当前位置:首页>南京>南京师范大学李亚楠/黄丽萍团队国际顶刊《Advanced Science》最新发文

南京师范大学李亚楠/黄丽萍团队国际顶刊《Advanced Science》最新发文

  • 2026-04-04 16:42:23
南京师范大学李亚楠/黄丽萍团队国际顶刊《Advanced Science》最新发文

(请点击图片查看)

南京师范大学李亚楠/黄丽萍团队国际顶刊《Advanced Science》最新发文:告别“静态快照”!新型超表面细胞模型芯片实现肠道肠屏障功能实时可视化无损监测
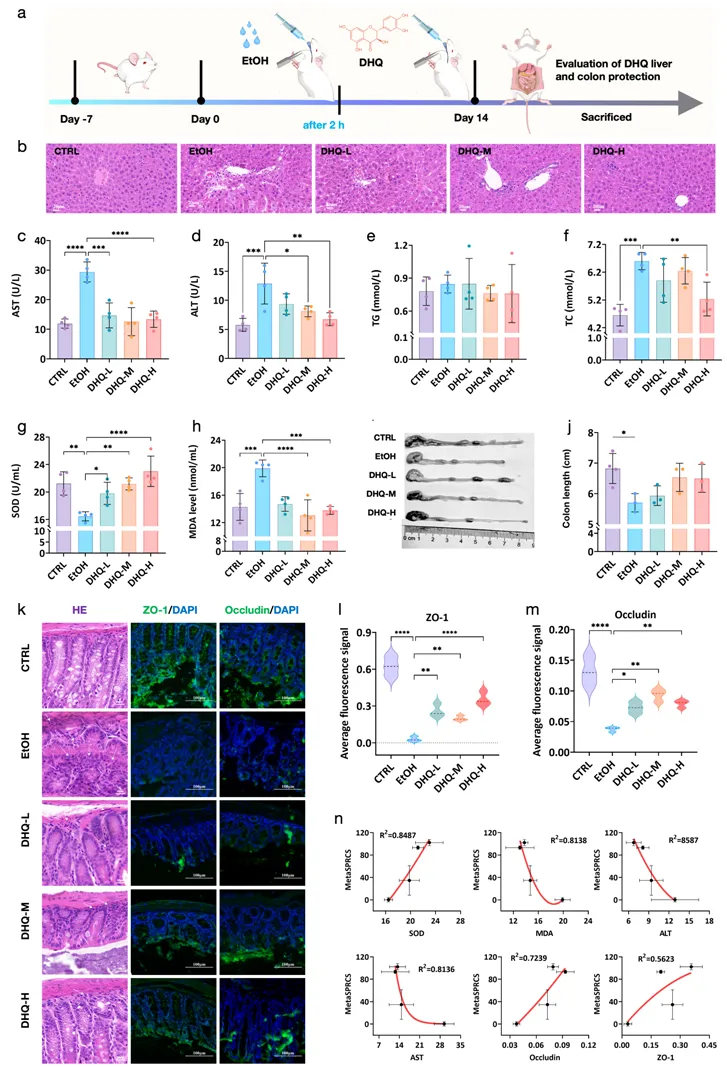
近日,南京师范大学李亚楠研究员黄丽萍研究员团队完成的创新性研究成果 “Innovative Metasurface Colorimetric Cell-on-a-Chip Sensor for Continuous, Label-Free, Non-Destructive Assessment of Intestinal Barrier Dynamics” 发表于国际顶级期刊《Advanced Science》(Q1,中科院 1 TopIF=15.6)。该研究构建了一种兼具高灵敏度、连续实时与无损特性的肠道屏障动态评估技术体系,为肠道疾病研究、功能食品原料和益生菌评价提供了全新解决方案。
肠道屏障作为人体抵御病原体入侵、保障营养吸收的关键生理屏障,其功能完整性与炎症性肠病、代谢综合征、酒精性损伤等多种疾病密切相关。在器官和细胞芯片模型中评估肠道屏障功能对于研究肠道疾病和推进新源食品原料的开发至关重要。然而,目前的技术缺乏对肠道屏障动力学进行连续、非破坏性监测的方法。在这项研究中,研究人员开发了一种基于超表面等离子共振比色传感技术(MetaSPRCS)的实时、无标记、高通量的芯片细胞系统,用于评估肠道屏障功能。将MetaSPRCS与透射显微成像系统相结合,可以实时可视化监测细胞粘附、增殖和肠屏障层的形成、破坏和修复。针对传统CCK-8等终点法无法识别的亚损伤或修复,MetaSPRCS平台可高灵敏、无损地即时检测整个肠屏障的动态变化过程。研究中通过体外与体内动物实验肠道屏障相关指标的关联分析,可初步建立体内外的剂量转换关系,该项技术的突破在于实现了对肠道屏障功能的动态电影式观测,而非静态快照式检测,为新源食品原料、益生菌及药物等功能性物质,提供了对肠道屏障功能进行长期、动态评估的高通量、高灵敏度解决方案。
核心成果介绍
1.技术突破:构建 “三无” 监测体系

