当前位置:首页>南京>南京医科大学附属口腔医院正畸科:腭裂修复新靶点?解密OGT如何“糖基化”修饰MEIS2,调控腭骨发育

南京医科大学附属口腔医院正畸科:腭裂修复新靶点?解密OGT如何“糖基化”修饰MEIS2,调控腭骨发育

  • 2026-04-10 05:37:34
南京医科大学附属口腔医院正畸科:腭裂修复新靶点?解密OGT如何“糖基化”修饰MEIS2,调控腭骨发育
研究导读:本文由南京医科大学附属口腔医院正畸科于《International Journal of Oral ScienceIF:12.2)发表,本研究共同揭示了MEIS2 O-GlcNAc修饰在腭骨发育中的重要作用,并为理解腭部发育调控网络建立了新的理论框架。该发现可能为未来腭裂的诊断与预防提供新途径。

图文结果解读

图1:OGT 和O-GlcNAc修饰在腭部发育中起关键作用。(a)VonKossa染色与(b)Masson三色染色显示E14.5至E16.5冠状切面结果,黑色虚线标示腭骨区域。(c、d)E14.5至E16.5冠状切面 OGT 及整体O-GlcNAc修饰的代表性免疫组化染色结果。比例尺:100 μm
图2:atRA诱导小鼠中O-糖基化修饰的下调及其在腭部发育调控中的作用。a 对照组小鼠与atRA小鼠腭部托架组织中 OGT 及O-糖基化表达的蛋白质印迹分析。b (a)中相对蛋白水平的半定量数据。c E15.5胚胎冠状切片中整体O-糖基化修饰的代表性免疫组化染色结果。d E15.5胚胎冠状切片中 OGT 的代表性免疫组化染色结果。n=3次生物学独立实验。ppmx上颌骨腭突,ppp腭突腭突
图3:斑马鱼中O-GlcNAc糖基化缺失导致的腭裂与蝶骨旁骨形成障碍。a Tg(sox10:eGFP)转基因斑马鱼幼体腹侧荧光代表性视图。腭部骨骼经解剖后平铺固定,前部朝上。白色实线表示筛骨腭。比例尺:100 μm 。b 9日龄斑马鱼幼体骨结构腹侧(上方)视图示意图。aa:关节角;br1:鳃弓肋1;en:翼外肌;m:上颌骨;n:脊索;o:鳃盖;p:蝶骨旁;br2:鳃弓肋2;c:镫骨;cb:角鳃骨5;ch:角软骨;d:下颌骨;hm:下颌骨下部;v:椎骨;bop:基枕关节突
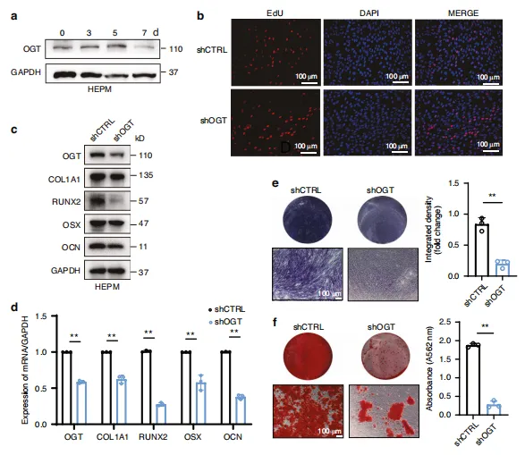
图4:OGT 敲低对 HEPM 细胞体外成骨分化过程的负面影响。a 成骨分化过程中 OGT 蛋白水平的蛋白质印迹分析。b shCtrl与shOGT HEPM 细胞的代表性Edu染色图像。shCtrl短发夹对照(对照慢病毒),shOGT短发夹 OGT(OGT 慢病毒)。c 经指定处理的 HEPM 细胞中成骨标志物(COL1A1、RUNX2、 OSX 和氰酸盐)的表达及蛋白质水平,通过蛋白质印迹法评估。d 经指定处理的 HEPM 细胞中成骨基因(COL1A1、RUNX2、 OSX 和氰酸盐)的表达及mRNA水平,通过实时定量PCR评估。e、f 经指定处理的 HEPM 细胞中碱性磷酸酶(ALP)和抗逆转录酶(ARS)染色结果。
