
概述
本研究针对 GPRASP2 作为 X 连锁隐性综合征性耳聋致病基因但机制不明的问题,采用 CRISPR/Cas9 构建 Gprasp2 缺陷小鼠模型,结合 HEI-OC1 细胞体外实验,从表型、结构、分子机制逐层探究;先验证缺陷小鼠出现听力损失与抑郁样行为,再观察耳蜗毛细胞排列紊乱、损伤丢失,进而发现铁稳态失衡、ROS 升高、脂质过氧化增强,证实铁死亡参与其中,随后明确 Gprasp2 缺失通过下调 NCAM1 增强铁自噬,最终触发耳蜗毛细胞铁死亡导致耳聋,完整揭示 GPRASP2 维持铁稳态保护毛细胞的分子通路,为 X 连锁隐性综合征性耳聋的机制阐释与基因治疗提供理论依据。
注:该文章发表于《Communications Biology》,该期刊最新影响因子为5.1,位列JCR Q1区,中科院2025年升级版将其归为生物学大类1区Top期刊。
研究要点解析
首次构建 Gprasp2 缺陷小鼠模型,证实其缺失致听力损失与抑郁样行为;揭示 GPRASP2 结合 NCAM1 调控铁自噬,进而维持耳蜗毛细胞铁稳态、抑制铁死亡的全新通路,阐明 X 连锁隐性综合征性耳聋的分子机制,为靶向治疗提供新靶点。
采用 CRISPR/Cas9 基因编辑技术构建 Gprasp2 缺陷 C57BL/6J 小鼠,通过 PCR 进行基因分型;利用 ABR、DPOAE 检测小鼠听力功能,Y 迷宫、悬尾、强迫游泳等行为学实验评估抑郁样与前庭表型;通过 H&E 染色、免疫荧光、扫描电镜观察耳蜗毛细胞与血管纹结构;运用流式细胞术、Western blot、qRT-PCR 检测铁离子、ROS、GSH 及铁死亡、铁自噬相关蛋白与基因表达;借助 Co-IP 验证 GPRASP2 与 NCAM1 的相互作用,结合自噬抑制剂处理细胞,明确铁自噬调控环节,全方位完成体内外实验验证。
Gprasp2 缺陷小鼠出现重度听力损失,ABR 阈值显著升高,DPOAE 振幅降低,同时表现抑郁样行为,无前庭功能异常;小鼠耳蜗毛细胞排列紊乱、外毛细胞丢失、静纤毛畸形,血管纹退化,紧密连接蛋白 ZO-1 表达下降;缺陷小鼠耳蜗与 HEI-OC1 细胞内 Fe (II) 蓄积、ROS 升高、GSH 降低、脂质过氧化增强,线粒体出现铁死亡特征性损伤;铁自噬关键分子 NCOA4、TFRC 上调,GPX4 下调,自噬抑制剂可逆转铁离子蓄积;GPRASP2 与 NCAM1 直接结合,Gprasp2 缺失使 NCAM1 表达降低,过表达 NCAM1 可抑制铁自噬与铁离子升高,证实 GPRASP2 通过 NCAM1 调控铁自噬,缺失则诱发毛细胞铁死亡致聋。