研究团队研发的超表面比色芯片传感器(MetaSPRCS),首次实现肠屏障功能的连续、无标记、无损监测。该平台基于纳米杯阵列结构的超表面,通过纳米压印光刻与离子束蒸镀技术精准制备,集成经优化的Segment Anything ModelSAM)人工智能算法,可在72小时内实时追踪细胞粘附、增殖、屏障形成、损伤及修复的完整生命周期。全程无需荧光标记或破坏性取样,避免干扰细胞生理状态,彻底解决了传统技术 “一次性检测”  “细胞损伤” 的双重痛点。

2.性能跃升:灵敏度与时效性双突破

相较于传统CCK-8检测方法,该传感器对低浓度乙醇诱导的肠上皮细胞损伤检测灵敏度提升数倍,可精准捕捉到0.3%浓度乙醇引发的早期细胞形态和表面等细微亚损伤,而传统方法仅能检测5%以上浓度的损伤效应。本技术可实现30分钟内即可捕获屏障损伤信号,较CCK-8等传统方法缩短评价时间,为高通量筛选相关新源食品原料对肠屏障早期损伤干预与机制研究提供了关键技术支撑。

3.实用验证:多场景高效适配
本研究在酒精诱导肠屏障损伤模型中,该平台成功验证了二氢槲皮素(DHQ)的修复作用,通过体内外一致性关联分析,该平台可精准预测DHQ的体内外剂量转化关系,初步明确20μM为体外有效修复阈值,同时,该平台适配96孔高通量设计,可快速区分不同新源食品原料的不同浓度对肠道屏障早期的微信号差异。基于本技术,后续我们拓展了200余株益生菌的模拟动态肠道环境下对肠屏障的干预和影响,为益生菌的安全性的评估提供了新型评价手段。
该新型超表面比色芯片传感器不仅适用于肠屏障动态监测,还可拓展至血脑屏障、皮肤屏障等多种生物屏障研究,在肠道疾病基础研究、候选药物高通量筛选、功能食品评价、临床早期诊断等领域具有广阔应用前景。其无标记、高灵敏度、高通量的核心特性,有望打破传统技术局限,推动相关领域研究从 “静态终点检测” 动态全程监测” 转型,为精准营养与个性化医疗提供重要技术支撑。
图文赏析
Fig. 2 基于超表面等离子体共振(MetaSPR)芯片的实时细胞状态监测模型研发
Fig. 3 基于超表面等离子体共振比色传感器(MetaSPRCS)平台的肠细胞全生命周期无标记实时监测
Fig. 4 仿生芯片上细胞屏障形成、损伤及修复的评估
Fig. 5 二氢槲皮素(DHQ)修复作用的评估
Fig. 6 不同剂量二氢槲皮素(DHQ)修复酒精诱导的肝肠损伤的体内验证
华中科技大学生命科学与技术学院博士生陈友倩、李雯、杨义慧与南京师范大学食品与制药工程学院硕士生冯佳莹、束悦为该论文共同第一作者。南京师范大学李亚楠研究员与黄丽萍研究员为该论文共同通讯作者。该研究得到华中科技大学刘钢教授的大力支持和帮助。本研究得到了国家重点研发计划、国家自然科学基金、微生物改造技术全国重点实验室开放课题基金、中央高校基本科研业务费、江苏省农业科技自主创新基金项目和江苏省合成生物学基础研究中心等项目资金资助。此外,量准公司研发的WeSPR系列分子检测仪器为本研究提供了重要的技术支撑。
原文链接
https://doi.org/10.1002/advs.202523118

通讯作者简介
李亚楠,南京师范大学食品与制药工程学院研究员,担任中国粮油学会营养分会委员、Advanced Science等权威期刊审稿人。研究方向聚焦益生菌筛选和工程化、体内外机制评价等方向。近年来,主持国家自然科学基金青年基金、重点研发计划子课题、江苏省自然科学基金青年基金、江苏省高等学校自然科学研究面上项目和企业横向课题10余项,以第一作者和通讯作者在ACS NanoAdvanced ScienceISME JournalGut Microbes等国际权威期刊发表SCI论文40余篇。
黄丽萍,南京师范大学食品与制药工程学院特聘教授,研究员,“楚天英才”双创团队带头人,3551光谷优秀青年人才,纳米生物医学工程(NBE)国际期刊青年编委。主持承担了国家科技部重点研发计划项目应急项目子课题、国家重大科技项目广州实验室专项子课题、上海市科委战略前沿专项项目等多项项目,主要研究方向包括高通量生物传感筛选技术和科学仪器,食品生物传感快检技术和装备等,以第一作者或通讯作者共发表SCI论文40逾篇,其中包括Nat. Commun.Nano-Micro Lett.Adv. Funct. Mater.ACS NanoAdv. Sci.Nano Lett.BB,等;ESI高被引论文3篇。申请发明专利数十件,多数研究成果已实现产品转化。