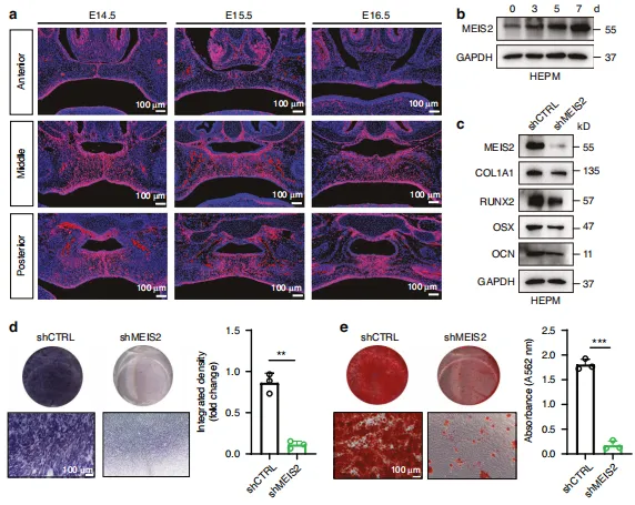
图5:MEIS2对腭骨形成至关重要。a 对E14.5至E16.5冠状切片中MEIS2的免疫荧光染色。b 骨形成分化过程中MEIS2蛋白水平的蛋白质印迹分析。c 骨形成标志物(COL1A1、RUNX2、 OSX 和氰酸盐)的表达及按指定处理的 HEPM 细胞蛋白水平,通过蛋白质印迹法评估。d、e 按指定处理的 HEPM 细胞的碱性磷酸酶(ALP)和抗原识别序列(ARS)染色。n = 3次生物学独立实验。
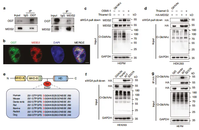
图6:OGT 介导的MEIS2 Ser237位点O-GlcNAc修饰。a 共免疫沉淀实验证实了 HEPM 细胞中 OGT 与MEIS2的相互作用。b 采用代表性免疫荧光染色法检测 HEPM 细胞内亚细胞 OGT(绿色)与MEIS2(红色)的定位。比例尺:5 μm 。c、d 通过sWGA下拉实验观察HEK293细胞中外源性MEIS2及 HEPM 细胞内源性MEIS2表达。细胞收获前经30 μΜ TMG 或 OSMI -1处理12小时。e MEIS2跨物种蛋白质序列比对。f HEK293细胞中sWGA下拉实验结果。转染HA-MEIS2(野生型或S237A突变体)质粒的细胞。g 对HA-WT或HA-S237A突变体转染HEK293细胞中 WCL 及免疫沉淀物进行免疫印迹分析。
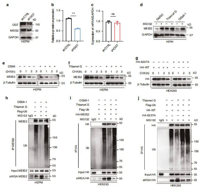
图7:通过抑制泛素化作用实现MEIS2的O-GlcNAc修饰稳定化。a、b shCtrl和shOGT HEPM 细胞中MEIS2蛋白水平的Western印迹(WB)及半定量分析。shOGT是short hairpin OGT(OGT 慢病毒)的缩写。c shCtrl和shOGT HEPM 细胞中MEIS2 mRNA水平的qRT-PCR结果。d HEPM 细胞在经DMSO、30 μmol/L Thiamet G或30 μmol/L OSMI -1处理12小时后,接受10 μmol/L MG132处理8小时。通过WB观察MEIS2表达。e、f HEPM 细胞中MEIS2的半衰期分析。