

苏州大学团队(共同第一作者:邓耀格(Yaoge Deng)、侯明壮(Mingzhuang Hou)、吴宇斌(Yubin Wu);通讯作者:杨惠林(Huilin Yang)、张宜建(Yijian Zhang)、朱雪松(Xuesong Zhu))在《Bone Research》发表重磅研究,题为《SIRT3-PINK1-PKM2 axis prevents osteoarthritis via mitochondrial renewal and metabolic switch》。该研究首次证实,SIRT3-PINK1-PKM2 轴通过去乙酰化激活线粒体自噬、调控丙酮酸激酶 M2(PKM2)磷酸化与亚细胞定位,实现线粒体更新与代谢转换双重保护,为骨关节炎提供全新靶向治疗策略。

先看背景:骨关节炎研究的 3 大核心瓶颈,研究如何逐个突破?
在骨关节炎与线粒体代谢调控领域,学界长期面临三大壁垒,该研究针对性实现突破:
第一个瓶颈是线粒体自噬的调控机制不明。已知线粒体损伤参与 OA 进展,但线粒体更新的上游调控分子与下游效应通路尚未明确锁定。
第二个瓶颈是代谢转换的核心分子缺失。软骨细胞能量代谢存在 “糖酵解 - 氧化磷酸化” 转换需求,但调控这一过程的关键分子及与线粒体稳态的协同机制尚未解析。
第三个瓶颈是靶向治疗的精准性不足。现有研究多聚焦单一环节干预,缺乏同时调控线粒体功能与代谢稳态的核心调控轴,临床转化效果有限。
而该研究恰恰在这三方面实现关键突破:首先,明确 SIRT3 通过去乙酰化激活 PINK1,启动线粒体自噬清除损伤线粒体;其次,证实 PINK1 直接磷酸化 PKM2(Ser127 位点),维持其活性四聚体形式,抑制核移位与 β- 连环蛋白相互作用,驱动代谢转换;最后,通过双敲除小鼠模型验证 SIRT3-PINK1-PKM2 轴的核心保护作用,为精准干预提供完整靶点链。
第一层总结:此前研究要么 “未明确线粒体自噬的上游调控分子”,要么 “割裂代谢转换与线粒体稳态的协同关系”,要么 “缺乏多环节调控的核心轴靶点”;这次团队用 “去乙酰化 - 磷酸化修饰” 解析双重调控机制,用 “线粒体自噬 - 代谢转换” 构建双重保护体系,用 “基因敲除 + 过表达” 验证调控轴功能,让骨关节炎治疗从 “单一靶点干预” 升级为 “轴靶向 - 多效保护” 的全新范式。

再拆核心逻辑:骨关节炎的 “机制解析 - 功能验证 - 轴鉴定” 三维体系
研究从线粒体稳态调控、代谢转换机制到核心轴功能验证层层递进,每个环节附核心结论:
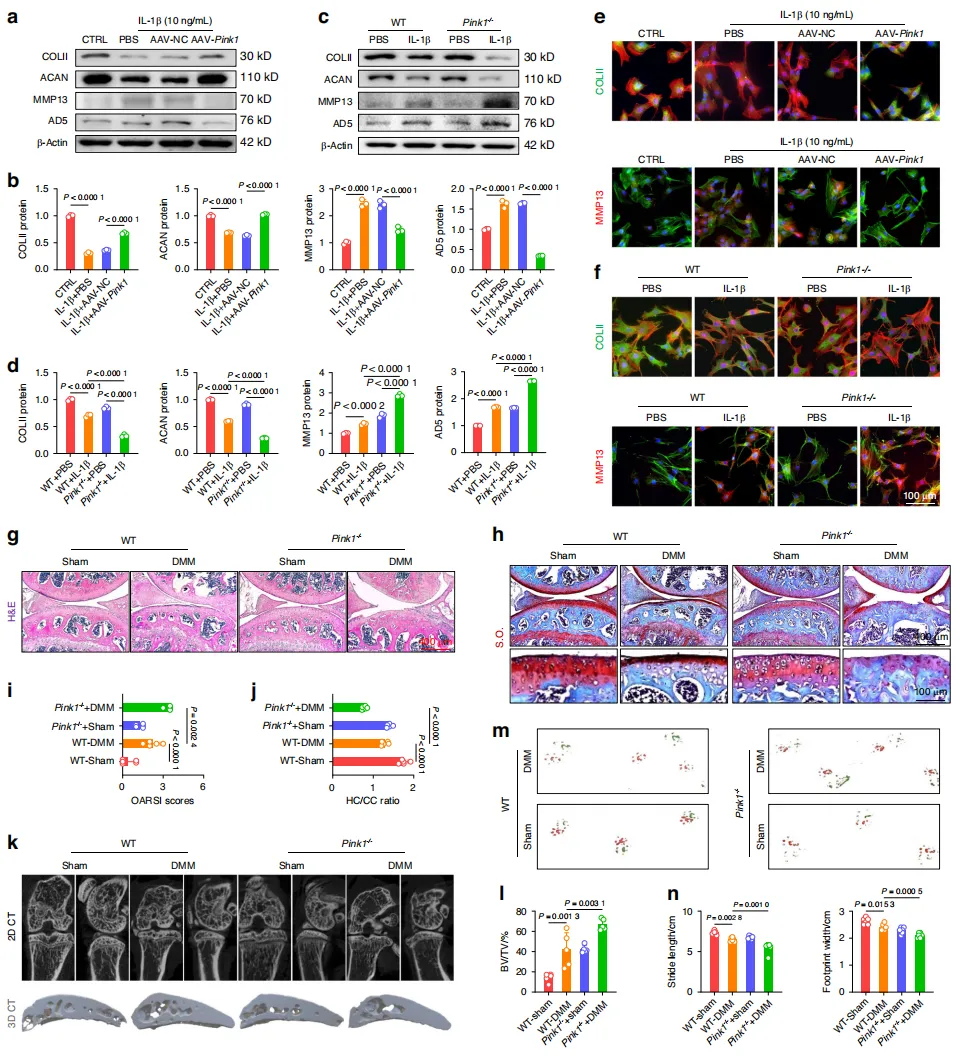
1. 核心机制一:SIRT3-PINK1 介导线粒体自噬,清除损伤线粒体
核心发现:
小结:首次明确 SIRT3-PINK1 是 OA 中线粒体自噬的核心调控通路,其功能缺失是线粒体稳态失衡的关键原因。
2. 核心机制二:PINK1-PKM2 调控代谢转换,提升能量供应
核心机制链:
关键验证:
小结:完整解析 “PINK1-PKM2 磷酸化 - 亚细胞定位 - 代谢转换” 的调控链条,首次揭示 PKM2 是连接线粒体稳态与能量代谢的关键分子。
3. 核心调控轴:SIRT3-PINK1-PKM2 轴守护关节稳态
核心验证结果:
小结:SIRT3-PINK1-PKM2 轴通过 “线粒体自噬清除损伤线粒体 + 代谢转换提升能量供应” 双重机制,成为守护软骨稳态的核心调控网络,其功能缺失是 OA 进展的关键驱动力。
第二层总结:核心逻辑链条是 “OA 发生→SIRT3 下调→PINK1 乙酰化失活→线粒体自噬受阻 + PKM2 核移位→线粒体损伤累积 + 代谢紊乱→软骨细胞功能失效→C-ECM 丢失→OA 进展”,而激活 SIRT3 可逆转这一 cascade,通过 PINK1 介导的线粒体更新与 PKM2 调控的代谢转换,实现软骨细胞双重保护,构建 “去乙酰化 - 线粒体自噬 - 磷酸化 - 代谢转换” 的完整调控体系,完美解答 “如何协同守护线粒体稳态与代谢平衡” 的核心科学问题。

