗替代方案,具有重要的科学价值和临床转化前景。
「BioMed科技」关注生物医药×化学材料交叉前沿研究进展!交流、合作,请添加杨主编微信!

https://doi.org/10.1038/s43587-026-01075-5来源:BioMed科技声明:仅代表作者个人观点,作者水平有限,如有不科学之处,请在下方留言指正!