

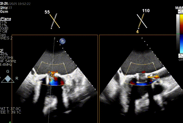
左房尺寸:长轴90.6mm,短轴79.2mm
由于二尖瓣环和主动脉瓣角度过大,若采取经心尖方式,同轴性不佳,且难以调整定位件,同样采取经房间隔方式。

模拟植入26mm的S3瓣膜,评估LVOT阻塞风险:
1.二尖瓣环与主动脉环平面夹角= 128.3°>105°
2.瓣膜与室间隔最短距离= 6.7mm>6mm
3.最小Neo-LVOT面积= 260.4mm2>180mm2
综合评估后LVOT梗阻风险低。


RAO:23° CRA:25°
Positioning heigh: 90/10 preferred