慢性肾脏病(CKD)已成为全球重大公共卫生问题,全球患病人数超 8.4 亿,而肾纤维化是所有进展性 CKD 的共同病理核心,目前仍缺乏能有效阻断甚至逆转纤维化进程的治疗手段。
本文由南京中医药大学胡立宏/刘健/潘安团队发表于Advanced Science。该研究完整打通智能预测—药效验证—靶点发现—机制解析—基因确证的全链条研究体系。
团队率先构建多模态 AI 驱动的中医症状预测模型 TCMSPred,精准筛选出经典药材木香及其核心活性成分去氢木香内酯(DCL);通过系统药理研究证实,DCL 可直接靶向结合 IQGAP1,阻断 IQGAP1CCT3 相互作用并抑制下游 Wnt 信号通路,最终从分子、细胞、动物及基因层面全面证实 DCL 是治疗肾纤维化的高效候选小分子,为慢性肾病治疗提供全新药物与干预靶点。

Fig1、多模态 AI 模型 TCMSPred 结构示意图
标题:Multimodal AI-Driven Identification of Dehydrocostus Lactone as a Potent Renal Fibrosis Attenuator Targeting IQGAP1.
译名:多模态 AI 驱动筛选:脱氢木香内酯靶向 IQGAP1 成为强效肾纤维化缓解因子
影响因子:IF=14.1
发表时间:2026.2.3
友情提示:文末可获取文献的DOI号哦~或者关注我们,主页回复“999”直接后台获取原文!文献编号:ME2026.3.26
01
研究核心脉络
02
核心研究发现全解析
一、多模态 AI 模型 TCMSPred 精准锁定抗肾纤维化潜力中药木香
AI 模型构建与性能验证:研究构建的 TCMSPred 模型整合了 Word2Vec 语义嵌入、BiLSTM 序列建模与跨模态注意力机制,可深度挖掘中药症状的潜在关联。模型在验证集中真阳性率超 97.16%,10 折交叉验证 AUC 均值达 0.95,展现出极强的预测准确性与泛化能力(Fig.1、Fig.2AB)。
抗肾纤维化中药筛选:通过 TCMSPred 对 30 个肾纤维化相关症状进行预测,木香以 13.68 的综合评分位列 Top10 药材前列,模型预测其对 15 个肾纤维化核心症状为首选治疗药物,对 12 个症状为次选治疗药物,明确了其抗肾纤维化的潜力(Fig.2CD)。

Fig2、基于 AI 模型 TCMSPred 挖掘木香潜在的抗肾纤维化活性
二、DCL 是木香抗肾纤维化的核心活性成分,体内外显著抑制纤维化进展
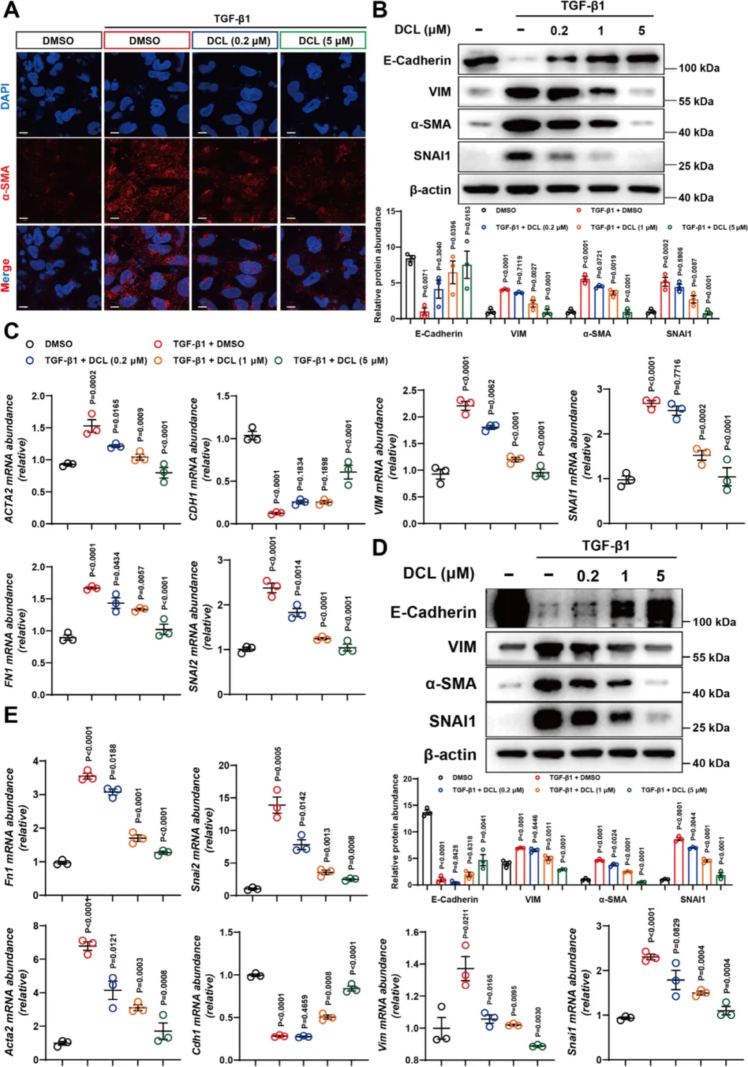
体外活性验证:在 TGFβ1 诱导的人肾小管上皮 HK2 细胞、小鼠肾小管上皮 TCMK1 细胞中,DCL 可剂量依赖性逆转纤维化、EMT、肾损伤与炎症相关标志物的表达异常,抑制 αSMA 上调,恢复上皮标志物 ECadherin 表达,而木香另一主要成分木香烃内酯(CT)无显著抗纤维化活性,证实 DCL 是木香抗肾纤维化的核心活性成分(Fig.3)。

