
近日,苏州大学附属第一医院心血管内科蒋廷波教授、钱晓东教授联合超声科等多学科,成功完成一例经股K-Clip®系统临床试验入组。本例手术的成功入组,不仅展现了团队在复杂结构心脏病介入诊疗中的深厚积淀,也为后续更多患者的入组与疗效评估奠定了坚实基础。
三尖瓣反流(TR)作为一种临床常见的心脏瓣膜疾病,常因右心系统扩大、瓣环扩张等因素导致,尤其在高龄、合并心力衰竭、肺动脉高压等多系统疾病的患者中,治疗尤为棘手。传统外科三尖瓣手术虽疗效明确,但创伤大、恢复周期长,对患者全身状态要求较高,许多高危患者因此失去手术机会。近年来,经导管三尖瓣介入治疗逐渐成为该领域的热点方向,旨在通过微创方式为无法耐受开胸手术的患者提供有效治疗。
K-Clip®经导管三尖瓣环成形系统作为国内自主研发的创新医疗器械,采用独特的生理性环缩设计,在不损伤原生瓣叶结构的前提下,实现瓣环的精准重塑与功能修复。全新系统通过经股静脉完成介入治疗,实现了从特殊路径向主流标准的重要进化。它采用临床医生最熟悉的经股入路,可显著降低操作技术门槛与学习曲线。同时,也避开了传统开放手术的创伤大、恢复慢等弊端,为患者术后快速康复奠定了基础,这已成功案例,既是团队技术实力的有力佐证,也进一步印证了K-Clip®技术在复杂三尖瓣病变治疗中的临床价值。

患者情况
患者男性,80岁。
经心脏彩超提示:1.左右心房及右室增大;2.二尖瓣轻度反流;3.三尖瓣重度反流;4.左室舒张功能减退;5.右房压增高;6.卵圆孔未闭;7.微量心包积液。
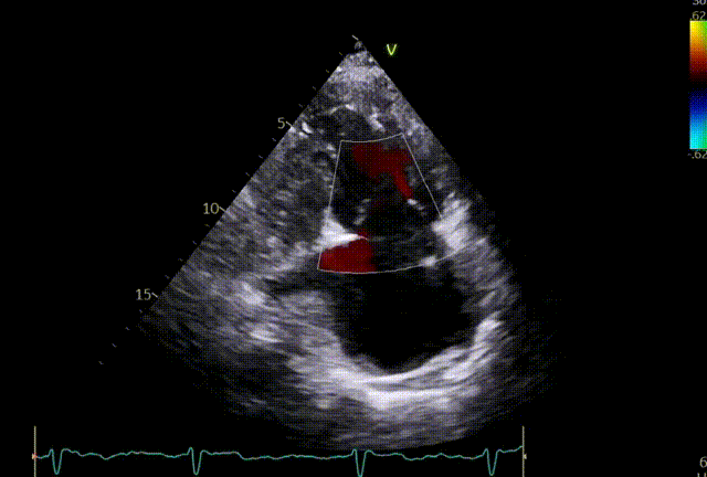
超声评估:1.三尖瓣关闭不全,重度反流(5+);2.反流口位于前隔、中央;3.三尖瓣环扩张(平均瓣环径:43.5mm)。

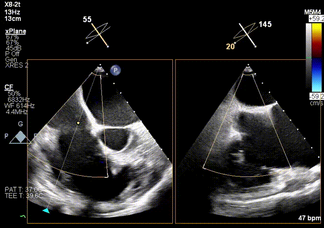
超声基线
CTA评估:1.三尖瓣周长:14.7cm,面积:16.6cm²;2.最大径:52.6mm;3.RCA:右冠脉走形偏瓣环侧,舒张期TA-RCA最小距离为2.85mm,术中锚定与夹合冠脉风险低;4.最佳透视投影:三尖瓣短轴 CAU8LAO60;

手术策略
钱晓东教授立足心脏解剖学研究与微创介入技术的长期深耕经验,整合术前超声与CT多模态影像学评估数据,为患者量身定制个体化介入治疗策略。拟定三尖瓣后隔交界区及前后瓣交界区采用双夹策略,分别植入2枚12T K-Clip®。
手术过程
患者全麻后,术中穿刺股静脉建立通路,将23Fr输送鞘沿加硬导丝送至右心房中上段,在超声指引下送入输送系统,于夹合后隔交界瓣环、前后交界瓣环处分别采用2枚12T型号的夹子,通过控弯和旋转调整器械与瓣环平面的角度关系,使夹合部件头端指向目标靶位。超声MPR模式在瓣环处攻入锚定部件,牵拉稳定后打开夹持臂并贴靠瓣环,随后提拉锚定部件关闭夹持臂,对瓣环进行环缩。评估手术效果满意,解离夹合部件。
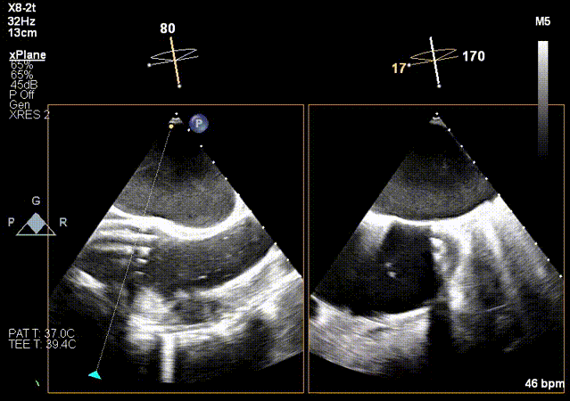
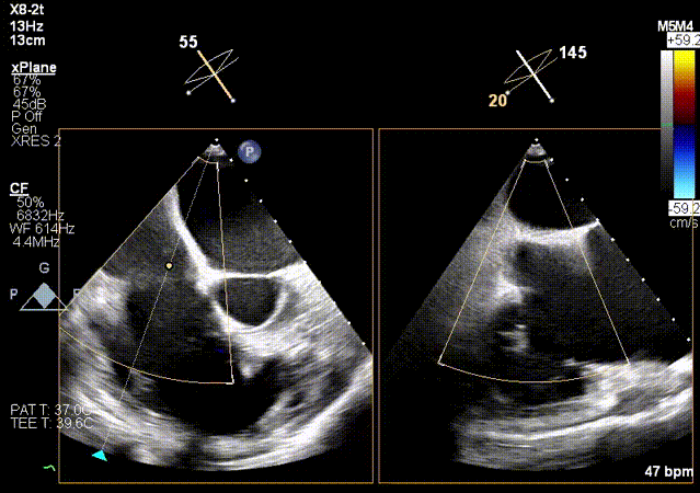
1.输送系统经IVC进入RA。

