
1.研究背景
EGFR-TKI 是 EGFR 突变非小细胞肺癌的核心精准治疗手段,但奥希替尼等药物引发的耐药问题仍是临床治疗瓶颈,其中药物耐受持留细胞(DTP)作为获得性耐药的关键中间状态,通过非突变机制形成微小残留病,是肿瘤复发的重要原因。内质网应激介导的未折叠蛋白反应(UPR)是 DTP 细胞应对药物压力、维持蛋白稳态的重要途径,内质网作为钙储存细胞器,其稳态失衡与肿瘤耐药密切相关。环状 RNA 因稳定性高、免疫原性低成为 RNA 治疗新方向,但尚未有靶向 DTP 细胞的 circRNA 联合 EGFR-TKI 的研究。本研究基于 DTP 细胞的耐药特征,聚焦 circRNA 调控网络,探索其与 EGFR-TKI 协同抗癌的机制及转化应用,为克服 NSCLC EGFR-TKI 耐药提供新思路。
2.研究设计
细胞层面构建奥希替尼诱导的 HCC827、PC9 细胞 DTP 及获得性耐药模型,通过 EdU、细胞周期、凋亡实验验证细胞表型;采用全转录组测序筛选 DTP 细胞中差异表达的 circRNA,借助慢病毒文库筛选与 EGFR-TKI 协同的 circATF6,经 Sanger 测序、RNase R 消化验证其环状特征。分子机制上,通过 RNA pulldown、质谱、RIP、SPR 实验验证 circATF6 与 BiP 的结合及结合域;利用免疫印迹、免疫荧光、PLA 实验分析 UPR 通路活性、蛋白稳态及钙稳态相关指标;通过钙探针染色检测细胞质和内质网钙水平。体内构建裸鼠皮下和原位肺癌移植瘤模型,验证 circATF6 过表达及脂质纳米粒递送系统联合奥希替尼的抗癌效果;采用 IHC、TUNEL 染色分析肿瘤增殖和凋亡,同时检测小鼠脏器功能评估治疗毒性。
3.结果解读
成功构建可逆的 NSCLC DTP 细胞模型,发现 DTP 细胞呈 G0/G1 期阻滞、对奥希替尼敏感性降低且 UPR 通路激活;全转录组测序发现 circATF6 在 DTP 细胞中由 ADAR1 调控而下调,过表达 circATF6 可选择性诱导 DTP 细胞凋亡并增强奥希替尼的抗癌效果。机制研究表明,circATF6 定位于细胞质并与 BiP 的 ATP 酶结构域结合,稳定 BiP 与 UPR 传感器的结合,抑制 UPR 通路激活,导致错误折叠蛋白聚集、蛋白稳态破坏,引发内质网碎裂;内质网钙库释放至细胞质造成钙超载,最终诱导 DTP 细胞凋亡。脂质纳米粒封装的 circATF6 递送系统可高效转染肿瘤细胞,在体内外模型中与 EGFR-TKI 协同抑制肿瘤生长,且对小鼠主要脏器无明显毒性,ADAR1 抑制剂可增强该协同效果。

Figure 1:该图围绕奥希替尼(Osi)治疗诱导非小细胞肺癌细胞产生可逆性药物耐受持留(DTP)状态展开系统性验证,明确了 DTP 是肺癌细胞获得性耐药过程中的关键中间状态。通过构建 HCC827 和 PC9 细胞的 Osi 处理模型,经 45 天药物处理成功诱导出亲本、DTP 及获得性耐药三种细胞状态,形态学观察显示 DTP 细胞生长受显著抑制;EdU 和细胞周期实验证实 DTP 细胞呈 G0/G1 期阻滞的慢周期特征,增殖能力显著降低;凋亡实验和 Caspase-3 检测发现,相较于亲本细胞,DTP 和获得性耐药细胞在 Osi 处理下的凋亡率明显更低,IC50 实验进一步验证了三种细胞对 Osi 的敏感性依次降低。体外药物洗脱实验显示 DTP 细胞在撤药后可恢复增殖,而获得性耐药细胞则持续耐药,裸鼠皮下移植瘤模型也在体内层面证实了 DTP 状态的可逆性,即 Osi 处理下 DTP 肿瘤生长受抑,撤药后恢复增殖,而获得性耐药肿瘤不受药物影响,全面明确了 DTP 细胞的核心生物学特征及在耐药发生中的中间地位。