经250 μmol/L CHX 处理指定时间后,通过免疫印迹(IB)观察细胞中MEIS2水平。细胞分别接受DMSO、30 μmol/L OSMI -1或30 μmol/L Thiamet G处理。g HEK293细胞中HA-MEIS2的半衰期分析。经250 μmol/L CHX 处理指定时间后,通过IB观察HEK293细胞中HA-MEIS2水平。转染HA-MEIS2(野生型或S237A)质粒的细胞。h、i 细胞接受DMSO、30 μmol/L Thiamet G或30 μmol/L OSMI -1处理12小时后,通过抗MEIS2或抗HA抗体免疫沉淀观察内源性(h)或外源性(i)MEIS2泛素化。j 细胞转染HA-WT或HA-S237A质粒并经30 μmol/L Thiamet G处理12小时后收集,通过免疫沉淀法检测MEIS2泛素化水平。
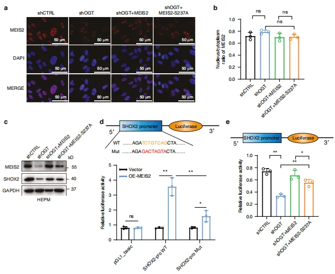
图8:MEIS2 O-GlcNAc化对SHOX2表达的调控。 HEPM 细胞经 OGT shRNA慢病毒载体转染以诱导内源性 OGT 敲低,随后感染表达MEIS2(野生型或S237A突变体)的质粒。a 上述处理条件下 HEPM 细胞中MEIS2的代表性免疫荧光染色结果。b 采用抗MEIS2抗体对核质组分进行免疫共沉淀(IB),并定量分析MEIS2在核质中的比例分布。n=3次生物学独立实验。c 上述处理条件下 HEPM 细胞中SHOX2与MEIS2蛋白水平的蛋白质印迹(WB)分析。d 双荧光素酶报告基因实验显示MEIS2过表达对 HEPM 细胞中SHOX2启动子相对活性的影响。n=3次生物学独立实验。e 通过双荧光素酶报告基因实验测定SHOX2启动子荧光素酶报告构建体的活性。n=3次生物学独立实验。
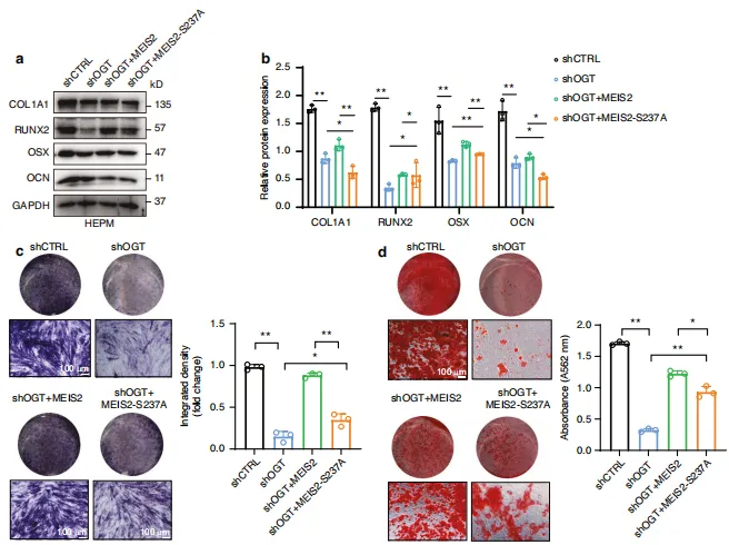
图9:MEIS2的O-GlcNAc修饰在体外促进腭部成骨发育。 HEPM 细胞通过转染 OGT shRNA慢病毒载体诱导内源性 OGT 基因敲低,随后感染表达MEIS2(野生型或S237A突变体)的质粒。a、b 采用蛋白质印迹法及半定量分析检测 HEPM 细胞中成骨分化标志蛋白的表达水平(处理方法同上)。c、d 对指定处理的 HEPM 细胞进行碱性磷酸酶(ALP)和抗原识别序列(ARS)染色。
图10:MEIS2的O-糖基化修饰在体内促进腭部成骨发育。a 120小时受精后斑马鱼幼体经阿尔新蓝染色图像。黑色虚线表示筛骨腭部。b 对斑马鱼胚胎腭裂发生率进行定量分析。n=3次生物学独立实验。c 9日龄斑马鱼幼体ARS染色图像。d 对(c)图中蝶骨旁骨矿化 IOD 进行半定量分析。n=10。

