
近日,苏州大学附属第一医院心律失常团队在心内科主任蒋廷波教授的带领下,成功完成了全国首批AgileView™ ICE心腔内超声导管指导下的PulseSelect™导管消融一站式手术。邹操教授和薛枫教授分别在完成房颤消融评估的同时,结合患者卒中风险及抗凝耐受情况,进一步规划了“房颤消融+左心耳封堵”的一站式介入治疗策略,在同一术中影像体系下,实现节律控制与卒中预防的协同管理。AgileView™ ICE导管在手术过程中为左心房解剖结构识别、导管定位及关键操作指导提供了实时、清晰的影像支持,为手术的安全性与规范化实施提供了重要保障。这也是本产品在苏州地区的首次临床应用,为不同年龄及情况的房颤患者开辟了一条安全高效的治疗新路径。


蒋廷波教授作为《心腔内超声心动图中国专家共识(2022)》核心编撰专家,牵头制定ICE在电生理与结构性心脏病介入的应用规范、操作流程、图像判读标准,为国内首个行业共识,奠定临床应用基石。其团队(含电生理、结构性心脏病、心超)是国内心腔内超声(ICE)应用的标杆,推动ICE从“术中辅助”向“全程指导”转变,为行业进步与患者获益作出重要贡献。
手术速览
患者基本情况:77岁男性,3周前因“腹胀3月余,言语障碍1天”至我院感染科住院,住院期间发现房颤。完善心超示左房增大,二尖瓣轻度反流。完善holter:基础心律为房颤,最快心室率152次/分,最慢心室率54次/分,平均心室率86次/分,全程可见大于2.0秒的长间歇3次,最长RR间期为2.09秒,ST段以及T波未见明显改变。结论:心房颤动偶伴长RR间期。为求进一步治疗收入我科病房。
术式内容相比传统10Fr ICE导管,7.5Fr ICE对血管的刺激性更小,穿刺时能最大程度减少血管损伤,有效降低穿刺并发症风险,特别适合高龄患者。因此术者选择在:AgileView™ ICE(腔内超声)实时指导下,实施房颤消融联合左心耳封堵的一站式介入治疗方案
导管组合:AgileView™ ICE导管用于术前筛查,术中心房结构显示、房间隔穿刺指导及导管贴靠(封堵)判断,PulseSelect™脉冲消融导管用于肺静脉隔离
手术细节
▶【高清影像护航,为手术安全保驾护航】
在消融手术开始前,邹操教授将ICE导管经股静脉穿刺进入右房进行术前筛查,为手术安全提供第一道影像保障。术者对左心房、左心耳及心包区域进行了系统性扫查,在导管消融前评估该患者不存在左房血栓情况,并进行术前心包监测。
AgileView™ ICE的高清实时超声成像使潜在风险在早期即可被发现与排除,让后续操作始终建立在“可视、可控”的安全基础之上,有效提升整体手术安全性。

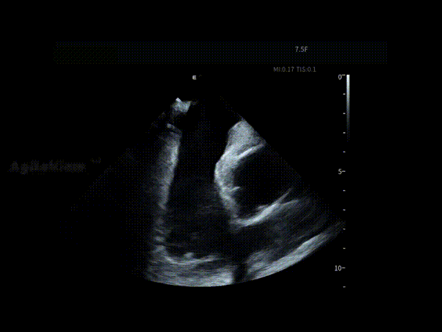
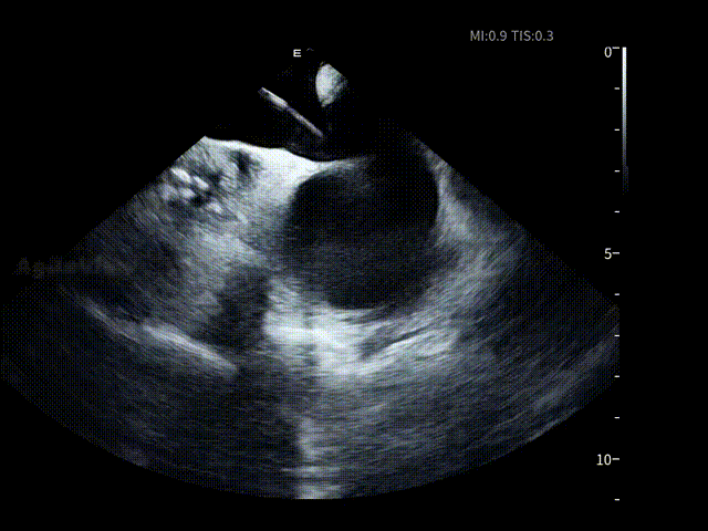
HomeView