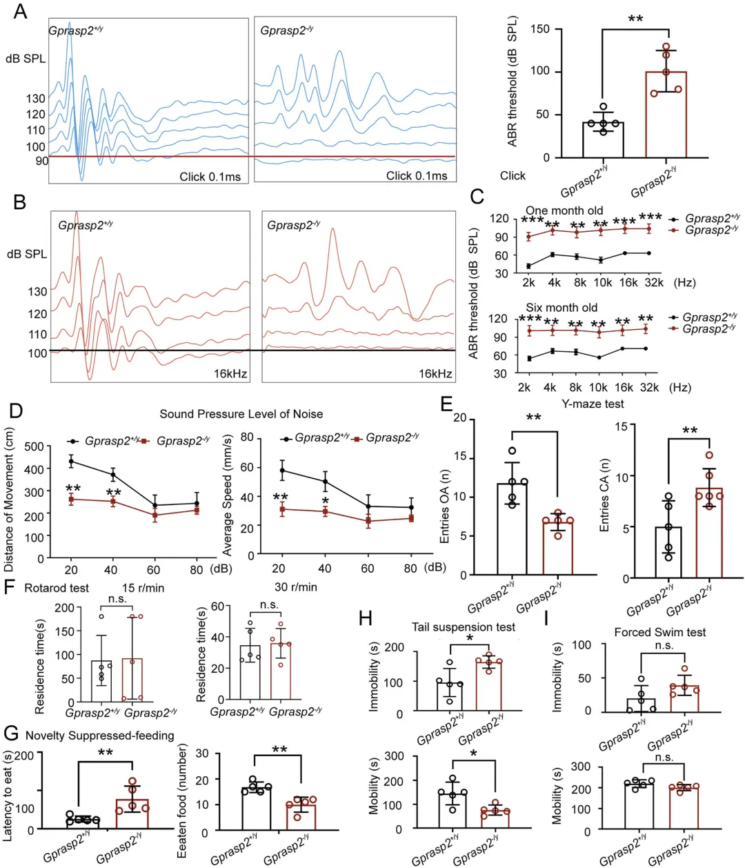
Figure 1:Gprasp2 缺陷对小鼠听觉功能与行为的影响
这张图通过多项在体实验系统证明 Gprasp2 缺陷会直接导致小鼠出现严重的听力损伤以及抑郁样行为,且不影响前庭功能。其中 ABR 检测结果显示,无论是短声刺激还是不同频率纯音刺激,Gprasp2 敲除小鼠的听阈都显著高于野生型小鼠,一月龄与六月龄敲除小鼠均表现出重度听力下降,同时小鼠对声音刺激的惊跳反应与活动能力也明显减弱;在行为学实验中,Y 迷宫、新奇抑制摄食、悬尾以及强迫游泳实验均证实 Gprasp2 缺陷小鼠存在明显的抑郁样行为,而旋转实验未发现两组小鼠存在差异,说明该基因缺失不造成前庭功能异常,整体结果明确 Gprasp2 缺陷小鼠成功模拟了人类 GPRASP2 突变相关的听力损失表型,并伴随抑郁样行为表型。

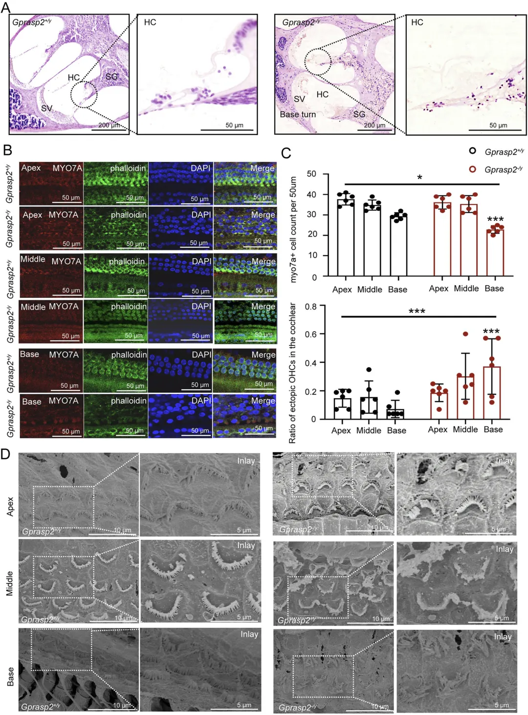
Figure 2:Gprasp2 缺陷导致小鼠耳蜗结构异常
这张图从组织形态与超微结构层面揭示 Gprasp2 缺陷会造成小鼠耳蜗毛细胞与血管纹出现结构性损伤。HE 染色结果显示,敲除小鼠耳蜗存在毛细胞部分缺失以及血管纹退化的现象;免疫荧光染色利用毛细胞特异性标志物 MYO7A 和细胞骨架标志物鬼笔环肽进行标记,发现 Gprasp2 敲除小鼠耳蜗顶回与底回外毛细胞数量明显减少,底回异位毛细胞数量显著增加;扫描电镜结果进一步直观显示,敲除小鼠外毛细胞的静纤毛束出现扭曲、排列紊乱,大量静纤毛发生变性、退化,同时血管纹的紧密连接蛋白 ZO-1 表达下降,提示血管纹的结构与屏障功能受损,这些结构异常直接影响耳蜗的感音功能,是导致听力损失的重要结构基础。

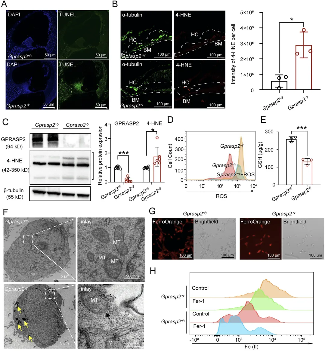
Figure 3:Gprasp2 缺陷通过氧化应激与铁稳态紊乱诱发毛细胞铁死亡
这张图从细胞与分子水平证实 Gprasp2 缺陷会引发耳蜗毛细胞氧化损伤、铁离子蓄积并最终诱发铁死亡。TUNEL 染色显示敲除小鼠耳蜗外毛细胞与螺旋神经节出现广泛的细胞凋亡信号,4‑HNE 免疫荧光检测发现敲除组毛细胞的脂质过氧化水平显著升高,Western blot 也验证了 4‑HNE 蛋白表达上升;流式细胞术检测显示敲除的 HEI‑OC1 细胞内活性氧 ROS 水平升高、还原型谷胱甘肽 GSH 含量下降,透射电镜观察到敲除细胞线粒体出现嵴减少、外膜破损等铁死亡特征性形态改变,同时 FerroOrange 荧光探针检测证实细胞内二价铁离子 Fe (II) 大量蓄积,铁死亡抑制剂处理可逆转铁离子升高,充分说明 Gprasp2 缺陷通过破坏氧化还原平衡、造成铁超载触发毛细胞铁死亡。