研究结论

总之,本研究证实 OGT 介导的OGlcNAc化通过抑制MEIS2泛素化来稳定其结构,从而调控腭部发育过程中的成骨分化。Ser237被鉴定为MEIS2的关键O-GlcNAc化位点。这些发现为腭裂的分子诊断提供了新见解,并提出 OGT -MEIS2轴可作为潜在治疗靶点。

#牙周炎#口腔科#口腔科医生#口腔科科研#牙周病科#口腔医院
Zhongyin Zhang文《OGT mediates O-GlcNAcylation of MEIS2 and affects palatal osteogenic development》(2025年),因客观原因未能与权利人取得联系。本平台出于学术交流目的引用,无意侵犯原作者权益。如权利人认为不妥,请及时联系公众号后台,我们将立即删除或协商解决。
医学国自然,省自然,博士课题设计,医学实验外包,医学SCI,实验方案设计,免费的线上博导一对一沟通,确认实力后再谈合作,科研合作可以加微信:SCI971SCI

国家杰青一对一答疑视频

博士课题设计专家答疑,如何从亚专业中选取更适合的方向

医学国自然面上项目专家答疑实况,解决申请过程中的任何问题

医学省自然申请答疑,立项的关键条件是哪一些?从哪些方向可以杀出重围

国家科技重大专项,专家一对一指导方案设计实录

临床型博士如何准备国青标书?没有预实验怎么办?专家一对一解答规划

科研信息合集
高分文献解析
国自然立项
展博课题申报
医学硕博论文解析
消化领域科研分享
呼吸领域科研分享
国自然设计思路
皮肤科科研分享

中医药科研研究

最新文章

随机文章

基本 文件 流程 错误 SQL 调试
  1. 请求信息 : 2026-04-11 19:27:33 HTTP/2.0 GET : https://b.460.net.cn/a/526431.html
  2. 运行时间 : 0.135385s [ 吞吐率:7.39req/s ] 内存消耗:4,534.27kb 文件加载:140
  3. 缓存信息 : 0 reads,0 writes
  4. 会话信息 : SESSION_ID=09a58c923377c3402374b8bc8fe631d7
  1. /yingpanguazai/ssd/ssd1/www/b.460.net.cn/public/index.php ( 0.79 KB )
  2. /yingpanguazai/ssd/ssd1/www/b.460.net.cn/vendor/autoload.php ( 0.17 KB )
  3. /yingpanguazai/ssd/ssd1/www/b.460.net.cn/vendor/composer/autoload_real.php ( 2.49 KB )
  4. /yingpanguazai/ssd/ssd1/www/b.460.net.cn/vendor/composer/platform_check.php ( 0.90 KB )
  5. /yingpanguazai/ssd/ssd1/www/b.460.net.cn/vendor/composer/ClassLoader.php ( 14.03 KB )
  6. /yingpanguazai/ssd/ssd1/www/b.460.net.cn/vendor/composer/autoload_static.php ( 4.90 KB )
  7. /yingpanguazai/ssd/ssd1/www/b.460.net.cn/vendor/topthink/think-helper/src/helper.php ( 8.34 KB )
  8. /yingpanguazai/ssd/ssd1/www/b.460.net.cn/vendor/topthink/think-validate/src/helper.php ( 2.19 KB )
  9. /yingpanguazai/ssd/ssd1/www/b.460.net.cn/vendor/topthink/think-orm/src/helper.php ( 1.47 KB )
  10. /yingpanguazai/ssd/ssd1/www/b.460.net.cn/vendor/topthink/think-orm/stubs/load_stubs.php ( 0.16 KB )
  11. /yingpanguazai/ssd/ssd1/www/b.460.net.cn/vendor/topthink/framework/src/think/Exception.php ( 1.69 KB )
  12. /yingpanguazai/ssd/ssd1/www/b.460.net.cn/vendor/topthink/think-container/src/Facade.php ( 2.71 KB )
  13. /yingpanguazai/ssd/ssd1/www/b.460.net.cn/vendor/symfony/deprecation-contracts/function.php ( 0.99 KB )
  14. /yingpanguazai/ssd/ssd1/www/b.460.net.cn/vendor/symfony/polyfill-mbstring/bootstrap.php ( 8.26 KB )
  15. /yingpanguazai/ssd/ssd1/www/b.460.net.cn/vendor/symfony/polyfill-mbstring/bootstrap80.php ( 9.78 KB )
  16. /yingpanguazai/ssd/ssd1/www/b.460.net.cn/vendor/symfony/var-dumper/Resources/functions/dump.php ( 1.49 KB )
  17. /yingpanguazai/ssd/ssd1/www/b.460.net.cn/vendor/topthink/think-dumper/src/helper.php ( 0.18 KB )
  18. /yingpanguazai/ssd/ssd1/www/b.460.net.cn/vendor/symfony/var-dumper/VarDumper.php ( 4.30 KB )
  19. /yingpanguazai/ssd/ssd1/www/b.460.net.cn/vendor/topthink/framework/src/think/App.php ( 15.30 KB )
  20. /yingpanguazai/ssd/ssd1/www/b.460.net.cn/vendor/topthink/think-container/src/Container.php ( 15.76 KB )
  21. /yingpanguazai/ssd/ssd1/www/b.460.net.cn/vendor/psr/container/src/ContainerInterface.php ( 1.02 KB )
  22. /yingpanguazai/ssd/ssd1/www/b.460.net.cn/app/provider.php ( 0.19 KB )
  23. /yingpanguazai/ssd/ssd1/www/b.460.net.cn/vendor/topthink/framework/src/think/Http.php ( 6.04 KB )
  24. /yingpanguazai/ssd/ssd1/www/b.460.net.cn/vendor/topthink/think-helper/src/helper/Str.php ( 7.29 KB )
