
近日,南京鼓楼医院心脏外科周庆、李树春及金珉教授团队,成功应用Ken-Valve经导管主动脉瓣置换系统(TAVR),为两名复杂主动脉瓣膜病症“超低EF值+Type I型结构、超大瓣环+人工血管置换术后”的患者实施微创换瓣手术,手术均开展顺利,术后即刻超声影像学评估均无瓣周漏,心功能明显改善。患者均当天苏醒拔管,各项生命指针平稳,隔日即可康复训练,相比较传统开胸换瓣手术,解决了二次开胸的复杂问题,同时大大缩短了患者康复时间、住院时间。这两个案例不仅展示了南京鼓楼医院在瓣膜病微创治疗领域拔尖水准,也为同类复杂患者的治疗提供了参考范例。

Case1:“超低EF值+Type I型结构”
患者信息
患者为男性,78岁,入院时心脏超声提示EF值仅31%,左心舒张功能减退,心脏扩张明显,主动脉瓣钙化、流速增快伴重度反流,升主动脉扩张,外科开胸手术风险高,传统治疗方案已难以为其带来生存获益。经过多学科会诊,心脏外科团队为其制定了微创手术方案,在肋间切开一个小口,通过心尖路径植入一个主动脉瓣膜,为患者争取了新生机。
术前评估
患者为主动脉 Type I 型二叶瓣,左无瓣叶交界处钙化融合,瓣叶稍增厚;存在三个瓣窦,分布较均匀;主动脉瓣环周长折算直径27.0mm;双侧冠脉开口高度可LCA:12.9mm;RCA:15.1mm;双侧冠脉开口高度可,右侧冠脉开口处扩张,双侧冠脉点状钙化;最佳投射角度:右窦中心位:CRA:1°/RAO:2°(其他参考角度如下图);左室主动脉夹角为159°; 模拟切口位置:第6-7肋间;模拟输送器角度为149°。











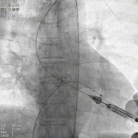
术中回顾
考虑瓣环瓣上结构钙化及锚定能力,选择JS/TAVI-27瓣膜进行植入。手术过程中,团队严格按照标准操作流程实施。自介入器械导入至瓣膜释放完成,器械用时约10分钟。整个过程中,手术团队通过右冠窦居中造影、定位件入窦确认、释放后联合超声与造影评估,确保了瓣膜定位精准、释放平稳,后进行25球囊后扩,瓣膜展开良好。术中超声评估显示无瓣周漏,血流动力学表现良好,手术过程顺利,未出现循环不稳及心律失常等意外情况。

术前超声

造影确认右窦居中位置

释放定位件入窦

造影确认定位件入窦

调整轴向再次造影确认定位件入窦

释放瓣膜

锁丝脱钩

撤出输送器

25球囊后扩

术后造影 反流消失
术后效果
患者主动脉瓣重度反流纠正,术后无反流、无瓣周漏。术后心脏彩超显示人工生物瓣启闭良好,平均跨瓣压差3mmHg,流速正常。患者恢复情况良好,心功能较术前有了明显改善。

术后超声
Case2:“超大瓣环+人工升主置换术后”

术前评估
患者为主动脉瓣三叶瓣,瓣叶增厚,瓣叶未见明显钙化,存在三个瓣窦,窦部增大,分布较均匀;主动脉瓣环周长折算直径29.4mm;双侧冠脉开口高度可LCA:10.9mm,RCA:17.2mm;双侧冠脉未见明显钙化;最佳投射角度:右窦中心体位:CRA:16°/LAO:13°(其它参考角度如下图); 模拟切口位置:第6-7肋间;模拟输送器角度为143°;室间隔基底部稍增厚;升主动脉人工血管置换术后。







3mensio软件模拟瓣膜情况
术中回顾
基于瓣环及瓣上结构的锚定条件,手术团队选择 JS/TAVI-31 瓣膜进行植入。术中团队配合默契。鉴于主动脉瓣上空间有限,手术在瓣环位置释放定位件后送入瓣上并尝试入窦。得益于输送器独特的调弯设计,仅经两次尝试即顺利进入窦内并完成瓣膜释放,器械操作时间仅 8 分钟。手术过程中,团队通过右冠窦居中造影、定位件入窦确认,以及释放后超声联合造影评估,多重手段保障瓣膜定位精准、释放过程平稳,整体手术流程按术前预演顺利完成。术中超声评估未见瓣周漏,血流动力学表现良好,手术顺利结束。

造影确认右窦居中位置

释放定位件尝试入窦

输送系统进行调弯

造影第一次未完全入窦

调整再次入窦

造影确认定位件入窦底

释放瓣膜

锁丝脱钩

撤出输送器

术后造影 反流消失
总结
南京鼓楼医院此例手术的顺利完成,标志着Ken-Valve系统在应对复杂主动脉瓣反流病例中的应用价值再次得到验证。未来,Ken-Valve将继续携手临床专家,深耕结构性心脏病领域,不断探索微创治疗在高危患者中的更多可能。
手术的成功,充分展现了Ken-Valve在应对心功能低下患者中的独特优势。Ken-Valve独特的一体式夹持定位件设计,能够在缺乏钙化结构支撑的情况下精准锚定于瓣叶,为复杂主动脉解剖结构提供了良好的稳定性。此外,经心尖入路为心功能较差患者提供更大安全和效益,能降低外周血管并发症的风险,为此类患者提供更大安全性。
专家简介

周庆
南京大学医学院附属鼓楼医院(点击查看专家详细简历)


扫码查看宁波健世学术专栏
了解更多精彩内容
· END ·

版权及免责声明:严道医声网旨在搭建学术传播及媒体发声平台,文内信息版权属于持有人,我们只提供传递信息之用。如有侵权,请联系我们删除。
点击 “阅读原文” 进入 “宁波健世学术专栏”