Figure 2:该图旨在鉴定 DTP 细胞中差异表达的环状 RNA 并明确 circATF6 的调控机制,证实 circATF6 在 DTP 细胞中因 ADAR1 介导的剪接调控特异性下调。全转录组测序筛选出 DTP 细胞中 216 个下调的环状 RNA,经慢病毒文库筛选发现 circATF6 与 EGFR-TKI 具有协同作用,后续验证确认 circATF6 为包含 ATF6 第 7、8 外显子的 407nt 环状 RNA,具有高稳定性且主要定位于细胞质。表达检测显示 circATF6 在 DTP 状态中特异性下调,而其亲本基因 ATF6 表达趋势相反,且该差异与药物浓度无关;通过剪接因子筛选发现 ADAR1 在 DTP 细胞中高表达,其通过结合 ATF6 前体 mRNA 的反向 Alu 元件抑制 circATF6 的环化生成,STAT3 通路激活介导了 DTP 细胞中 ADAR1 的上调。敲低 ADAR1 可恢复 circATF6 的表达,ADAR1 抑制剂 ZYS-1 联合 Osi 可显著促进 DTP 细胞凋亡,明确了 ADAR1 是调控 circATF6 在 DTP 细胞中下调的关键分子。

Figure 3:该图通过体内外功能实验验证 circATF6 与奥希替尼的协同抗癌作用,证实恢复 circATF6 表达可选择性诱导 DTP 细胞凋亡并增强 Osi 的疗效。利用 Tet-On 系统构建可诱导 circATF6 过表达的细胞模型,体外实验显示,多西环素诱导 circATF6 过表达后,在 Osi 处理下 DTP 细胞的凋亡率显著升高,Caspase-3 活化增强,克隆形成能力和细胞活力显著降低,而亲本和获得性耐药细胞无明显变化,且该效应与 Osi 浓度无关。药物洗脱实验证实 circATF6 过表达可抑制 DTP 细胞撤药后的增殖恢复。裸鼠皮下移植瘤模型中,诱导 circATF6 过表达联合 Osi 治疗可显著抑制 DTP 来源肿瘤的体积和重量,而对亲本和获得性耐药来源肿瘤无明显影响;免疫组化结果显示 DTP 肿瘤中 Ki-67 阳性率降低、TUNEL 阳性率升高,在体内层面证实 circATF6 可选择性增强 Osi 对 DTP 细胞的杀伤作用。

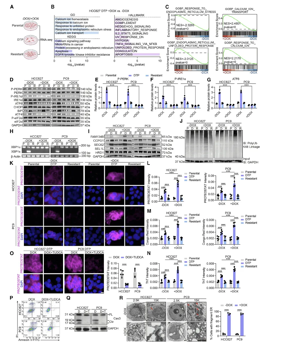
Figure 4:该图深入探究 circATF6 诱导 DTP 细胞凋亡的分子机制,证实过表达 circATF6 可破坏 DTP 细胞的内质网蛋白稳态,引发内质网结构异常。RNA 测序及 GSEA 分析显示,circATF6 过表达可显著调控 DTP 细胞中内质网应激、未折叠蛋白反应(UPR)及钙离子稳态相关通路;检测发现 DTP 细胞中 UPR 通路呈活化状态,而 circATF6 过表达可显著抑制 PERK、IRE1α、ATF6 等 UPR 关键分子的激活。进一步研究发现,circATF6 过表达后,内质网相关降解(ERAD)和内质网自噬(ER-phagy)相关分子表达虽升高,但无法逆转错误折叠蛋白的聚集,K48 多聚泛素化检测和 PROTEOSTAT 染色均证实 DTP 细胞中错误折叠蛋白大量累积。内质网化学伴侣 TUDCA 可减少错误折叠蛋白聚集并逆转 circATF6 诱导的 DTP 细胞凋亡,电子显微镜观察显示,circATF6 过表达可使 DTP 细胞的内质网由适应性扩张转变为碎裂状态,明确了蛋白稳态破坏和内质网结构异常是 circATF6 调控 DTP 细胞存活的关键环节。