术前心包-有明显积液
▶【流程更顺,7.5Fr ICE定位更稳,助力高效完成消融】
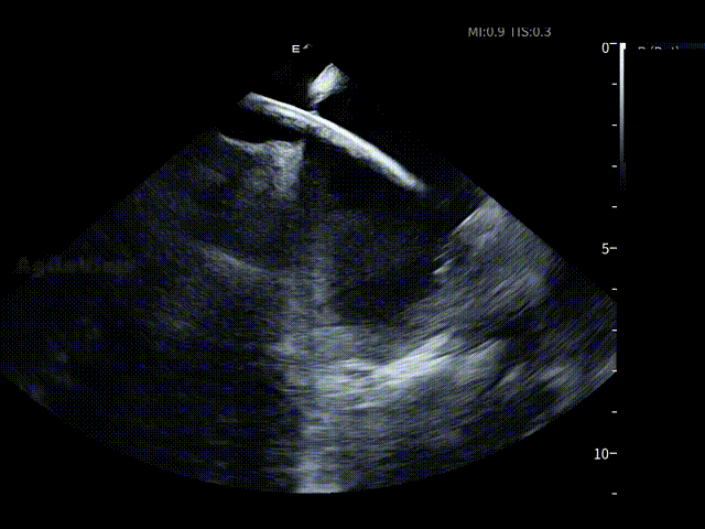
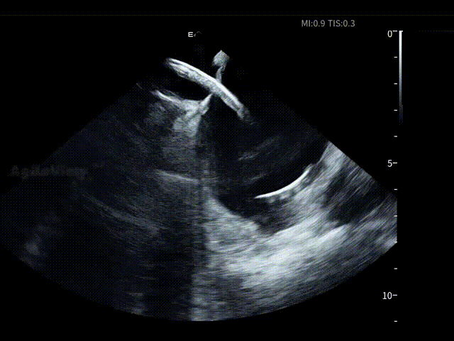
在全球最细7.5Fr ICE的持续影像引导下,手术路径清晰。随后,邹操教授在ICE下进行了房间隔穿刺,可见明显tenting现象。
随后,术者选择在AgileView™ ICE的“PFA预设模式”下进行导管消融,在实时高清影像的指导下,PulseSelect™脉冲消融导管安全进入左心房,先后完成双侧肺静脉隔离及后壁消融,ICE PFA预设模式下可见画面成像清晰,导管贴靠良好,整个消融过程顺利高效,消融时间仅30分钟(PVI+PWI)。术后患者恢复良好。
在消融过程中,ICE提供的实时高清成像帮助术者动态观察消融导管与心房组织的空间关系与贴靠状态,使关键步骤判断更加可视、可靠。

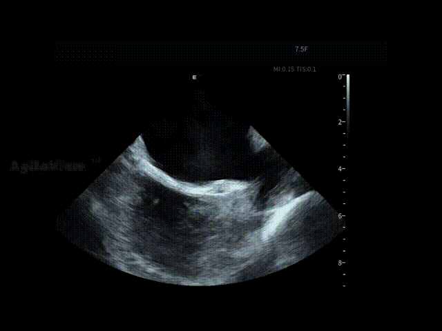
房间隔穿刺
▶【同一影像体系,支撑消融及封堵一站式连续操作】
在完成房颤消融关键步骤后,邹操教授操作7.5Fr AgileView™ ICE导管进入左心房,该导管为四向180°打弯,可轻松进入左房,为后续左心耳评估与封堵操作提供无缝衔接的影像支持。
通过ICE的多角度实时成像,术者在左房内近距离观察左心耳的开口形态、分叶数结构及周围解剖关系,并对潜在血栓进行动态筛查,并选择合适的封堵器型号选择并制定释放策略。
AgileView™ 7.5Fr ICE的超细管径设计,使ICE在左房内多任务操作时“存在感更低”,在消融导管、封堵输送系统等多导管并行的情况下,仍能保持稳定、清晰的视野,避免频繁调整,显著提升一站式手术的流程顺畅性与可控性。手术结束前,术者再次使用ICE导管进行心包监测,确认无明显变化后,整体手术结束。

90°观察LAA

90°观察封堵器

90°送猪尾导丝进LAA

135°观察封堵器

135°释放封堵器

135°观察封堵器释放效果

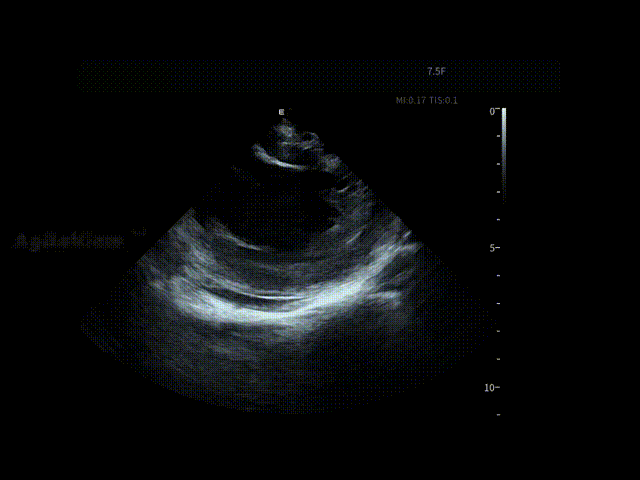
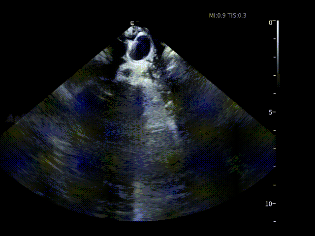
术后心包-积液无增加
手术速览