食品放大镜 | 不同领域研究成果

(请点击标题查看)

胶体、乳液及递送系统多糖、纤维、低聚糖等

脂质蜂产品食用菌

食物蛋白、肽与氨基酸多酚类化合物淀粉

食品包装与货架期食品安全与质量控制

凝胶3D和4D打印

食品营养与人类健康食品检测与分析

食品相关合成人造肉食品风味

益生元、益生菌及合生元食物过敏

分子对接与分子动力学黄酮类化合物

食品感官科学与分析农产品贮藏与加工

肉与肉制品蛋与蛋制品水产品

奶及奶制品豆及豆制品果蔬及果蔬制品

大米及米制品

炎症性肠病糖尿病肝病神经疾病


食品放大镜 | 大杂烩

(请点击标题查看)

食品大事件食品基金项目食品奖项

人物访谈及报道CNS期刊论文

封面文章顶刊综述高被引论文

期刊征稿期刊资讯会议通知学科动态

博士招生硕士招生考研调剂夏令营

食品科普食品相关书籍竞赛

优秀博士硕士论文


食品放大镜 | 学者研究成果

(请点击学者姓名查看)

薛长湖院士金征宇院士谢明勇院士
陈卫院士朱蓓薇院士孙宝国院士
陈坚院士孙大文院士单杨院士刘仲华院士张和平教授周光宏教授江连洲教授陈峰教授聂少平教授
赵谋明教授赵国华教授李斌教授
王书军教授刘学波教授唐传核教授
张慜教授谢建华教授陈卫教授
谭明乾教授张宇昊教授王静教授
徐岩教授李春保教授孔保华教授
陈士国教授王兴国教授高彦祥教授
黄强教授方亚鹏教授汪勇教授
李媛教授刘志刚教授曾晓雄教授
汪少芸教授姜微波教授刘夫国教授
王强研究员王仲孚教授徐宝才教授
白卫滨教授高振鹏教授易俊洁教授
刘星教授甘人友副研究员范俊峰教授
翟齐啸教授李进伟教授陈启和教授
赵新淮教授杜明教授张名位研究员
侯俊财教授丁郁教授徐鑫教授
David Julian McClements教授王建龙教授
李杨教授陈雪峰、龚频团队许恒毅教授
陆颖健教授刘元法教授秦文教授
李锦铨教刘俊教授李晓东教授
倪莉教授章宝教授陈廷涛教授
张红印教授盛占武研究员姜瞻梅教授
张德权研究员齐向辉教郑家荣教授
陈翊平教授姜毓君教授毕金峰研究员
魏新林教授肖安风教授吴彩娥教授
宛晓春教授魏子淏教授龚金炎教授

周存山教授楚强研究员高鸿教授

秦磊教授邵平教授马龙教授

许正宏教授吴继红教授钟恬副教授

刘龙教授王凤忠研究员郭顺堂教授

周景文教授钟芳教授游丽君教授

吴贺君教授刘锴栋教授邓乾春研究员

白艳红教授夏小乐教授张英华教授

任晓锋教授汤晓智教授孙培龙教授

盛军、田洋团队张娟教授陈小强教授
刘建华教授林松毅教授陈海霞教授
徐志祥教授寇莉萍副教授隋晓楠教授
刘贵珊教授启航教授张春晖研究员
杨兴斌教授 古绍彬教授冯翠萍教授
李玥教授邱超副研究员刘素稳教授
李伟教授田怀香教授丁春邦教授
董秀萍教授吴伟教授张国文教授
张素芳教授潘磊庆教授陈春旭副教授
陈龙副研究员王允圃研究员王子朝副教授
邹小波教授郑金铠研究员孙庆杰教授
梁盈教授熊涛教授钟恬副教授
毛立科副教授房耀维教授孙琦副教授
马森教授闫文杰教授许敏伟教授
魏长庆教授李大鹏教授

在线投稿平台链接https://www.wjx.top/jq/85151447.aspx

声明

标注‘原创’仅代表原创编译,本平台不主张对原文的版权。本平台转载仅仅是出于学术交流和传播信息的需要,并不意味着代表本平台观点或证实其内容的真实性;转载文章版权归原作者所有,作者如果不希望被转载或有侵权行为,请联系本平台删除。由于编译水平有限,推文或简历有不妥之处,深感抱歉,请联系本平台修改或者删除。

