

扫一扫添加KQ88客服


权香莲医师
硕士学位,主治医师。北京三家口腔门诊创始人。
北京世纪口腔院长
著作《口腔正畸实战病例解析—非拔牙矫治》 《⼝腔正畸实战病例解析—拔牙矫治》
国内各大教育机构特聘正畸培训专家讲师
全国讲课已达200余场,培训了无数正畸医生,
讲师风格为落地性强,学员认可度非常高的口口相传讲师
擅长:舌侧矫正 隐形矫正 传统固定矫正等多种矫正方式,尤其擅长成人颌面综合美学正畸。目前完成正畸病例两千余例
【课程简介】
系统正畸课程分为四期,课程要求干货,实操性强,学完回家就能落地开展!
第一期的收获是让零基础小白能够回家接病例先开展 。分为:基础、非拔牙、拔牙、头影测量、保持,这五大模块。
第二期针对第一期的学员开展病例后的问题继续深入,巩固一期的非拔牙;拔牙病例的常见问题及临床提升 。
第三期的学员要开始进阶Ⅱ类 Ⅲ类(早期矫治的开展 以及成人Ⅱ类Ⅲ类的处理)
第四期:头影测量点的进阶板块;难度开合、深覆合学习
更干货、更实用的系统正畸课程,让您学到实战、前沿的正畸技术,从容应对未来的竞争与挑战。
【招生对象】
1、正畸零基础,计划规范开展正畸业务的全科医生。
2、做过很多正畸病人,临床过程中遇到很多困惑解决不了,带着问题和疑问准备提高的正畸医生。
3、 没有经过规范的正畸学习,希望通过系统培训规范临床操作程序,培养正畸思维养成。
【课程亮点】
1、一人一模全套正畸工具全程演练
2、课后结束病例可全程带教
3、通俗幽默的课程 讲解 +落地的干货
4、让零基础小白快速入门成长、突破自身瓶颈、助力事业发展。
5、配课程专属学习群,全程互动学习,助教随时在线,社群答疑讨论。
【课程内容】
第一期 基础 拔牙与非拔牙 头影测量 (3天)
第一天上午
正畸理论
1、了解正畸发展简史
2、错合畸形分类诊断
小白入门篇
1、正畸常用物品准备 (器械材料)
2、正畸拍照要领,常用牙颌像规范
3、颅面的生长发育(理论)
4、牙列与颌的发育(实操)
5、正畸生物力学知识
6、错合畸形病因
第一天下午
托槽粘接
1、正畸托槽的粘接训练(实操)
识别托槽 转矩 轴倾等
矫治巩固及大量实操
2、托槽的精准粘接技巧(实操)
3、分⽛圈及带环的安装
4、深覆合开合的粘接技巧
5、二类三类的粘接技巧
6、拔牙病例的特殊粘接技巧
7、特殊牙齿特定情况的托槽粘接
第二天上午
弓丝操作
1、弓丝分类
2、制作结扎丝(实操)
3、弓丝的结扎训练
单翼 双翼结扎 对角结扎 低摩擦结扎 紧结扎 结扎圈 悬吊结扎(实操)
4、圆丝,方丝的快速安装方法与舒适性
回弯临床技巧(实操)
5、防止挂嘴及舒适的结扎技巧
第二天下午
非拔牙病例
1、正畸不拔牙病例的矫正思路(理论)
2、不拔牙病例的换丝程序(理论)
允许唇倾病例的换丝流程
不允许唇倾病例的换丝流程
推簧使用技巧
3、不拔牙病例十五例具体病例详细分析(病例从简单到复杂)(理论)
排齐过程中对⽛齿扭转的特殊处理
4、不拔牙病例与患者的洽谈方法 (实际案例分享)
5、精细咬合调整的具体方法(模型实操)
二类牵引 三类牵引 三交牵引 交互牵引等与生物力学
6、完成阶段挂⽪圈及各种牵引的操作具体方法(实操)
7、小圈曲 欧米加曲(模型实操)
8、非拔牙病例创造间隙的方法
9、结束后的保持 针对具体病例的保持特点与方法及舌侧保持丝制作方法(模型实操)
10、发生复发情况的处理具体方法(理论+实操)
11、非拔牙病例如何成交洽谈 (正畸的接诊流程)