患者基本情况:55岁男性,患者3年前偶感心悸胸闷,无胸痛,无恶心呕吐,未予重视,半年前因房颤导致脑梗,住院药物保守治疗后好转出院,现患者仍有胸闷不适,为求进一步诊治遂至我科。
术式内容:AgileView™ ICE导管指导下,实施房颤消融联合左心耳封堵的一站式介入治疗方案。
导管组合:AgileView™ ICE导管用于术前筛查,术中心房结构显示、房间隔穿刺指导及导管贴靠(封堵)判断,PulseSelect™脉冲消融导管用于肺静脉隔离。
手术细节

▶【高清影像护航,为手术安全保驾护航】
同样,在消融手术开始前,薛枫教授将ICE导管经股静脉穿刺进入右房进行术前筛查,术者对左心房、左心耳及心包区域进行了系统性扫查,在一站式手术开始前评估该患者不存在左房血栓情况,并进行术前心包监测。
AgileView™ ICE 的高清实时超声成像使潜在风险在早期即可被发现与排除,让后续操作始终建立在“可视、可控”的安全基础之上,有效提升整体手术安全性。


HomeView
术前心包-有明显积液
▶【流程更顺,7.5Fr ICE定位更稳,助力高效完成消融】
在全球最细7.5Fr ICE的持续影像引导下,手术路径清晰。随后薛枫教授在ICE下进行了房间隔穿刺,见明显tenting现象。
随后,助手在AgileView™ ICE主机上,切换到了“PFA预设模式”下进行导管消融,在实时高清影像的指导下,PulseSelect™脉冲消融导管经导丝引导安全进入左心房,先后完成双侧肺静脉隔离,ICE PFA预设模式下可见画面成像清晰,导管贴靠良好,整个消融过程顺利高效,消融时间仅21分钟。术后患者恢复良好。

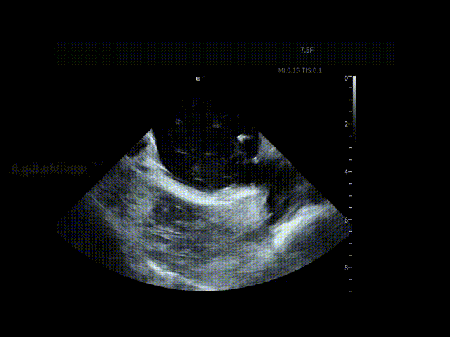
房间隔穿刺



ICE指导下房颤消融
▶【同一影像体系,支撑消融及封堵一站式连续操作】
在完成房颤消融关键步骤后,薛枫教授操作7.5Fr AgileView™ ICE导管进入左心房,该导管为四向180°打弯,可轻松进入左房,为后续左心耳评估与封堵操作提供无缝衔接的影像支持。
通过ICE的多角度实时成像,术者在左房内近距离观察左心耳的开口形态、分叶数结构及周围解剖关系,并对潜在血栓进行动态筛查,并选择合适的封堵器型号选择并制定释放策略。


封堵器释放
AgileView™ ICE
复杂消融的术中影像解决方案


1
全球最细7.5Fr设计
进入左房更从容
7.5Fr超细管径设计,可更安心地进入左房,减少房间隔穿刺损伤,进入左房后更有助于导管贴靠情况的判断。在解剖条件复杂或房间隔条件偏硬的病例中,细管径设计有助于减少操作阻力,使ICE的术中应用更加灵活、可控。
2
“超清”PFA预设成像模式
匹配脉冲消融能量特性
针对PFA能量的物理特性,AgileView™ ICE配备PFA专属预设成像模式,通过针对性的参数设置,使术中影像更贴合脉冲消融的操作需求,帮助术者更直观地观察导管与组织的贴靠情况,为术中判断提供稳定清晰影像支持。
3
自锁弯结构
稳定视野,减少反复调节
独特的自锁弯设计,可在目标位置实现弯形固定,在长时间观察或关键步骤操作过程中,保持稳定的成像视野,提升术中影像的连续性与稳定性。
专家简介

蒋廷波
苏州大学附属第一医院(点击查看专家详细简历)

邹操
苏州大学附属第一医院(点击查看专家详细简历)

薛枫
苏州大学附属第一医院(点击查看专家详细简历)
· END ·