最新文章

随机文章

基本 文件 流程 错误 SQL 调试
  1. 请求信息 : 2026-04-04 17:43:27 HTTP/2.0 GET : https://b.460.net.cn/a/469590.html
  2. 运行时间 : 0.080334s [ 吞吐率:12.45req/s ] 内存消耗:4,535.20kb 文件加载:140
  3. 缓存信息 : 0 reads,0 writes
  4. 会话信息 : SESSION_ID=bb909d3b882c549ed2ca97b9ef7ee755
  1. /yingpanguazai/ssd/ssd1/www/b.460.net.cn/public/index.php ( 0.79 KB )
  2. /yingpanguazai/ssd/ssd1/www/b.460.net.cn/vendor/autoload.php ( 0.17 KB )
  3. /yingpanguazai/ssd/ssd1/www/b.460.net.cn/vendor/composer/autoload_real.php ( 2.49 KB )
  4. /yingpanguazai/ssd/ssd1/www/b.460.net.cn/vendor/composer/platform_check.php ( 0.90 KB )
  5. /yingpanguazai/ssd/ssd1/www/b.460.net.cn/vendor/composer/ClassLoader.php ( 14.03 KB )
  6. /yingpanguazai/ssd/ssd1/www/b.460.net.cn/vendor/composer/autoload_static.php ( 4.90 KB )
  7. /yingpanguazai/ssd/ssd1/www/b.460.net.cn/vendor/topthink/think-helper/src/helper.php ( 8.34 KB )
  8. /yingpanguazai/ssd/ssd1/www/b.460.net.cn/vendor/topthink/think-validate/src/helper.php ( 2.19 KB )
  9. /yingpanguazai/ssd/ssd1/www/b.460.net.cn/vendor/topthink/think-orm/src/helper.php ( 1.47 KB )
  10. /yingpanguazai/ssd/ssd1/www/b.460.net.cn/vendor/topthink/think-orm/stubs/load_stubs.php ( 0.16 KB )
  11. /yingpanguazai/ssd/ssd1/www/b.460.net.cn/vendor/topthink/framework/src/think/Exception.php ( 1.69 KB )
  12. /yingpanguazai/ssd/ssd1/www/b.460.net.cn/vendor/topthink/think-container/src/Facade.php ( 2.71 KB )
  13. /yingpanguazai/ssd/ssd1/www/b.460.net.cn/vendor/symfony/deprecation-contracts/function.php ( 0.99 KB )
  14. /yingpanguazai/ssd/ssd1/www/b.460.net.cn/vendor/symfony/polyfill-mbstring/bootstrap.php ( 8.26 KB )
  15. /yingpanguazai/ssd/ssd1/www/b.460.net.cn/vendor/symfony/polyfill-mbstring/bootstrap80.php ( 9.78 KB )
  16. /yingpanguazai/ssd/ssd1/www/b.460.net.cn/vendor/symfony/var-dumper/Resources/functions/dump.php ( 1.49 KB )
  17. /yingpanguazai/ssd/ssd1/www/b.460.net.cn/vendor/topthink/think-dumper/src/helper.php ( 0.18 KB )
  18. /yingpanguazai/ssd/ssd1/www/b.460.net.cn/vendor/symfony/var-dumper/VarDumper.php ( 4.30 KB )
  19. /yingpanguazai/ssd/ssd1/www/b.460.net.cn/vendor/topthink/framework/src/think/App.php ( 15.30 KB )
  20. /yingpanguazai/ssd/ssd1/www/b.460.net.cn/vendor/topthink/think-container/src/Container.php ( 15.76 KB )
  21. /yingpanguazai/ssd/ssd1/www/b.460.net.cn/vendor/psr/container/src/ContainerInterface.php ( 1.02 KB )
  22. /yingpanguazai/ssd/ssd1/www/b.460.net.cn/app/provider.php ( 0.19 KB )
  23. /yingpanguazai/ssd/ssd1/www/b.460.net.cn/vendor/topthink/framework/src/think/Http.php ( 6.04 KB )
  24. /yingpanguazai/ssd/ssd1/www/b.460.net.cn/vendor/topthink/think-helper/src/helper/Str.php ( 7.29 KB )
  25. /yingpanguazai/ssd/ssd1/www/b.460.net.cn/vendor/topthink/framework/src/think/Env.php ( 4.68 KB )
  26. /yingpanguazai/ssd/ssd1/www/b.460.net.cn/app/common.php ( 0.03 KB )
  27. /yingpanguazai/ssd/ssd1/www/b.460.net.cn/vendor/topthink/framework/src/helper.php ( 18.78 KB )
  28. /yingpanguazai/ssd/ssd1/www/b.460.net.cn/vendor/topthink/framework/src/think/Config.php ( 5.54 KB )
  29. /yingpanguazai/ssd/ssd1/www/b.460.net.cn/config/app.php ( 0.95 KB )
  30. /yingpanguazai/ssd/ssd1/www/b.460.net.cn/config/cache.php ( 0.78 KB )