第三天上午
拔牙矫治
1、拔牙病例的矫治程序与思路(理论)
2、拔牙病例的临床具体矫治方法(模型实操)
3、拔牙病例关闭间隙方法(模型实操)
4、正畸拔牙病例中的覆颌覆盖控制及中线的控制(理论)
5、拔牙病例的临床沟通
6、拔牙病例完成阶段的精细咬合调整(实操)
7、十五例拔牙病例分步详解(理论)
8、拔牙病例中深覆合陷阱的规避及如何做到一个病例不丢支抗
9、拔牙病例的支抗控制
第三天下午
头影测量
1、头颅侧位片解剖结构描绘及头影测量常用定点介绍
2、基础X线头影测量分析定点
3、X线头影测量画线
4、X线头影测量常用指标
5、X线头影测量分析
6、学员实操 头侧描记法
7、头影测量个性化诊断及制定诊疗计划
8、常见头影测量项目及临床意义精讲
9、总结答疑
第二期 进阶 拔牙与非拔牙 (3天)
第一天上午
非拔牙矫治进阶
1、基于第一期基础之上光明前景的托槽粘接程序精华篇
2、弓丝,附件的使用的高效流程
3、排齐过程中防止唇倾的十一大方法及三个方向的细节控制精讲
4、整平过程中的九大方法以及三个方向的精准把控的小技巧
第一天下午
5、种植钉在非拔牙病例中的使用(实操)
6、十个特殊案例精讲
7、方案的制定
8、非拔牙矫治的制胜之道——创造间隙五大方法
9、早期轻力弹性牵引配合bite turbo 使用
10、舒适度提升处理弓丝的临床技巧
11、关于拔牙,不拔牙的思考
第二天上午
拔牙矫治进阶及精讲
1、拔牙矫治程序汇总
2、拔牙时机
3、拔牙病例中关于支抗三方向控制
如何做到拔牙病例不丢支抗
4、拔牙病例的复诊要看的十二大点及要做的事情
5、拔牙病例中种植钉的使用
1.种植支抗的基础知识
2.种植钉的植入技巧与方法
3.种植支抗在正畸中的使用方法
4.种植支抗的临床应用(理论)
5.种植支抗的运用及分析
6.种植支抗的脱落
7.种植钉植入视频解析
第二天下午
5、拔牙矫治中的最常见问题:深覆合 如何不掉入深覆合陷阱以及掉入深覆合陷阱后如何挽救临床十大方法汇总
6、拔牙病例终极流程汇总及换丝顺序
第三天上午
头影测量进阶
1、基于第一期基础上更精准的X线头影测量分析
2、定点 画线 线距 ⻆度 指标意义分析
形成问题清单完成清晰诊断
3、常用难找的点寻找技巧
4、tweed 三⻆分析法
5、以目标为导向的治疗计划
第三天下午
高效矫治
1、关于推磨⽛向后的思考
2、推磨⽛向后的禁忌症
3、临床上低位尖⽛牵引的操作
4、临床提⾼固定矫治器舒适度的技巧
5、关于过⼭车效应的解析
6、最佳的矫治时机浅谈
7、自锁托槽在临床上的使⽤
8、如何利⽤种植钉在正畸临床上实现率变得更⾼
9、总结答疑
第三期早期矫治的开展 以及成人二类三类的处理(3天)
第一天上午
早期矫治 三类反合
反颌的早期矫治病因学
1、乳牙反合的早期矫治
2、替牙期牙性反颌的矫治
3、替牙期牙性反颌的矫治
4、乳牙列,替牙期单侧磨牙反颌的矫治(理论+实操)
5、反颌矫治后的多种不同保持与具体方法(理论)
6、儿牙反颌的洽谈(理论)
生长发育颈椎分析法描记(实操)
7、不良习惯的产生及影响
8、不良习惯的阻断
9、肌肉功能的训练
10、反合的早期预防及矫治
11、咬合诱导
第一天下午
三类成人反合专场
1、恒牙列反合(理论)
2、反合难易程度诊断(理论)
3、反合手术标准(理论)
4、反合洽谈方法(实际案例分享)
5、反合的矫正思路
非拔牙矫治
三类拔牙矫治的流程及注意事项
6、反合病因
7、反合的代偿治疗