Fig3、去氢木香内酯(DCL)缓解 TGFβ1 诱导的肾小管上皮细胞纤维化
体内药效验证:在 UUO 诱导的肾纤维化小鼠模型中,DCL(1mg/kg 口服给药)可显著改善肾组织病理损伤、肾小管扩张与胶原沉积,逆转 EMT 进程与促纤维化因子表达,给药 4 天即可显现抗纤维化效果,疗效优于阳性对照药吡非尼酮;同时在叶酸诱导的急性肾纤维化模型中,DCL 也可显著缓解肾损伤与纤维化进展(Fig.4)。

Fig4、去氢木香内酯(DCL)在体内改善肾纤维化
三、DCL 直接靶向结合 IQGAP1,结合位点为 Cys1534
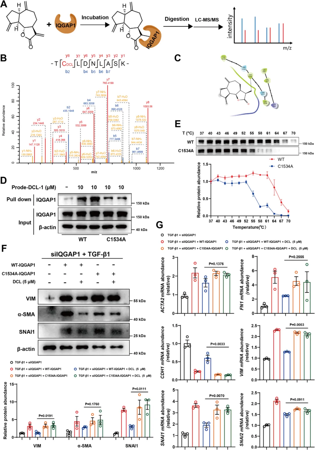
靶点筛选与验证:研究设计合成了生物素标记的 DCL 探针,通过 pulldown 联合质谱分析,从 334 个潜在结合蛋白中锁定 IQGAP1 为核心靶点;荧光共定位、表面等离子体共振(SPR)分析证实,DCL 与 IQGAP1 具有极强的直接结合亲和力(Kd=37.2nM),CETSA、SIP 实验进一步验证了二者在细胞内的直接结合(Fig.5)。

Fig5、去氢木香内酯(DCL)直接靶向 IQGAP1
结合位点精准锁定:通过 LCMS/MS 与共价分子对接,证实 DCL 通过迈克尔加成反应,共价结合于 IQGAP1 的 Cys1534 位点;该位点突变后,DCL 对 IQGAP1 的稳定作用、结合能力以及抗纤维化效应均显著消失,明确了 Cys1534 是 DCL 发挥药效的关键结合位点(Fig.7)。

Fig7、定位 DCL 在 IQGAP1 上的结合位点
四、IQGAP1 是肾纤维化进展的关键驱动因子
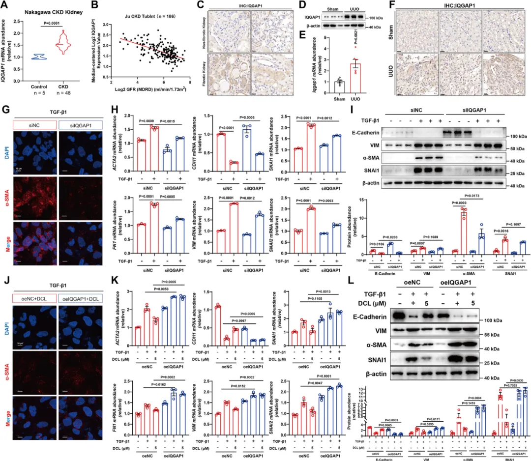
临床样本验证:公共数据库与临床肾纤维化患者活检样本分析显示,IQGAP1 在 CKD 患者肾组织中表达显著上调,其表达水平与患者肾小球滤过率(eGFR)呈显著负相关,在肾纤维化小鼠模型与 TGFβ1 诱导的肾小管上皮细胞中,IQGAP1 表达也显著升高(Fig.6AF)。
功能验证:在肾小管上皮细胞中,敲低 IQGAP1 可显著抑制 TGFβ1 诱导的 EMT 与纤维化进程,而过表达 IQGAP1 则显著促进纤维化表型,且可完全逆转 DCL 的抗纤维化作用,证实 IQGAP1 是 DCL 发挥抗纤维化药效的功能靶点(Fig.6GL)。