  31. /yingpanguazai/ssd/ssd1/www/b.460.net.cn/config/console.php ( 0.23 KB )
  32. /yingpanguazai/ssd/ssd1/www/b.460.net.cn/config/cookie.php ( 0.56 KB )
  33. /yingpanguazai/ssd/ssd1/www/b.460.net.cn/config/database.php ( 2.47 KB )
  34. /yingpanguazai/ssd/ssd1/www/b.460.net.cn/vendor/topthink/framework/src/think/facade/Env.php ( 1.67 KB )
  35. /yingpanguazai/ssd/ssd1/www/b.460.net.cn/config/filesystem.php ( 0.61 KB )
  36. /yingpanguazai/ssd/ssd1/www/b.460.net.cn/config/lang.php ( 0.91 KB )
  37. /yingpanguazai/ssd/ssd1/www/b.460.net.cn/config/log.php ( 1.35 KB )
  38. /yingpanguazai/ssd/ssd1/www/b.460.net.cn/config/middleware.php ( 0.19 KB )
  39. /yingpanguazai/ssd/ssd1/www/b.460.net.cn/config/route.php ( 1.89 KB )
  40. /yingpanguazai/ssd/ssd1/www/b.460.net.cn/config/session.php ( 0.57 KB )
  41. /yingpanguazai/ssd/ssd1/www/b.460.net.cn/config/trace.php ( 0.34 KB )
  42. /yingpanguazai/ssd/ssd1/www/b.460.net.cn/config/view.php ( 0.82 KB )
  43. /yingpanguazai/ssd/ssd1/www/b.460.net.cn/app/event.php ( 0.25 KB )
  44. /yingpanguazai/ssd/ssd1/www/b.460.net.cn/vendor/topthink/framework/src/think/Event.php ( 7.67 KB )
  45. /yingpanguazai/ssd/ssd1/www/b.460.net.cn/app/service.php ( 0.13 KB )
  46. /yingpanguazai/ssd/ssd1/www/b.460.net.cn/app/AppService.php ( 0.26 KB )
  47. /yingpanguazai/ssd/ssd1/www/b.460.net.cn/vendor/topthink/framework/src/think/Service.php ( 1.64 KB )
  48. /yingpanguazai/ssd/ssd1/www/b.460.net.cn/vendor/topthink/framework/src/think/Lang.php ( 7.35 KB )
  49. /yingpanguazai/ssd/ssd1/www/b.460.net.cn/vendor/topthink/framework/src/lang/zh-cn.php ( 13.70 KB )
  50. /yingpanguazai/ssd/ssd1/www/b.460.net.cn/vendor/topthink/framework/src/think/initializer/Error.php ( 3.31 KB )
  51. /yingpanguazai/ssd/ssd1/www/b.460.net.cn/vendor/topthink/framework/src/think/initializer/RegisterService.php ( 1.33 KB )
  52. /yingpanguazai/ssd/ssd1/www/b.460.net.cn/vendor/services.php ( 0.14 KB )
  53. /yingpanguazai/ssd/ssd1/www/b.460.net.cn/vendor/topthink/framework/src/think/service/PaginatorService.php ( 1.52 KB )
  54. /yingpanguazai/ssd/ssd1/www/b.460.net.cn/vendor/topthink/framework/src/think/service/ValidateService.php ( 0.99 KB )
  55. /yingpanguazai/ssd/ssd1/www/b.460.net.cn/vendor/topthink/framework/src/think/service/ModelService.php ( 2.04 KB )
  56. /yingpanguazai/ssd/ssd1/www/b.460.net.cn/vendor/topthink/think-trace/src/Service.php ( 0.77 KB )
  57. /yingpanguazai/ssd/ssd1/www/b.460.net.cn/vendor/topthink/framework/src/think/Middleware.php ( 6.72 KB )
  58. /yingpanguazai/ssd/ssd1/www/b.460.net.cn/vendor/topthink/framework/src/think/initializer/BootService.php ( 0.77 KB )
  59. /yingpanguazai/ssd/ssd1/www/b.460.net.cn/vendor/topthink/think-orm/src/Paginator.php ( 11.86 KB )
  60. /yingpanguazai/ssd/ssd1/www/b.460.net.cn/vendor/topthink/think-validate/src/Validate.php ( 63.20 KB )
  61. /yingpanguazai/ssd/ssd1/www/b.460.net.cn/vendor/topthink/think-orm/src/Model.php ( 23.55 KB )
  62. /yingpanguazai/ssd/ssd1/www/b.460.net.cn/vendor/topthink/think-orm/src/model/concern/Attribute.php ( 21.05 KB )
  63. /yingpanguazai/ssd/ssd1/www/b.460.net.cn/vendor/topthink/think-orm/src/model/concern/AutoWriteData.php ( 4.21 KB )
  64. /yingpanguazai/ssd/ssd1/www/b.460.net.cn/vendor/topthink/think-orm/src/model/concern/Conversion.php ( 6.44 KB )
