

01
研究背景
先天性心脏病(CHD)是最常见的出生缺陷,也是导致新生儿死亡的主要原因之一。除了遗传因素,孕期环境对胎儿心脏发育的影响越来越受到关注。
胆固醇不只是"坏东西",它在胎儿发育中扮演关键角色:
🧱 建筑材料:构成细胞膜,维持细胞结构
🧪 原料工厂:合成激素和胆汁酸
📡 信号传递:激活Hedgehog(Hh)信号通路——这是心脏发育的"指挥官"
已知问题:
孕期服用他汀类降脂药(降胆固醇)可能增加胎儿心脏缺陷风险
但母体胆固醇水平本身与CHD的关系尚不清楚
胆固醇具体如何影响心脏形成的分子机制仍是"黑箱"
研究目标:搞清楚"妈妈胆固醇低→宝宝心脏出问题"是不是真的,以及背后的生物学机制。
02
研究方法
本研究采用了"临床发现→动物验证→机制探索→干预验证"的完整链条:
对象:江苏出生队列中的 5041个家庭三联体(妈妈+爸爸+宝宝)
检测:孕中期(14-27周)和孕晚期(28-36周)测量母体血清总胆固醇
随访:通过超声心动图筛查宝宝心脏缺陷(产前+出生后1年)
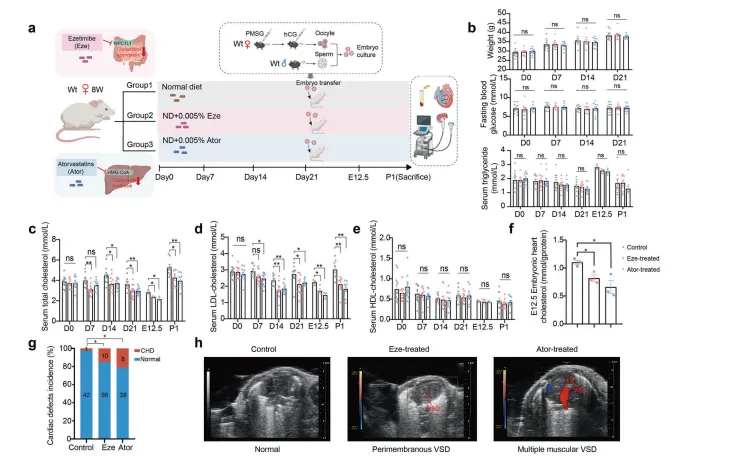
药物干预:给孕鼠喂食两种降脂药
依折麦布(Eze):抑制肠道胆固醇吸收
阿托伐他汀(Ator):抑制胆固醇合成
观察指标:胚胎心脏胆固醇水平、后代CHD发生率
基因选择:CYP51A1——胆固醇合成通路的关键酶
突变引入:在CHD患儿中发现I383V突变(c.1147A>G)
技术手段:CRISPR/Cas9构建Cyp51^I383V敲入小鼠
优势:比药物模型更接近临床实际情况(模拟遗传缺陷)
单细胞测序:分析E10.5胚胎心脏细胞的基因表达变化
CUT&Tag技术:检测转录因子与DNA的结合
细胞实验:观察胆固醇补充对纤毛形成和信号通路的影响
高胆固醇饮食(HCD):给突变孕鼠喂食含0.1%胆固醇的饲料
观察:能否挽救后代的心脏缺陷?

03
研究结果
孕中期:胆固醇最低组(T1)CHD风险增加 52%(RR=1.52)
孕晚期:胆固醇最低组(T1)CHD风险增加 73%(RR=1.73)
关键点:胆固醇过低风险高,过高也有风险趋势,呈现"U型曲线"
| 14.2% | ||
| 17.4% |
胚胎心脏胆固醇水平随母体胆固醇下降而降低
Cyp51^I383V突变后果:
纯合子胚胎心脏胆固醇几乎检测不到
杂合子和纯合子均出现CHD(房缺、室缺、房室间隔缺损)
心肌变薄、心肌细胞增殖减少
分子机制链条:
CYP51突变 → 胆固醇合成障碍 → 纤毛形成异常 → Hedgehog信号减弱 → GLI1活性下降 → GATA4表达降低 → 心肌细胞增殖受阻 → 心脏结构缺陷关键证据:胆固醇不仅共价修饰Hh蛋白,还通过非共价结合RAB11调控纤毛形成
| 5.8% |
补充胆固醇后:心肌增殖恢复、GATA4表达恢复、纤毛形成恢复

04
结论
母体胆固醇不足是CHD的可调控危险因素——不是玄学,是实锤
胆固醇通过Hh信号通路和纤毛功能调控心脏发育——机制清晰
CYP51A1 I383V是CHD的致病突变——遗传证据
孕期胆固醇补充可预防CHD——有解决方案
| 孕前咨询 | |
| 孕期监测 | |
| 营养干预 | |
| 用药警示 |
—END—
文献领取公众号后台回复“2025dkjd”

sci论文录用喜报:
3.录用喜报:C同学,历时11个月,成功拿下3.9分SCI论文