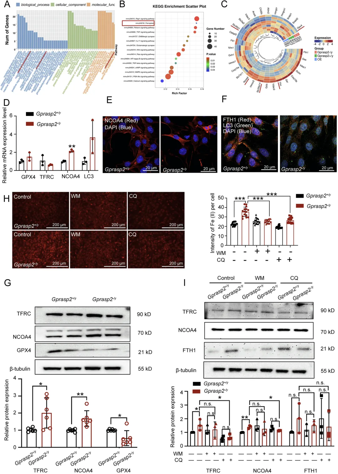
Figure 4:Gprasp2 缺陷通过增强铁自噬介导铁稳态失衡
这张图围绕铁自噬机制展开,明确 Gprasp2 缺陷会通过激活铁自噬加剧细胞铁死亡。转录组测序分析显示,Gprasp2 敲除细胞的差异基因显著富集于铁离子稳态、跨膜转运及铁死亡相关通路;qRT‑PCR 与 Western blot 结果证实,敲除组铁死亡关键蛋白 GPX4 表达下降,铁摄取相关蛋白 TFRC、铁自噬核心蛋白 NCOA4 表达显著上升;免疫荧光实验显示 NCOA4 在敲除细胞中荧光强度明显增强,自噬标志物 LC3 与铁蛋白标志物 FTH1 出现明显共定位,提示铁自噬被激活;使用自噬抑制剂 WM 和 CQ 处理后,敲除细胞内的铁离子荧光强度显著降低,TFRC 与 NCOA4 蛋白表达也随之下降,证明 Gprasp2 缺陷通过增强自噬、上调 NCOA4 促进铁自噬,进而导致细胞内铁离子释放增加、稳态失衡。

Figure 5:Gprasp2 缺陷在体增强耳蜗外毛细胞铁自噬与铁死亡
这张图在动物体内验证 Gprasp2 缺陷会激活耳蜗外毛细胞的铁自噬并诱发铁死亡,与体外细胞实验结果相互印证。在 AAV‑shGprasp2 慢病毒干扰小鼠与 Gprasp2 敲除小鼠的耳蜗组织中,免疫荧光检测显示铁死亡关键蛋白 GPX7 在外毛细胞中的表达显著降低,而铁自噬相关蛋白 NCOA4 与 TFRC 的表达水平明显升高,荧光定量分析也证实这些蛋白的表达差异具有统计学意义,结果直接证明在小鼠耳蜗组织内,Gprasp2 缺失同样会抑制 GPX4 表达、激活 NCOA4 介导的铁自噬,进而启动外毛细胞铁死亡程序,从在体层面锁定铁自噬‑铁死亡通路是 Gprasp2 缺陷致聋的核心环节。
Figure 6:NCAM1 作为 GPRASP2 互作蛋白调控铁自噬与铁死亡
这张图揭示 GPRASP2 通过结合 NCAM1 调控铁自噬的分子机制,明确 NCAM1 是介导 Gprasp2 缺陷致聋的关键下游分子。