  25. /yingpanguazai/ssd/ssd1/www/b.460.net.cn/vendor/topthink/framework/src/think/Env.php ( 4.68 KB )
  26. /yingpanguazai/ssd/ssd1/www/b.460.net.cn/app/common.php ( 0.03 KB )
  27. /yingpanguazai/ssd/ssd1/www/b.460.net.cn/vendor/topthink/framework/src/helper.php ( 18.78 KB )
  28. /yingpanguazai/ssd/ssd1/www/b.460.net.cn/vendor/topthink/framework/src/think/Config.php ( 5.54 KB )
  29. /yingpanguazai/ssd/ssd1/www/b.460.net.cn/config/app.php ( 0.95 KB )
  30. /yingpanguazai/ssd/ssd1/www/b.460.net.cn/config/cache.php ( 0.78 KB )
  31. /yingpanguazai/ssd/ssd1/www/b.460.net.cn/config/console.php ( 0.23 KB )
  32. /yingpanguazai/ssd/ssd1/www/b.460.net.cn/config/cookie.php ( 0.56 KB )
  33. /yingpanguazai/ssd/ssd1/www/b.460.net.cn/config/database.php ( 2.47 KB )
  34. /yingpanguazai/ssd/ssd1/www/b.460.net.cn/vendor/topthink/framework/src/think/facade/Env.php ( 1.67 KB )
  35. /yingpanguazai/ssd/ssd1/www/b.460.net.cn/config/filesystem.php ( 0.61 KB )
  36. /yingpanguazai/ssd/ssd1/www/b.460.net.cn/config/lang.php ( 0.91 KB )
  37. /yingpanguazai/ssd/ssd1/www/b.460.net.cn/config/log.php ( 1.35 KB )
  38. /yingpanguazai/ssd/ssd1/www/b.460.net.cn/config/middleware.php ( 0.19 KB )
  39. /yingpanguazai/ssd/ssd1/www/b.460.net.cn/config/route.php ( 1.89 KB )
  40. /yingpanguazai/ssd/ssd1/www/b.460.net.cn/config/session.php ( 0.57 KB )
  41. /yingpanguazai/ssd/ssd1/www/b.460.net.cn/config/trace.php ( 0.34 KB )
  42. /yingpanguazai/ssd/ssd1/www/b.460.net.cn/config/view.php ( 0.82 KB )
  43. /yingpanguazai/ssd/ssd1/www/b.460.net.cn/app/event.php ( 0.25 KB )
  44. /yingpanguazai/ssd/ssd1/www/b.460.net.cn/vendor/topthink/framework/src/think/Event.php ( 7.67 KB )
  45. /yingpanguazai/ssd/ssd1/www/b.460.net.cn/app/service.php ( 0.13 KB )
  46. /yingpanguazai/ssd/ssd1/www/b.460.net.cn/app/AppService.php ( 0.26 KB )
  47. /yingpanguazai/ssd/ssd1/www/b.460.net.cn/vendor/topthink/framework/src/think/Service.php ( 1.64 KB )
  48. /yingpanguazai/ssd/ssd1/www/b.460.net.cn/vendor/topthink/framework/src/think/Lang.php ( 7.35 KB )
  49. /yingpanguazai/ssd/ssd1/www/b.460.net.cn/vendor/topthink/framework/src/lang/zh-cn.php ( 13.70 KB )
  50. /yingpanguazai/ssd/ssd1/www/b.460.net.cn/vendor/topthink/framework/src/think/initializer/Error.php ( 3.31 KB )
  51. /yingpanguazai/ssd/ssd1/www/b.460.net.cn/vendor/topthink/framework/src/think/initializer/RegisterService.php ( 1.33 KB )
  52. /yingpanguazai/ssd/ssd1/www/b.460.net.cn/vendor/services.php ( 0.14 KB )
  53. /yingpanguazai/ssd/ssd1/www/b.460.net.cn/vendor/topthink/framework/src/think/service/PaginatorService.php ( 1.52 KB )
  54. /yingpanguazai/ssd/ssd1/www/b.460.net.cn/vendor/topthink/framework/src/think/service/ValidateService.php ( 0.99 KB )
  55. /yingpanguazai/ssd/ssd1/www/b.460.net.cn/vendor/topthink/framework/src/think/service/ModelService.php ( 2.04 KB )
  56. /yingpanguazai/ssd/ssd1/www/b.460.net.cn/vendor/topthink/think-trace/src/Service.php ( 0.77 KB )
  57. /yingpanguazai/ssd/ssd1/www/b.460.net.cn/vendor/topthink/framework/src/think/Middleware.php ( 6.72 KB )
  58. /yingpanguazai/ssd/ssd1/www/b.460.net.cn/vendor/topthink/framework/src/think/initializer/BootService.php ( 0.77 KB )
  59. /yingpanguazai/ssd/ssd1/www/b.460.net.cn/vendor/topthink/think-orm/src/Paginator.php ( 11.86 KB )
  60. /yingpanguazai/ssd/ssd1/www/b.460.net.cn/vendor/topthink/think-validate/src/Validate.php ( 63.20 KB )