输送系统经IVC进入RA
2.超声X-Plane以及实时3D下观察输送系统头端指向目标靶位。

X-Plane

实时3D
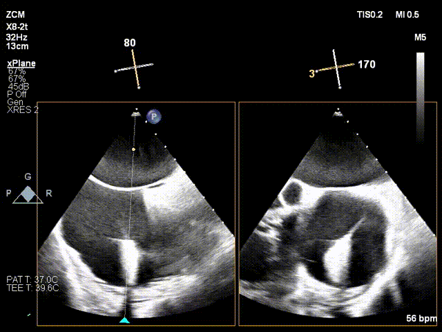
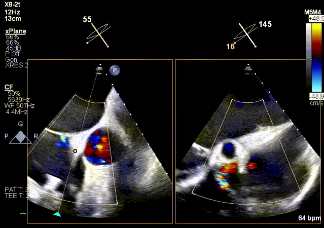
3.超声MPR模式下攻入锚定部件。

MPR下攻入锚定部件
4.打开夹臂调整Orientation后贴靠瓣环。

打开夹臂后调整轴向并贴靠瓣环
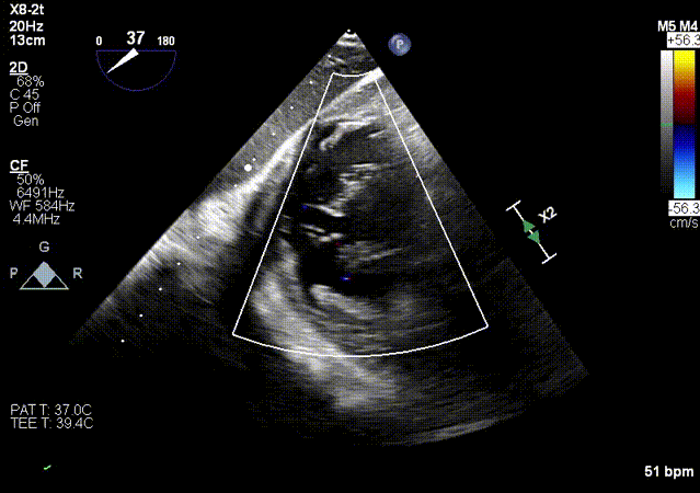
5.关闭夹子后超声评估。

术前

植入第一枚夹子后
6.第二枚夹子同样步骤。

第二枚夹子
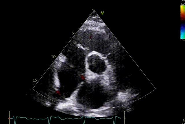
手术效果
1.反流效果:重度5+下降至轻度1+。

术前

术后
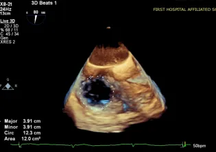
2.缩环效果:


3.冠脉血运评估:

术前DSA

术后DSA
术后1月回访
患者症状改善明显,反流程度为维持1+。


术者评语
本例患者为重度三尖瓣反流,既往有右冠状动脉支架植入史,且右冠状动脉距离三尖瓣位置较近,超声评估显示其结构复杂,传统外科手术风险显著。经导管三尖瓣修复系统可以在不停跳、不体外循环的条件下,颈静脉途径完成瓣环修复,创伤小、恢复快,为此类患者提供了新的治疗选择。经过蒋廷波教授、钱晓东教授团队通过充分的术前讨论,结合心脏超声、CT等多模态影像评估,制定了个体化手术方案。术中在实时经食道超声精准引导下,顺利经股静脉送入K-Clip®系统,完成瓣环环缩与成形操作。术后即刻超声提示三尖瓣反流显著减轻,右冠状动脉造影正常,患者血流动力学状态稳定。
此例手术的顺利完成,充分展现了K-Clip®系统在经股入路治疗三尖瓣反流中的安全性和有效性。随着该临床研究的持续推进,K-Clip®有望为更多高龄、高危、多合并症的三尖瓣反流患者提供一种微创、安全且有效的治疗新选择,进一步推动我国在三尖瓣介入治疗领域的自主创新与临床转化。
专家简介

蒋廷波
苏州大学附属第一医院(点击查看专家详细简历)


钱晓东
苏州大学附属第一医院(点击查看专家详细简历)


扫码进入汇禾医疗学术专栏
了解更多精彩内容
· END ·

版权及免责声明:严道医声网旨在搭建学术传播及媒体发声平台,文内信息版权属于持有人,我们只提供传递信息之用。如有侵权,请联系我们删除。
点击 “阅读原文” 进入 “汇禾医疗学术专栏”