Fig6、DCL 与肾纤维化进展密切相关
五、DCL 通过阻断 IQGAP1 与 CCT3 的互作,抑制 Wnt 信号通路激活
下游通路锁定:转录组测序与 KEGG 分析显示,IQGAP1 敲低后变化最显著的通路为 Wnt 信号通路;体内外实验证实,DCL 处理与 IQGAP1 敲低均可显著抑制 TGFβ1 诱导的 Wnt 通路关键分子(CTNNB1、CCND1、MYC)的表达上调,而过表达 IQGAP1 则可激活 Wnt 通路,且 Wnt 通路激动剂可逆转 IQGAP1 敲低的抗纤维化作用(Fig.8)。

Fig8、IQGAP1 调控 Wnt 信号通路
分子机制解析:通过免疫沉淀联合质谱分析,锁定 CCT3 是 IQGAP1 的关键互作蛋白,二者可直接结合并激活 Wnt 通路;DCL 可剂量依赖性阻断 IQGAP1 与 CCT3 的互作,且该效应依赖于 DCL 对 IQGAP1 Cys1534 位点的结合;同时证实 CCT3 是肾纤维化的关键促纤维化因子,敲低 CCT3 可显著抑制 EMT 与 Wnt 通路激活,逆转 IQGAP1 过表达的促纤维化效应(Fig.9)。

Fig9、DCL 阻断 IQGAP1CCT3 相互作用、抑制 Wnt 通路异常激活、改善肾纤维化进展
六、肾小管上皮细胞特异性敲除 IQGAP1/CCT3 显著抑制肾纤维化进展
研究构建了肾小管上皮细胞特异性 IQGAP1/CCT3 敲除小鼠,证实敲除 IQGAP1 或 CCT3 均可显著抑制 UUO 诱导的肾组织病理损伤、胶原沉积、EMT 进程与 Wnt 通路激活,进一步在体内验证了 IQGAP1CCT3 轴是肾纤维化进展的关键调控轴,为 DCL 的临床转化提供了坚实的体内遗传学证据。

Fig10、肾小管特异性敲除 IQGAP1 或 CCT3 可抑制小鼠肾纤维化
03
研究价值与临床转化意义
直击研究痛点:肾纤维化机制不清、靶点缺乏、药物匮乏,现有治疗难以阻止 CKD 进展;中药抗纤维化有效但成分不明、靶点不清、机制模糊。
创新技术方案:建立多模态 AI 预测→中药筛选→活性成分确证→靶点垂钓→机制解析→基因验证的一体化研究模式,高效、精准、可落地。
核心成果价值:发现 IQGAP1CCT3Wnt 新轴;鉴定 DCL 为高活性抗纤维化先导分子;提供可转化的口服小分子与全新成药靶点。
可复制研究思路:为肾病、肺病、肝病等纤维化疾病,提供一套AI 驱动中药发现 + 化学生物学靶点鉴定 + 信号轴解析的标准化研究范式。
04
总结
本研究直击肾纤维化无特效药、中药机制不清两大痛点,提出并验证了一套AI 赋能中药现代化发现的完整技术方案:从多模态 AI 模型精准预测开始,锁定木香与 DCL;再通过体内外药效确证、化学蛋白质组学垂钓靶点、分子机制解析、基因敲除小鼠验证,最终发现 IQGAP1CCT3Wnt 全新调控轴,并证实去氢木香内酯是靶向该轴的强效口服抗纤维化先导化合物。
本研究不仅产出了新靶点、新机制、新候选药物,更建立了一套可复制、可推广、可快速产出成果的纤维化疾病研究范式,为中医药现代化、AI 驱动新药发现、慢性肾病精准治疗提供了可落地的示范路径。
DOI: 10.1002/advs.202520277
「原创」仅代表原创编译,水平有限,仅供学术交流,本平台不主张原文的版权,如有侵权,请联系删除。文献解读或作者简历如有疏漏之处,我们深表歉意,请作者团队及时联系小编,我们会在第一时间进行修改或撤稿重发,感谢您的谅解!
往期推荐
JOIN US ▶▶▶
中药现代化 + 纳米医学双突破!湖北中医药大学 AA-CDs 靶向 HSPA5-GPX4 轴,为骨关节炎治疗提供创新学术方向