  61. /yingpanguazai/ssd/ssd1/www/b.460.net.cn/vendor/topthink/think-orm/src/Model.php ( 23.55 KB )
  62. /yingpanguazai/ssd/ssd1/www/b.460.net.cn/vendor/topthink/think-orm/src/model/concern/Attribute.php ( 21.05 KB )
  63. /yingpanguazai/ssd/ssd1/www/b.460.net.cn/vendor/topthink/think-orm/src/model/concern/AutoWriteData.php ( 4.21 KB )
  64. /yingpanguazai/ssd/ssd1/www/b.460.net.cn/vendor/topthink/think-orm/src/model/concern/Conversion.php ( 6.44 KB )
  65. /yingpanguazai/ssd/ssd1/www/b.460.net.cn/vendor/topthink/think-orm/src/model/concern/DbConnect.php ( 5.16 KB )
  66. /yingpanguazai/ssd/ssd1/www/b.460.net.cn/vendor/topthink/think-orm/src/model/concern/ModelEvent.php ( 2.33 KB )
  67. /yingpanguazai/ssd/ssd1/www/b.460.net.cn/vendor/topthink/think-orm/src/model/concern/RelationShip.php ( 28.29 KB )
  68. /yingpanguazai/ssd/ssd1/www/b.460.net.cn/vendor/topthink/think-helper/src/contract/Arrayable.php ( 0.09 KB )
  69. /yingpanguazai/ssd/ssd1/www/b.460.net.cn/vendor/topthink/think-helper/src/contract/Jsonable.php ( 0.13 KB )
  70. /yingpanguazai/ssd/ssd1/www/b.460.net.cn/vendor/topthink/think-orm/src/model/contract/Modelable.php ( 0.09 KB )
  71. /yingpanguazai/ssd/ssd1/www/b.460.net.cn/vendor/topthink/framework/src/think/Db.php ( 2.88 KB )
  72. /yingpanguazai/ssd/ssd1/www/b.460.net.cn/vendor/topthink/think-orm/src/DbManager.php ( 8.52 KB )
  73. /yingpanguazai/ssd/ssd1/www/b.460.net.cn/vendor/topthink/framework/src/think/Log.php ( 6.28 KB )
  74. /yingpanguazai/ssd/ssd1/www/b.460.net.cn/vendor/topthink/framework/src/think/Manager.php ( 3.92 KB )
  75. /yingpanguazai/ssd/ssd1/www/b.460.net.cn/vendor/psr/log/src/LoggerTrait.php ( 2.69 KB )
  76. /yingpanguazai/ssd/ssd1/www/b.460.net.cn/vendor/psr/log/src/LoggerInterface.php ( 2.71 KB )
  77. /yingpanguazai/ssd/ssd1/www/b.460.net.cn/vendor/topthink/framework/src/think/Cache.php ( 4.92 KB )
  78. /yingpanguazai/ssd/ssd1/www/b.460.net.cn/vendor/psr/simple-cache/src/CacheInterface.php ( 4.71 KB )
  79. /yingpanguazai/ssd/ssd1/www/b.460.net.cn/vendor/topthink/think-helper/src/helper/Arr.php ( 16.63 KB )
  80. /yingpanguazai/ssd/ssd1/www/b.460.net.cn/vendor/topthink/framework/src/think/cache/driver/File.php ( 7.84 KB )
  81. /yingpanguazai/ssd/ssd1/www/b.460.net.cn/vendor/topthink/framework/src/think/cache/Driver.php ( 9.03 KB )
  82. /yingpanguazai/ssd/ssd1/www/b.460.net.cn/vendor/topthink/framework/src/think/contract/CacheHandlerInterface.php ( 1.99 KB )
  83. /yingpanguazai/ssd/ssd1/www/b.460.net.cn/app/Request.php ( 0.09 KB )
  84. /yingpanguazai/ssd/ssd1/www/b.460.net.cn/vendor/topthink/framework/src/think/Request.php ( 55.78 KB )
  85. /yingpanguazai/ssd/ssd1/www/b.460.net.cn/app/middleware.php ( 0.25 KB )
  86. /yingpanguazai/ssd/ssd1/www/b.460.net.cn/vendor/topthink/framework/src/think/Pipeline.php ( 2.61 KB )
  87. /yingpanguazai/ssd/ssd1/www/b.460.net.cn/vendor/topthink/think-trace/src/TraceDebug.php ( 3.40 KB )
  88. /yingpanguazai/ssd/ssd1/www/b.460.net.cn/vendor/topthink/framework/src/think/middleware/SessionInit.php ( 1.94 KB )
  89. /yingpanguazai/ssd/ssd1/www/b.460.net.cn/vendor/topthink/framework/src/think/Session.php ( 1.80 KB )
  90. /yingpanguazai/ssd/ssd1/www/b.460.net.cn/vendor/topthink/framework/src/think/session/driver/File.php ( 6.27 KB )
  91. /yingpanguazai/ssd/ssd1/www/b.460.net.cn/vendor/topthink/framework/src/think/contract/SessionHandlerInterface.php ( 0.87 KB )