  65. /yingpanguazai/ssd/ssd1/www/b.460.net.cn/vendor/topthink/think-orm/src/model/concern/DbConnect.php ( 5.16 KB )
  66. /yingpanguazai/ssd/ssd1/www/b.460.net.cn/vendor/topthink/think-orm/src/model/concern/ModelEvent.php ( 2.33 KB )
  67. /yingpanguazai/ssd/ssd1/www/b.460.net.cn/vendor/topthink/think-orm/src/model/concern/RelationShip.php ( 28.29 KB )
  68. /yingpanguazai/ssd/ssd1/www/b.460.net.cn/vendor/topthink/think-helper/src/contract/Arrayable.php ( 0.09 KB )
  69. /yingpanguazai/ssd/ssd1/www/b.460.net.cn/vendor/topthink/think-helper/src/contract/Jsonable.php ( 0.13 KB )
  70. /yingpanguazai/ssd/ssd1/www/b.460.net.cn/vendor/topthink/think-orm/src/model/contract/Modelable.php ( 0.09 KB )
  71. /yingpanguazai/ssd/ssd1/www/b.460.net.cn/vendor/topthink/framework/src/think/Db.php ( 2.88 KB )
  72. /yingpanguazai/ssd/ssd1/www/b.460.net.cn/vendor/topthink/think-orm/src/DbManager.php ( 8.52 KB )
  73. /yingpanguazai/ssd/ssd1/www/b.460.net.cn/vendor/topthink/framework/src/think/Log.php ( 6.28 KB )
  74. /yingpanguazai/ssd/ssd1/www/b.460.net.cn/vendor/topthink/framework/src/think/Manager.php ( 3.92 KB )
  75. /yingpanguazai/ssd/ssd1/www/b.460.net.cn/vendor/psr/log/src/LoggerTrait.php ( 2.69 KB )
  76. /yingpanguazai/ssd/ssd1/www/b.460.net.cn/vendor/psr/log/src/LoggerInterface.php ( 2.71 KB )
  77. /yingpanguazai/ssd/ssd1/www/b.460.net.cn/vendor/topthink/framework/src/think/Cache.php ( 4.92 KB )
  78. /yingpanguazai/ssd/ssd1/www/b.460.net.cn/vendor/psr/simple-cache/src/CacheInterface.php ( 4.71 KB )
  79. /yingpanguazai/ssd/ssd1/www/b.460.net.cn/vendor/topthink/think-helper/src/helper/Arr.php ( 16.63 KB )
  80. /yingpanguazai/ssd/ssd1/www/b.460.net.cn/vendor/topthink/framework/src/think/cache/driver/File.php ( 7.84 KB )
  81. /yingpanguazai/ssd/ssd1/www/b.460.net.cn/vendor/topthink/framework/src/think/cache/Driver.php ( 9.03 KB )
  82. /yingpanguazai/ssd/ssd1/www/b.460.net.cn/vendor/topthink/framework/src/think/contract/CacheHandlerInterface.php ( 1.99 KB )
  83. /yingpanguazai/ssd/ssd1/www/b.460.net.cn/app/Request.php ( 0.09 KB )
  84. /yingpanguazai/ssd/ssd1/www/b.460.net.cn/vendor/topthink/framework/src/think/Request.php ( 55.78 KB )
  85. /yingpanguazai/ssd/ssd1/www/b.460.net.cn/app/middleware.php ( 0.25 KB )
  86. /yingpanguazai/ssd/ssd1/www/b.460.net.cn/vendor/topthink/framework/src/think/Pipeline.php ( 2.61 KB )
  87. /yingpanguazai/ssd/ssd1/www/b.460.net.cn/vendor/topthink/think-trace/src/TraceDebug.php ( 3.40 KB )
  88. /yingpanguazai/ssd/ssd1/www/b.460.net.cn/vendor/topthink/framework/src/think/middleware/SessionInit.php ( 1.94 KB )
  89. /yingpanguazai/ssd/ssd1/www/b.460.net.cn/vendor/topthink/framework/src/think/Session.php ( 1.80 KB )
  90. /yingpanguazai/ssd/ssd1/www/b.460.net.cn/vendor/topthink/framework/src/think/session/driver/File.php ( 6.27 KB )
  91. /yingpanguazai/ssd/ssd1/www/b.460.net.cn/vendor/topthink/framework/src/think/contract/SessionHandlerInterface.php ( 0.87 KB )
  92. /yingpanguazai/ssd/ssd1/www/b.460.net.cn/vendor/topthink/framework/src/think/session/Store.php ( 7.12 KB )
  93. /yingpanguazai/ssd/ssd1/www/b.460.net.cn/vendor/topthink/framework/src/think/Route.php ( 23.73 KB )