最后谈价值:从机制突破到临床转化的 3 重意义
1. 科研层面:建立线粒体 - 代谢协同调控的新范式
首次证实 SIRT3-PINK1-PKM2 轴是 OA 中 mitochondrial 稳态与代谢转换的核心调控网络,填补 “线粒体自噬 - 代谢协同” 的研究空白;
明确 PINK1 的去乙酰化激活机制与 PKM2 Ser127 位点磷酸化的功能意义,为线粒体代谢调控研究提供全新理论框架。
小结:推动骨关节炎研究从 “单一病理环节描述” 向 “多分子 - 多通路协同调控” 深入,拓展线粒体生物学在退行性疾病中的研究边界。
2. 临床层面:提供精准靶向治疗新策略
SIRT3 激活剂、PINK1 激动剂或 PKM2 四聚体稳定剂可直接靶向该调控轴,为 OA 治疗提供多维度分子靶点;
该轴同时调控线粒体更新与代谢转换,相比单一靶点干预,具有更全面的保护效果,可有效延缓甚至逆转软骨退变。
小结:临床转化路径清晰,为 OA 提供 “轴靶向 - 多效保护” 的精准治疗方向,改变传统治疗 “对症缓解” 的局限。
3. 技术延伸:拓展代谢 - 线粒体调控在退行性疾病中的应用
适配场景:可推广至椎间盘退变、骨质疏松等其他线粒体代谢异常相关疾病,为多器官退行性疾病的通用治疗提供新思路;
技术延伸:为开发 “靶向 SIRT3-PINK1-PKM2 轴的纳米药物” 或 “线粒体靶向递送系统” 提供理论支撑,拓展精准医疗在 musculoskeletal 疾病中的应用范围。
小结:价值远超骨关节炎领域,其 “去乙酰化 - 磷酸化 - 亚细胞定位 - 代谢转换” 的调控模式可迁移至多个退行性疾病,具备广泛的科学价值与转化潜力。
第三层总结:该研究实现了 “核心调控分子鉴定 + 双重机制解析 + 调控轴功能验证” 的三重突破,不仅首次阐明 SIRT3-PINK1-PKM2 轴是守护软骨稳态的关键网络,更揭示了 “线粒体自噬 - 代谢转换” 协同保护的创新机制,打破了传统单一环节干预的局限,为骨关节炎提供兼具科学深度与转化价值的全新靶向方向,推动退行性关节疾病研究进入 “轴靶向 - 多效保护” 的精准时代。

全文总结
苏州大学团队通过临床样本、细胞实验及动物模型验证,证实 SIRT3-PINK1-PKM2 轴是骨关节炎的核心保护调控网络。SIRT3 通过去乙酰化激活 PINK1,启动线粒体自噬清除损伤线粒体,实现线粒体更新;同时 PINK1 直接磷酸化 PKM2 的 Ser127 位点,维持其活性四聚体形式,抑制核移位与 β- 连环蛋白相互作用,驱动代谢从糖酵解向有氧呼吸转换,提升能量供应。该轴功能缺失会导致线粒体损伤累积与代谢紊乱,加剧软骨细胞功能失效与 C-ECM 丢失;而激活该轴可显著改善 OA 病理表型,保护关节结构与运动功能。该研究填补了线粒体稳态与代谢协同调控的研究空白,为骨关节炎提供了 “轴靶向 - 多效保护” 的精准治疗新范式,兼具重要科学价值与临床转化潜力。
基础研究合集
临床研究合集
机制综述合集
借鉴研究合集
期刊介绍与投稿经历合集