  92. /yingpanguazai/ssd/ssd1/www/b.460.net.cn/vendor/topthink/framework/src/think/session/Store.php ( 7.12 KB )
  93. /yingpanguazai/ssd/ssd1/www/b.460.net.cn/vendor/topthink/framework/src/think/Route.php ( 23.73 KB )
  94. /yingpanguazai/ssd/ssd1/www/b.460.net.cn/vendor/topthink/framework/src/think/route/RuleName.php ( 5.75 KB )
  95. /yingpanguazai/ssd/ssd1/www/b.460.net.cn/vendor/topthink/framework/src/think/route/Domain.php ( 2.53 KB )
  96. /yingpanguazai/ssd/ssd1/www/b.460.net.cn/vendor/topthink/framework/src/think/route/RuleGroup.php ( 22.43 KB )
  97. /yingpanguazai/ssd/ssd1/www/b.460.net.cn/vendor/topthink/framework/src/think/route/Rule.php ( 26.95 KB )
  98. /yingpanguazai/ssd/ssd1/www/b.460.net.cn/vendor/topthink/framework/src/think/route/RuleItem.php ( 9.78 KB )
  99. /yingpanguazai/ssd/ssd1/www/b.460.net.cn/route/app.php ( 1.72 KB )
  100. /yingpanguazai/ssd/ssd1/www/b.460.net.cn/vendor/topthink/framework/src/think/facade/Route.php ( 4.70 KB )
  101. /yingpanguazai/ssd/ssd1/www/b.460.net.cn/vendor/topthink/framework/src/think/route/dispatch/Controller.php ( 4.74 KB )
  102. /yingpanguazai/ssd/ssd1/www/b.460.net.cn/vendor/topthink/framework/src/think/route/Dispatch.php ( 10.44 KB )
  103. /yingpanguazai/ssd/ssd1/www/b.460.net.cn/app/controller/Index.php ( 4.81 KB )
  104. /yingpanguazai/ssd/ssd1/www/b.460.net.cn/app/BaseController.php ( 2.05 KB )
  105. /yingpanguazai/ssd/ssd1/www/b.460.net.cn/vendor/topthink/think-orm/src/facade/Db.php ( 0.93 KB )
  106. /yingpanguazai/ssd/ssd1/www/b.460.net.cn/vendor/topthink/think-orm/src/db/connector/Mysql.php ( 5.44 KB )
  107. /yingpanguazai/ssd/ssd1/www/b.460.net.cn/vendor/topthink/think-orm/src/db/PDOConnection.php ( 52.47 KB )
  108. /yingpanguazai/ssd/ssd1/www/b.460.net.cn/vendor/topthink/think-orm/src/db/Connection.php ( 8.39 KB )
  109. /yingpanguazai/ssd/ssd1/www/b.460.net.cn/vendor/topthink/think-orm/src/db/ConnectionInterface.php ( 4.57 KB )
  110. /yingpanguazai/ssd/ssd1/www/b.460.net.cn/vendor/topthink/think-orm/src/db/builder/Mysql.php ( 16.58 KB )
  111. /yingpanguazai/ssd/ssd1/www/b.460.net.cn/vendor/topthink/think-orm/src/db/Builder.php ( 24.06 KB )
  112. /yingpanguazai/ssd/ssd1/www/b.460.net.cn/vendor/topthink/think-orm/src/db/BaseBuilder.php ( 27.50 KB )
  113. /yingpanguazai/ssd/ssd1/www/b.460.net.cn/vendor/topthink/think-orm/src/db/Query.php ( 15.71 KB )
  114. /yingpanguazai/ssd/ssd1/www/b.460.net.cn/vendor/topthink/think-orm/src/db/BaseQuery.php ( 45.13 KB )
  115. /yingpanguazai/ssd/ssd1/www/b.460.net.cn/vendor/topthink/think-orm/src/db/concern/TimeFieldQuery.php ( 7.43 KB )
  116. /yingpanguazai/ssd/ssd1/www/b.460.net.cn/vendor/topthink/think-orm/src/db/concern/AggregateQuery.php ( 3.26 KB )
  117. /yingpanguazai/ssd/ssd1/www/b.460.net.cn/vendor/topthink/think-orm/src/db/concern/ModelRelationQuery.php ( 20.07 KB )
  118. /yingpanguazai/ssd/ssd1/www/b.460.net.cn/vendor/topthink/think-orm/src/db/concern/ParamsBind.php ( 3.66 KB )
  119. /yingpanguazai/ssd/ssd1/www/b.460.net.cn/vendor/topthink/think-orm/src/db/concern/ResultOperation.php ( 7.01 KB )
  120. /yingpanguazai/ssd/ssd1/www/b.460.net.cn/vendor/topthink/think-orm/src/db/concern/WhereQuery.php ( 19.37 KB )
  121. /yingpanguazai/ssd/ssd1/www/b.460.net.cn/vendor/topthink/think-orm/src/db/concern/JoinAndViewQuery.php ( 7.11 KB )