  94. /yingpanguazai/ssd/ssd1/www/b.460.net.cn/vendor/topthink/framework/src/think/route/RuleName.php ( 5.75 KB )
  95. /yingpanguazai/ssd/ssd1/www/b.460.net.cn/vendor/topthink/framework/src/think/route/Domain.php ( 2.53 KB )
  96. /yingpanguazai/ssd/ssd1/www/b.460.net.cn/vendor/topthink/framework/src/think/route/RuleGroup.php ( 22.43 KB )
  97. /yingpanguazai/ssd/ssd1/www/b.460.net.cn/vendor/topthink/framework/src/think/route/Rule.php ( 26.95 KB )
  98. /yingpanguazai/ssd/ssd1/www/b.460.net.cn/vendor/topthink/framework/src/think/route/RuleItem.php ( 9.78 KB )
  99. /yingpanguazai/ssd/ssd1/www/b.460.net.cn/route/app.php ( 1.72 KB )
  100. /yingpanguazai/ssd/ssd1/www/b.460.net.cn/vendor/topthink/framework/src/think/facade/Route.php ( 4.70 KB )
  101. /yingpanguazai/ssd/ssd1/www/b.460.net.cn/vendor/topthink/framework/src/think/route/dispatch/Controller.php ( 4.74 KB )
  102. /yingpanguazai/ssd/ssd1/www/b.460.net.cn/vendor/topthink/framework/src/think/route/Dispatch.php ( 10.44 KB )
  103. /yingpanguazai/ssd/ssd1/www/b.460.net.cn/app/controller/Index.php ( 4.81 KB )
  104. /yingpanguazai/ssd/ssd1/www/b.460.net.cn/app/BaseController.php ( 2.05 KB )
  105. /yingpanguazai/ssd/ssd1/www/b.460.net.cn/vendor/topthink/think-orm/src/facade/Db.php ( 0.93 KB )
  106. /yingpanguazai/ssd/ssd1/www/b.460.net.cn/vendor/topthink/think-orm/src/db/connector/Mysql.php ( 5.44 KB )
  107. /yingpanguazai/ssd/ssd1/www/b.460.net.cn/vendor/topthink/think-orm/src/db/PDOConnection.php ( 52.47 KB )
  108. /yingpanguazai/ssd/ssd1/www/b.460.net.cn/vendor/topthink/think-orm/src/db/Connection.php ( 8.39 KB )
  109. /yingpanguazai/ssd/ssd1/www/b.460.net.cn/vendor/topthink/think-orm/src/db/ConnectionInterface.php ( 4.57 KB )
  110. /yingpanguazai/ssd/ssd1/www/b.460.net.cn/vendor/topthink/think-orm/src/db/builder/Mysql.php ( 16.58 KB )
  111. /yingpanguazai/ssd/ssd1/www/b.460.net.cn/vendor/topthink/think-orm/src/db/Builder.php ( 24.06 KB )
  112. /yingpanguazai/ssd/ssd1/www/b.460.net.cn/vendor/topthink/think-orm/src/db/BaseBuilder.php ( 27.50 KB )
  113. /yingpanguazai/ssd/ssd1/www/b.460.net.cn/vendor/topthink/think-orm/src/db/Query.php ( 15.71 KB )
  114. /yingpanguazai/ssd/ssd1/www/b.460.net.cn/vendor/topthink/think-orm/src/db/BaseQuery.php ( 45.13 KB )
  115. /yingpanguazai/ssd/ssd1/www/b.460.net.cn/vendor/topthink/think-orm/src/db/concern/TimeFieldQuery.php ( 7.43 KB )
  116. /yingpanguazai/ssd/ssd1/www/b.460.net.cn/vendor/topthink/think-orm/src/db/concern/AggregateQuery.php ( 3.26 KB )
  117. /yingpanguazai/ssd/ssd1/www/b.460.net.cn/vendor/topthink/think-orm/src/db/concern/ModelRelationQuery.php ( 20.07 KB )
  118. /yingpanguazai/ssd/ssd1/www/b.460.net.cn/vendor/topthink/think-orm/src/db/concern/ParamsBind.php ( 3.66 KB )
  119. /yingpanguazai/ssd/ssd1/www/b.460.net.cn/vendor/topthink/think-orm/src/db/concern/ResultOperation.php ( 7.01 KB )
  120. /yingpanguazai/ssd/ssd1/www/b.460.net.cn/vendor/topthink/think-orm/src/db/concern/WhereQuery.php ( 19.37 KB )
  121. /yingpanguazai/ssd/ssd1/www/b.460.net.cn/vendor/topthink/think-orm/src/db/concern/JoinAndViewQuery.php ( 7.11 KB )
  122. /yingpanguazai/ssd/ssd1/www/b.460.net.cn/vendor/topthink/think-orm/src/db/concern/TableFieldInfo.php ( 2.63 KB )