Figure 5:该图明确 circATF6 破坏蛋白稳态的直接分子靶点,证实 circATF6 通过结合内质网分子伴侣 BiP/GRP78 的 ATP 酶结构域,抑制 UPR 通路的正常激活。通过 RNA pulldown 联合质谱筛选,鉴定出 BiP 是 circATF6 的核心相互作用蛋白,RNA pulldown、RIP 和 CLIP 实验进一步验证了二者的特异性结合,表面等离子体共振(SPR)实验证实 circATF6 与 BiP 可直接结合,解离常数为 25.53 mM。亚细胞定位显示 circATF6 与 BiP 共定位于 DTP 细胞的内质网中,且 circATF6 过表达不影响 BiP 的 mRNA 和蛋白表达,而是增强了 BiP 与 PERK、IRE1α、ATF6 等 UPR 传感器的结合。通过构建 BiP 截短体突变体,发现 circATF6 特异性结合 BiP 的 N 端 ATP 酶结构域,该结合可抑制 BiP 的 ATP 酶活性,阻碍其与 UPR 传感器的解离,从而抑制 UPR 通路的适应性激活,最终导致错误折叠蛋白聚集和蛋白稳态破坏。

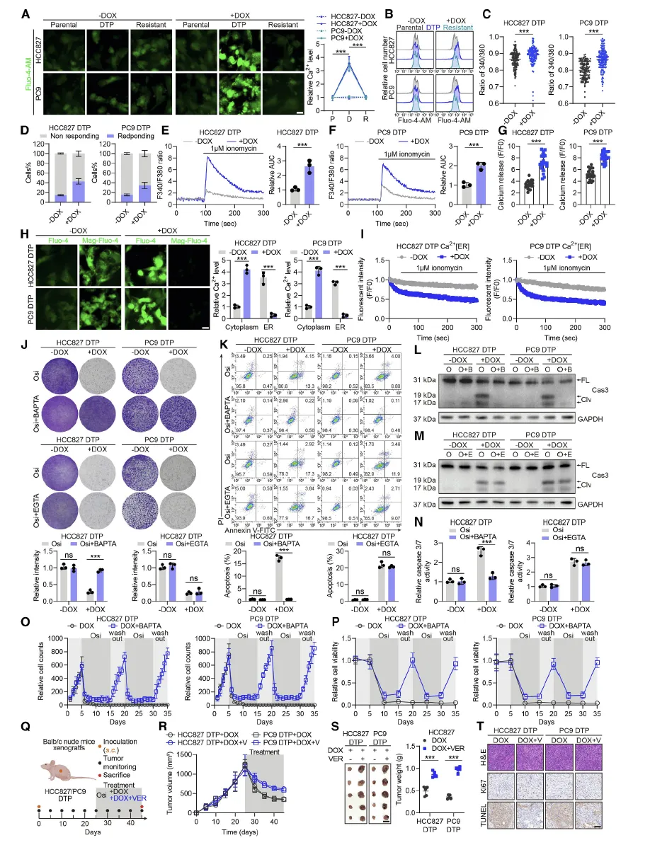
Figure 6:该图揭示 circATF6 诱导 DTP 细胞凋亡的最终效应环节,证实 circATF6 通过破坏内质网钙稳态引发细胞质钙超载,进而介导 DTP 细胞凋亡。钙离子探针检测显示,circATF6 过表达可显著升高 DTP 细胞的细胞质钙离子浓度,同时降低内质网钙离子水平,离子霉素刺激实验证实 circATF6 过表达可增强 DTP 细胞的钙离子释放通量,G-CEPIA1er 探针进一步在活细胞水平验证了内质网钙离子的大量释放。使用细胞膜通透性钙螯合剂 BAPTA-AM 可显著抑制 circATF6 诱导的 DTP 细胞凋亡,而细胞膜非通透性的 EGTA 则无此效应,证实细胞质钙超载是 circATF6 诱导凋亡的关键。体外实验显示 BAPTA-AM 可恢复 circATF6 过表达的 DTP 细胞的增殖能力,裸鼠移植瘤模型中,钙离子通道阻滞剂维拉帕米可逆转 circATF6 联合 Osi 对 DTP 肿瘤的抑制作用,恢复肿瘤增殖并降低凋亡率,明确了钙超载是 circATF6 介导 DTP 细胞凋亡的核心下游机制。