  122. /yingpanguazai/ssd/ssd1/www/b.460.net.cn/vendor/topthink/think-orm/src/db/concern/TableFieldInfo.php ( 2.63 KB )
  123. /yingpanguazai/ssd/ssd1/www/b.460.net.cn/vendor/topthink/think-orm/src/db/concern/Transaction.php ( 2.77 KB )
  124. /yingpanguazai/ssd/ssd1/www/b.460.net.cn/vendor/topthink/framework/src/think/log/driver/File.php ( 5.96 KB )
  125. /yingpanguazai/ssd/ssd1/www/b.460.net.cn/vendor/topthink/framework/src/think/contract/LogHandlerInterface.php ( 0.86 KB )
  126. /yingpanguazai/ssd/ssd1/www/b.460.net.cn/vendor/topthink/framework/src/think/log/Channel.php ( 3.89 KB )
  127. /yingpanguazai/ssd/ssd1/www/b.460.net.cn/vendor/topthink/framework/src/think/event/LogRecord.php ( 1.02 KB )
  128. /yingpanguazai/ssd/ssd1/www/b.460.net.cn/vendor/topthink/think-helper/src/Collection.php ( 16.47 KB )
  129. /yingpanguazai/ssd/ssd1/www/b.460.net.cn/vendor/topthink/framework/src/think/facade/View.php ( 1.70 KB )
  130. /yingpanguazai/ssd/ssd1/www/b.460.net.cn/vendor/topthink/framework/src/think/View.php ( 4.39 KB )
  131. /yingpanguazai/ssd/ssd1/www/b.460.net.cn/vendor/topthink/framework/src/think/Response.php ( 8.81 KB )
  132. /yingpanguazai/ssd/ssd1/www/b.460.net.cn/vendor/topthink/framework/src/think/response/View.php ( 3.29 KB )
  133. /yingpanguazai/ssd/ssd1/www/b.460.net.cn/vendor/topthink/framework/src/think/Cookie.php ( 6.06 KB )
  134. /yingpanguazai/ssd/ssd1/www/b.460.net.cn/vendor/topthink/think-view/src/Think.php ( 8.38 KB )
  135. /yingpanguazai/ssd/ssd1/www/b.460.net.cn/vendor/topthink/framework/src/think/contract/TemplateHandlerInterface.php ( 1.60 KB )
  136. /yingpanguazai/ssd/ssd1/www/b.460.net.cn/vendor/topthink/think-template/src/Template.php ( 46.61 KB )
  137. /yingpanguazai/ssd/ssd1/www/b.460.net.cn/vendor/topthink/think-template/src/template/driver/File.php ( 2.41 KB )
  138. /yingpanguazai/ssd/ssd1/www/b.460.net.cn/vendor/topthink/think-template/src/template/contract/DriverInterface.php ( 0.86 KB )
  139. /yingpanguazai/ssd/ssd1/www/b.460.net.cn/runtime/temp/b35eef690f41e64ad9e1c098cfc7d3bc.php ( 11.98 KB )
  140. /yingpanguazai/ssd/ssd1/www/b.460.net.cn/vendor/topthink/think-trace/src/Html.php ( 4.42 KB )
  1. CONNECT:[ UseTime:0.000638s ] mysql:host=127.0.0.1;port=3306;dbname=b460;charset=utf8mb4
  2. SHOW FULL COLUMNS FROM `fenlei` [ RunTime:0.000987s ]
  3. SELECT * FROM `fenlei` WHERE `fid` = 0 [ RunTime:0.000473s ]
  4. SELECT * FROM `fenlei` WHERE `fid` = 63 [ RunTime:0.000454s ]
  5. SHOW FULL COLUMNS FROM `set` [ RunTime:0.000964s ]
  6. SELECT * FROM `set` [ RunTime:0.000365s ]
  7. SHOW FULL COLUMNS FROM `article` [ RunTime:0.001144s ]
  8. SELECT * FROM `article` WHERE `id` = 526431 LIMIT 1 [ RunTime:0.002123s ]
  9. UPDATE `article` SET `lasttime` = 1775906853 WHERE `id` = 526431 [ RunTime:0.001822s ]
  10. SELECT * FROM `fenlei` WHERE `id` = 65 LIMIT 1 [ RunTime:0.000465s ]
  11. SELECT * FROM `article` WHERE `id` < 526431 ORDER BY `id` DESC LIMIT 1 [ RunTime:0.000786s ]
  12. SELECT * FROM `article` WHERE `id` > 526431 ORDER BY `id` ASC LIMIT 1 [ RunTime:0.000811s ]
  13. SELECT * FROM `article` WHERE `id` < 526431 ORDER BY `id` DESC LIMIT 10 [ RunTime:0.003859s ]
  14. SELECT * FROM `article` WHERE `id` < 526431 ORDER BY `id` DESC LIMIT 10,10 [ RunTime:0.002852s ]
  15. SELECT * FROM `article` WHERE `id` < 526431 ORDER BY `id` DESC LIMIT 20,10 [ RunTime:0.001897s ]
0.138052s