Co‑IP 实验证实 GPRASP2 与 NCAM1 存在直接相互作用,Western blot 与免疫荧光显示 Gprasp2 缺陷会导致细胞与耳蜗组织中 NCAM1 表达显著下降,且这种下降可被自噬抑制剂 CQ 逆转;在 Gprasp2 敲除细胞中过表达 NCAM1,能够显著降低细胞内铁离子水平与 NCOA4 表达,抑制铁自噬过度激活,但不会影响自噬标志物 LC3,说明 GPRASP2 通过 NCAM1 调控 NCOA4 介导的铁蛋白降解,而非整体自噬过程;同时实验发现 NCAM1 过表达会进一步升高剪切型 caspase3 水平,提示 NCAM1 需维持适宜表达量才能保护细胞,完整阐明 GPRASP2‑NCAM1‑铁自噬‑铁死亡的调控轴。
4.结论
本研究证实 Gprasp2 缺陷可导致小鼠出现听力损失与抑郁样行为,核心致病机制为 GPRASP2 与 NCAM1 结合并维持其稳定,GPRASP2 缺失会下调 NCAM1,进而增强 NCOA4 介导的铁自噬,造成细胞内铁稳态失衡、铁离子蓄积、脂质过氧化与 ROS 升高,最终诱发耳蜗外毛细胞铁死亡,毛细胞结构破坏与功能丧失引发耳聋。该研究明确 GPRASP2 在听觉系统中维持铁稳态的关键作用,完善 X 连锁隐性综合征性耳聋的病理机制,为 GPRASP2 突变相关耳聋的基因治疗与药物干预提供理论支撑与潜在靶点。
局限性:部分表型缺乏定量分析,未关联听力损失与毛细胞损伤程度,行为学机制未完全阐明。展望:后续扩大样本量完善定量分析,深入解析抑郁样行为机制,开发靶向 NCAM1 或铁自噬的干预策略,推进耳聋基因治疗转化。
文章来自:Lu Y, Sheng F, Yao J, Wei Q, Chen H, Chen Z, Xing G, Cao X, Wang T. Abnormal iron homeostasis mediates cochlear hair cell impairment and hearing loss in Gprasp2-deficient mice. Commun Biol. 2026 Feb 13;9(1):425. doi: 10.1038/s42003-026-09679-8. PMID: 41688572; PMCID: PMC13013670.
#GPRASP2#综合征性耳聋#耳蜗毛细胞#铁死亡#铁自噬#NCAM1#铁稳态#X连锁隐性遗传
本文中使用的图片来源于Pubmed,因客观原因未能与权利人取得联系。本平台出于学术交流目的引用,无意侵犯原作者权益。如权利人认为不妥,请及时联系公众号后台,我们将立即删除或协商解决。

国家杰青一对一答疑视频
医学省自然申请答疑,立项的关键条件是哪一些?从哪些方向可以杀出重围
临床型博士如何准备国青标书?没有预实验怎么办?专家一对一解答规划
中医药科研研究