Figure 7:该图验证了脂质纳米粒(LNP)递送 circATF6 的体内外治疗效果,证实 LNP-circATF6 可高效递送并与 EGFR-TKI 协同抑制肺癌生长,且无明显系统毒性。通过体外转录制备 circATF6 并封装于 LNP 中,验证了其高稳定性和高效细胞转染效率,体外实验显示 LNP-circATF6 联合 Osi 可显著抑制肺癌细胞增殖,该效应可被 BAPTA-AM 逆转,与地高辛(升高细胞内钙)联合 Osi 的作用效果相似。裸鼠皮下移植瘤模型中,LNP-circATF6 联合 Osi 可显著降低肿瘤体积和重量,维拉帕米可逆转该协同效应;原位肺癌模型中,静脉注射的 LNP-circATF6 可在肺组织中特异性富集,联合 Osi 治疗可显著抑制肿瘤生长并延长小鼠生存期。免疫组化显示联合治疗组肿瘤中 Ki-67 阳性率降低、TUNEL 阳性率升高,错误折叠蛋白累积增加,且小鼠主要脏器无组织学异常,体重无明显变化,证实 LNP-circATF6 联合 EGFR-TKI 具有良好的抗肿瘤效果和生物安全性。
4.研究总结
本研究证实 circATF6 是调控 NSCLC DTP 细胞的关键分子,其在 DTP 细胞中因 ADAR1 介导的剪接调控而下调;circATF6 通过结合 BiP 的 ATP 酶结构域抑制 UPR 通路,破坏 DTP 细胞的蛋白稳态,引发内质网碎裂和细胞质钙超载,最终诱导 DTP 细胞凋亡,实现与 EGFR-TKI 的协同抗癌效果。脂质纳米粒递送的 circATF6 可高效靶向肿瘤组织,在体内外显著增强 EGFR-TKI 的抗肿瘤活性且无明显系统毒性。该研究揭示了 circATF6 调控肺癌 DTP 细胞耐药的新机制,为克服 NSCLC EGFR-TKI 耐药提供了以 circATF6 为靶点的新型 RNA 治疗策略,具有重要的转化应用价值。
局限性:仅在细胞系和细胞来源移植瘤模型验证效果,未在 PDX 模型中测试;未验证联合治疗的长期疗效;circRNA 疗法仍面临递送效率、免疫原性等临床转化挑战。展望:后续将在 PDX 模型中验证 circATF6 脂质纳米粒联合 EGFR-TKI 的长期疗效,优化递送系统提升靶向性,开展临床前研究推动其向临床试验转化。
文献来源:Hu Q, Wang Y, Qian Y, Wang Z, Wang H, Wang FQ, Li R, Feng Y, Zhang Y, Ding H, Zhou W, Zhang W, Mao Q, Xia W, Dong G, Jiang F. circATF6 triggers calcium overload to synergize with EGFR-TKI in non-small cell lung cancer via modulation of proteostasis. Cell Rep. 2025 Dec 23;44(12):116659. doi: 10.1016/j.celrep.2025.116659. Epub 2025 Dec 5. PMID: 41351835.
#circATF6#非小细胞肺癌#EGFRTKI#药物耐受持留细胞#蛋白稳态#钙超载#脂质纳米粒#ADAR1

国家杰青一对一答疑视频
医学省自然申请答疑,立项的关键条件是哪一些?从哪些方向可以杀出重围
临床型博士如何准备国青标书?没有预实验怎么办?专家一对一解答规划
中医药科研研究