  123. /yingpanguazai/ssd/ssd1/www/b.460.net.cn/vendor/topthink/think-orm/src/db/concern/Transaction.php ( 2.77 KB )
  124. /yingpanguazai/ssd/ssd1/www/b.460.net.cn/vendor/topthink/framework/src/think/log/driver/File.php ( 5.96 KB )
  125. /yingpanguazai/ssd/ssd1/www/b.460.net.cn/vendor/topthink/framework/src/think/contract/LogHandlerInterface.php ( 0.86 KB )
  126. /yingpanguazai/ssd/ssd1/www/b.460.net.cn/vendor/topthink/framework/src/think/log/Channel.php ( 3.89 KB )
  127. /yingpanguazai/ssd/ssd1/www/b.460.net.cn/vendor/topthink/framework/src/think/event/LogRecord.php ( 1.02 KB )
  128. /yingpanguazai/ssd/ssd1/www/b.460.net.cn/vendor/topthink/think-helper/src/Collection.php ( 16.47 KB )
  129. /yingpanguazai/ssd/ssd1/www/b.460.net.cn/vendor/topthink/framework/src/think/facade/View.php ( 1.70 KB )
  130. /yingpanguazai/ssd/ssd1/www/b.460.net.cn/vendor/topthink/framework/src/think/View.php ( 4.39 KB )
  131. /yingpanguazai/ssd/ssd1/www/b.460.net.cn/vendor/topthink/framework/src/think/Response.php ( 8.81 KB )
  132. /yingpanguazai/ssd/ssd1/www/b.460.net.cn/vendor/topthink/framework/src/think/response/View.php ( 3.29 KB )
  133. /yingpanguazai/ssd/ssd1/www/b.460.net.cn/vendor/topthink/framework/src/think/Cookie.php ( 6.06 KB )
  134. /yingpanguazai/ssd/ssd1/www/b.460.net.cn/vendor/topthink/think-view/src/Think.php ( 8.38 KB )
  135. /yingpanguazai/ssd/ssd1/www/b.460.net.cn/vendor/topthink/framework/src/think/contract/TemplateHandlerInterface.php ( 1.60 KB )
  136. /yingpanguazai/ssd/ssd1/www/b.460.net.cn/vendor/topthink/think-template/src/Template.php ( 46.61 KB )
  137. /yingpanguazai/ssd/ssd1/www/b.460.net.cn/vendor/topthink/think-template/src/template/driver/File.php ( 2.41 KB )
  138. /yingpanguazai/ssd/ssd1/www/b.460.net.cn/vendor/topthink/think-template/src/template/contract/DriverInterface.php ( 0.86 KB )
  139. /yingpanguazai/ssd/ssd1/www/b.460.net.cn/runtime/temp/b35eef690f41e64ad9e1c098cfc7d3bc.php ( 11.98 KB )
  140. /yingpanguazai/ssd/ssd1/www/b.460.net.cn/vendor/topthink/think-trace/src/Html.php ( 4.42 KB )
  1. CONNECT:[ UseTime:0.000398s ] mysql:host=127.0.0.1;port=3306;dbname=b460;charset=utf8mb4
  2. SHOW FULL COLUMNS FROM `fenlei` [ RunTime:0.000779s ]
  3. SELECT * FROM `fenlei` WHERE `fid` = 0 [ RunTime:0.000273s ]
  4. SELECT * FROM `fenlei` WHERE `fid` = 63 [ RunTime:0.000267s ]
  5. SHOW FULL COLUMNS FROM `set` [ RunTime:0.000652s ]
  6. SELECT * FROM `set` [ RunTime:0.000234s ]
  7. SHOW FULL COLUMNS FROM `article` [ RunTime:0.000674s ]
  8. SELECT * FROM `article` WHERE `id` = 469590 LIMIT 1 [ RunTime:0.001817s ]
  9. UPDATE `article` SET `lasttime` = 1775295807 WHERE `id` = 469590 [ RunTime:0.000763s ]
  10. SELECT * FROM `fenlei` WHERE `id` = 65 LIMIT 1 [ RunTime:0.000266s ]
  11. SELECT * FROM `article` WHERE `id` < 469590 ORDER BY `id` DESC LIMIT 1 [ RunTime:0.000915s ]
  12. SELECT * FROM `article` WHERE `id` > 469590 ORDER BY `id` ASC LIMIT 1 [ RunTime:0.000544s ]
  13. SELECT * FROM `article` WHERE `id` < 469590 ORDER BY `id` DESC LIMIT 10 [ RunTime:0.001715s ]
  14. SELECT * FROM `article` WHERE `id` < 469590 ORDER BY `id` DESC LIMIT 10,10 [ RunTime:0.002351s ]
  15. SELECT * FROM `article` WHERE `id` < 469590 ORDER BY `id` DESC LIMIT 20,10 [ RunTime:0.001085s ]
0.081809s