为探究葛连启神汤(GQD)改善非酒精性脂肪肝(NAFLD)的机制,先构建高脂饮食诱导的 C57BL/6J 小鼠 NAFLD 模型,经不同剂量 GQD 干预后,通过生化、病理及糖耐量实验验证其对 NAFLD 的改善作用;再利用细胞实验、分子实验明确 GQD 激活肠道内分泌细胞苦味受体和 TGR5 等 G 蛋白偶联受体(GPCR)、促进 GLP-1 分泌的直接作用及关键活性成分;随后通过 16S rDNA 测序、代谢组学分析 GQD 对小鼠肠道菌群及短链脂肪酸(SCFAs)的调控作用,并结合粪菌移植实验验证肠道菌群的介导作用;最终证实 GQD 可通过活性成分直接激活 GPCR 促进 GLP-1 分泌,同时调控肠道菌群升高 SCFAs、上调结肠 Gcg 基因表达实现 GLP-1 持续升高,双重途径协同改善 NAFLD 相关症状。

为探究葛连启神汤(GQD)改善非酒精性脂肪肝(NAFLD)的机制,先构建高脂饮食诱导的 C57BL/6J 小鼠 NAFLD 模型,经不同剂量 GQD 干预后,通过生化、病理及糖耐量实验验证其对 NAFLD 的改善作用;再利用细胞实验、分子实验明确 GQD 激活肠道内分泌细胞苦味受体和 TGR5 等 G 蛋白偶联受体(GPCR)、促进 GLP-1 分泌的直接作用及关键活性成分;随后通过 16S rDNA 测序、代谢组学分析 GQD 对小鼠肠道菌群及短链脂肪酸(SCFAs)的调控作用,并结合粪菌移植实验验证肠道菌群的介导作用;最终证实 GQD 可通过活性成分直接激活 GPCR 促进 GLP-1 分泌,同时调控肠道菌群升高 SCFAs、上调结肠 Gcg 基因表达实现 GLP-1 持续升高,双重途径协同改善 NAFLD 相关症状。

研究设计

先构建高脂饮食小鼠 NAFLD 模型,验证不同剂量 GQD 对小鼠肝脂肪变性、糖脂代谢的改善作用并检测 GLP-1 水平及 Gcg 基因表达;再通过 NCI-H716 细胞实验、小鼠急性实验明确 GQD 促进 GLP-1 分泌的分子靶点(苦味受体、TGR5);利用 UPLC-MS/MS 分析 GQD 的化学成分及回肠分布,筛选出促 GLP-1 分泌的关键活性成分;通过 16S rDNA 测序、代谢组学探究 GQD 对肠道菌群及代谢物的调控,结合粪菌移植实验验证肠道菌群在 GQD 抗 NAFLD 中的介导作用,多维度解析 GQD 的作用机制。

研究结果

GQD 呈剂量依赖性改善高脂饮食小鼠肝脂肪变性、糖耐量异常和血脂升高,减少能量摄入,升高血清 GLP-1 水平并上调结肠 Gcg 基因表达;GQD 可激活肠道内分泌细胞的苦味受体和 TGR5,促进细胞内钙内流进而刺激 GLP-1 分泌,小檗碱、莲心碱等生物碱 / 蒽醌类激活苦味受体,山楂酸、环黄芪醇等三萜类激活 TGR5;GQD 重塑小鼠肠道菌群,升高 Muribaculaceae 和 Akkermansia 丰度,增加乙酸、丙酸等 SCFAs 含量;粪菌移植实验证实肠道菌群可部分介导 GQD 升高 GLP-1、改善 NAFLD 的作用。

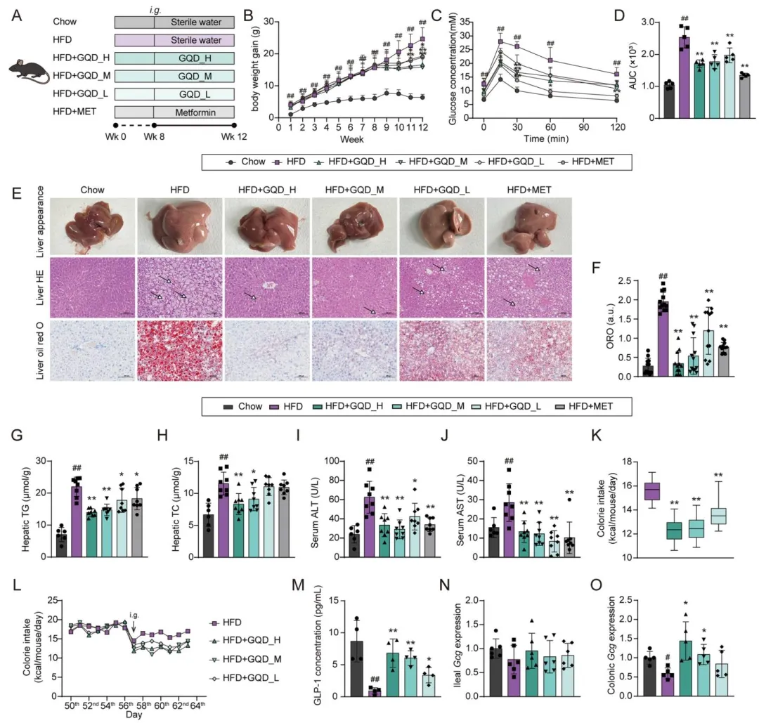
Fig1:验证 4 周不同剂量 GQD 干预可改善高脂饮食小鼠的体重增加、糖耐量异常,减轻肝脂肪变性、降低肝脂和血清转氨酶水平,减少小鼠每日热量摄入,同时剂量依赖性升高血清 GLP-1 水平、上调结肠 Gcg 基因表达,证实 GQD 对 NAFLD 的改善作用与 GLP-1 相关。