8、反合的手术治疗
9、各个时期反合的保持
第二天上午
上颌骨专场
二类的早期矫治
1、二类病因
2、二类上颌前突 ⻣性,牙性的分别对策(实操)
3、二类下颌后缩的治疗时机与方法(实操)
低角下颌后缩的干预治疗
高角下颌后缩的干预治疗
4、二类二分类的早期措施(理论)
5、2X4 矫治方法的临床技巧要点(实操)
口外弓的使用与实操
6、门诊开展二类策略及医患沟通
7、二类早期矫治的原则和适应症
8、如何配合X线头影测量分析早期矫治的类型
第二天下午
二类成人专场
1、二类不拔牙矫治方法
推磨牙向后的具体方法
2、拔牙减数矫治二类的五种拔牙模式(具体案例全程解析)
上四下一的拔牙模式
四个四的拔牙模式
上四下五的拔牙模式
四个五的拔牙模式
3、成人二类的矫治程序与矫治思路
4、成人二类病例的洽谈和治疗中强化信任的技巧
5、二类的保持实用技巧
6、总结答疑
第三天
青少年及一类专场
1、⼀类青少年早期矫治的具体⽅法
2、2X4早期矫治的⽅法(实操)
3、青少年颜⾯管理总述
4、咬合诱导的分析与讲解
5、全周期颜⾯管理具体时间表汇总
6、3-6岁 6-8岁 8-10 岁 10-12岁各个年龄段⼉⽛早矫具体矫治⽅向总结
第四期 头影测量点的进阶板块 难度 开合 深覆合学习(3天)
第一天上午
牙列拥挤
1、牙列拥挤病因及概述
2、青少年推磨⽛向后与成⼈推磨⽛向后的解析
3、牙列拥挤的临床解决⽅案
尖牙问题
4、尖⽛阻⽣的早期萌出评估
5、尖⽛阻⽣的牵引方法
6、关于尖牙错位的拔牙模式解析
7、埋伏⽛的矫治,诊断设计与思路
第一天下午
深覆合、深覆盖
1、深覆合的病因及概述
2、深覆合的病因
3、⽛性深覆合与⾻性深覆合鉴别
4、⽛型青少年深覆合的临床处理办法
5、牙型成⼈深覆合的临床解决案例解析
6、骨性深覆合的临床处理⽅法
7、⼆类⼆分类的临床操作
8、前突型深覆合的病因
9、前突型深覆合的临床解决⽅案
10、成⼈骨性⼆类如何获得更加面型的临床操作思路
第二天上午
拔牙方案设计篇
1、⼀类的拔⽛矫治七种治疗⽅案及适应症
2、⼆类的拔⽛矫治⼋种拔⽛治疗⽅案及适应症
3、三类拔⽛矫治七种拔⽛治疗⽅案及分别适应症
4、拔⽛减数治疗中的关键点
第二天下午
总则
1、决定矫治方案时常用的软、硬组织指标
2、决定前牙唇倾度的两个重要硬组织特征
3、关于拔牙不拔牙的思考
4、正畸失败案例分析
第三天上午
开合、偏颌、反合精讲
1、开合系统性精讲及案例分析
2、偏颌系统性精讲及案例分析
3、反合系统性精讲及案例分析
正畸的最高境界——关于保持
4、托槽的拆除
5、⾆侧保持丝的制作
6、各种不同类型错合畸形的特殊保持⽅法
7、正畸的最⾼境界:如何做到⼀个病例不反弹?⽆需终⾝保持的保持
第三天下午
正畸的接诊流程
1、正畸的接诊流程
2、如何留住正畸患者
3、针对未成交的如何处理
4、已有患者如何滚动起来
5、正畸的洽谈思路
总结
6、临床正畸操作⼗八项小技巧
7、系统化十二期课程总结汇总
8、总结答疑
[收费标准】(此价格为税前价,开票需另外收6%的税点,开具正规“牙科咨询费”发票,合法很重要!)
单期收费价格:4300元
4期联报价格:14800元
(不接受现场报名)








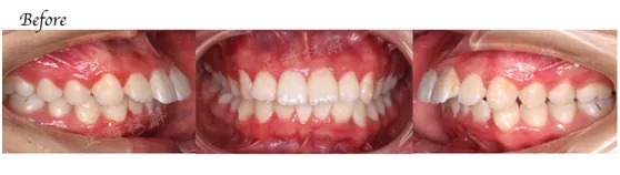
课程回顾

微信公众号:kq88_com
扫码关注 获得更多精彩
KQ88口腔网校,欢迎点击下方“阅读原文”来逛逛。