Fig2:证实单次给予 GQD 可直接升高高脂饮食小鼠血清 GLP-1 水平,且呈剂量依赖性改善小鼠糖耐量,而 GLP1R 抑制剂可逆转 GQD 改善糖耐量的作用,说明 GQD 对糖代谢的改善依赖于 GLP-1 通路。

Fig3:证实 GQD 可促进 NCI-H716 细胞钙内流和 GLP-1 分泌,苦味受体抑制剂、TGR5 抑制剂及对应的基因敲低可阻断该作用,GQD 可直接激活 TGR5,且两种抑制剂能减弱 GQD 在小鼠体内的促 GLP-1 分泌作用,明确 GQD 通过激活苦味受体和 TGR5 促进 GLP-1 分泌。

Fig4:通过 UPLC-MS/MS 获得 GQD 及灌胃后小鼠回肠内容物在正负离子模式下的化学图谱,直观展示 GQD 的化学成分及经胃肠道后在回肠的分布特征,为筛选活性成分提供基础。

Fig5:筛选出 GQD 中可促进 NCI-H716 细胞钙内流和 GLP-1 分泌的关键活性成分,证实生物碱 / 蒽醌类的作用依赖苦味受体、三萜类的作用依赖 TGR5,明确 GQD 促 GLP-1 分泌的物质基础。

Fig6:证实 GQD 可改善高脂饮食小鼠肠道组织形态,逆转肠道菌群失调、降低厚壁菌门 / 拟杆菌门比值,升高 Muribaculaceae 和 Akkermansia 等有益菌丰度,显著增加结肠 SCFAs 含量,对胆汁酸水平无明显影响,揭示 GQD 对肠道菌群及代谢物的调控作用。

Fig7:粪菌移植实验证实,移植 GQD 处理小鼠的粪菌可减轻高脂饮食受体小鼠的体重增加、改善胰岛素抵抗,升高血清 GLP-1 水平,减少肝脂肪堆积、降低血清转氨酶,同时改善肠道组织形态,证明肠道菌群部分介导 GQD 的抗 NAFLD 作用。

Fig8:可视化总结 GQD 改善 NAFLD 的双重机制,即活性成分直接激活小肠 GPCR 促进 GLP-1 分泌,同时调控肠道菌群升高 SCFAs、上调结肠 Gcg 基因表达实现 GLP-1 持续升高,最终通过改善胰岛素敏感性、减少能量摄入缓解 NAFLD。

研究结论

本研究证实 GLP-1 是 GQD 改善 NAFLD 的关键靶点,GQD 中生物碱、蒽醌类通过激活苦味受体,三萜类通过激活 TGR5,共同促进肠道 L 细胞钙内流和 GLP-1 分泌;同时 GQD 可逆转 NAFLD 小鼠肠道菌群失调,升高产 SCFAs 的有益菌丰度,SCFAs 可激活结肠 GPR41 等受体上调 Gcg 基因表达,实现 GLP-1 的持续升高,且 GQD 中多种活性成分可协同调控肠道菌群,进一步佐证中药多成分、多靶点的作用特点。但本研究存在局限性,对苦味受体和 TGR5 的机制验证仅采用药理学抑制剂,未使用基因敲除模型,无法完全排除抑制剂的脱靶效应,后续需利用肠道 L 细胞特异性或全身敲除模型进一步明确受体的特异性作用。
本文中使用的图片来源于Pubmed,因客观原因未能与权利人取得联系。本平台出于学术交流目的引用,无意侵犯原作者权益。如权利人认为不妥,请及时联系公众号后台,我们将立即删除或协商解决。
医学国自然,省自然,博士课题设计,医学实验外包,医学SCI,实验方案设计,免费的线上博导一对一沟通,确认实力后再谈合作,科研合作可以加微信:SCI971SCI

国家杰青一对一答疑视频
医学省自然申请答疑,立项的关键条件是哪一些?从哪些方向可以杀出重围
科研信息合集
国自然中标信息
国自然思路分享
骨科领域研究分享
医学课题申报通知
心血管领域科研分享
高分文献解析
神经领域科研分享
麻醉领域科研分享
肾脏领域科研分享
