南京医科大学2026年1月斩获Nature子刊,胶质母细胞瘤免疫抑制新机制:TAM来源乳酸介导KU70 K317乳酸化调控cGAS-STING信号轴及抗肿瘤免疫
胶质母细胞瘤(GBM)是恶性程度最高的原发性脑肿瘤,肿瘤微环境(TME)免疫抑制是其治疗抵抗和预后极差的核心原因。南京医科大学团队在《Nature Cell Biology》发表研究,揭示了 TME 中肿瘤相关巨噬细胞(TAMs)与 GBM 干细胞(GSCs)的代谢串扰新机制:TAMs 通过单羧酸转运体 4(MCT4)分泌乳酸,GSCs 通过 MCT1 摄取该乳酸,诱导非同源末端连接蛋白 KU70 的 317 位赖氨酸(K317)乳酸化。该修饰不仅增强 GSCs 的 NHEJ 修复能力和干细胞特性,还抑制 cGAS-STING 信号通路激活,削弱抗肿瘤免疫。靶向 MCT1/MCT4 转运或 KU70 K317 乳酸化,联合 PD-1 抑制剂可显著增强 GBM 模型的治疗效果。该研究为打破 GBM 免疫抑制微环境、开发新型联合治疗策略提供了重要理论依据和潜在靶点。
《NATURE CELL BIOLOGY》是细胞生物学领域的顶尖期刊,创刊于1999年,由Springer Nature (Nature Portfolio)出版。作为《自然》(Nature)旗下的旗舰子刊之一,NATURE CELL BIOLOGY致力于发表细胞生物学领域内具有重大原创性和广泛影响力的高质量研究成果。期刊的收稿范围非常广泛,几乎涵盖了细胞生物学的所有分支,特别鼓励那些能够深入阐明细胞基本生命过程分子机制的研究。与一些期刊可能更注重现象发现不同,NATURE CELL BIOLOGY特别看重研究的机制深度,要求对生物学现象背后的分子通路有深入、清晰的解析。最新影响因子达19.5,五年影响因子为22.8。WOS期刊JCR分区位于CELL BIOLOGY学科Q1,JIF排名为9/204。中科院期刊分区位于细胞生物学一区,列入TOP期刊系列。胶质母细胞瘤(GBM)是中枢神经系统最常见的恶性肿瘤,具有侵袭性强、增殖迅速、治疗抵抗等特征,即使经过手术联合放化疗,患者中位生存期仅 14-16 个月,5 年生存率不足 5%。肿瘤微环境(TME)的免疫抑制特性是 GBM 治疗失败的关键因素,其中肿瘤相关巨噬细胞(TAMs)是 TME 中最主要的免疫细胞群体,通过分泌细胞因子、代谢物等重塑免疫抑制微环境,促进肿瘤进展。
乳酸作为糖酵解的关键代谢产物,在肿瘤代谢重编程中扮演重要角色,其通过单羧酸转运体(MCTs)跨膜转运,参与调控肿瘤细胞增殖、血管生成和免疫抑制。已有研究表明,肿瘤细胞来源的乳酸可诱导 TAMs 向促肿瘤表型极化,但 TAMs 与 GBM 干细胞(GSCs)之间的乳酸代谢串扰机制尚不明确。此外,乳酸介导的蛋白质乳酸化作为一种新型翻译后修饰,已被证实参与 DNA 损伤修复和基因表达调控,但在 GBM 中,乳酸化如何调控 GSCs 的干细胞特性和免疫信号通路,仍缺乏深入研究。
现有 GBM 免疫治疗(如 PD-1 抑制剂)疗效有限,主要原因是 TME 中 cGAS-STING 等天然免疫信号通路被抑制,导致抗肿瘤 T 细胞应答不足。因此,阐明 TME 中乳酸代谢及乳酸化修饰调控 GSC 功能和免疫抑制的分子机制,有望为开发新型联合免疫治疗策略提供突破口。
首先通过单细胞 RNA 测序(scRNA-seq)和 TCGA 数据库分析,筛选 GBM 中 TAMs 和 GSCs 特异性表达的乳酸转运体,明确 MCT4(TAM)和 MCT1(GSC)的高表达特征及临床预后相关性;
利用体外共培养、同位素标记乳酸摄取实验和基因敲低 / 回补技术,验证 TAMs 通过 MCT4 分泌乳酸、GSCs 通过 MCT1 摄取乳酸的方向性转运机制;
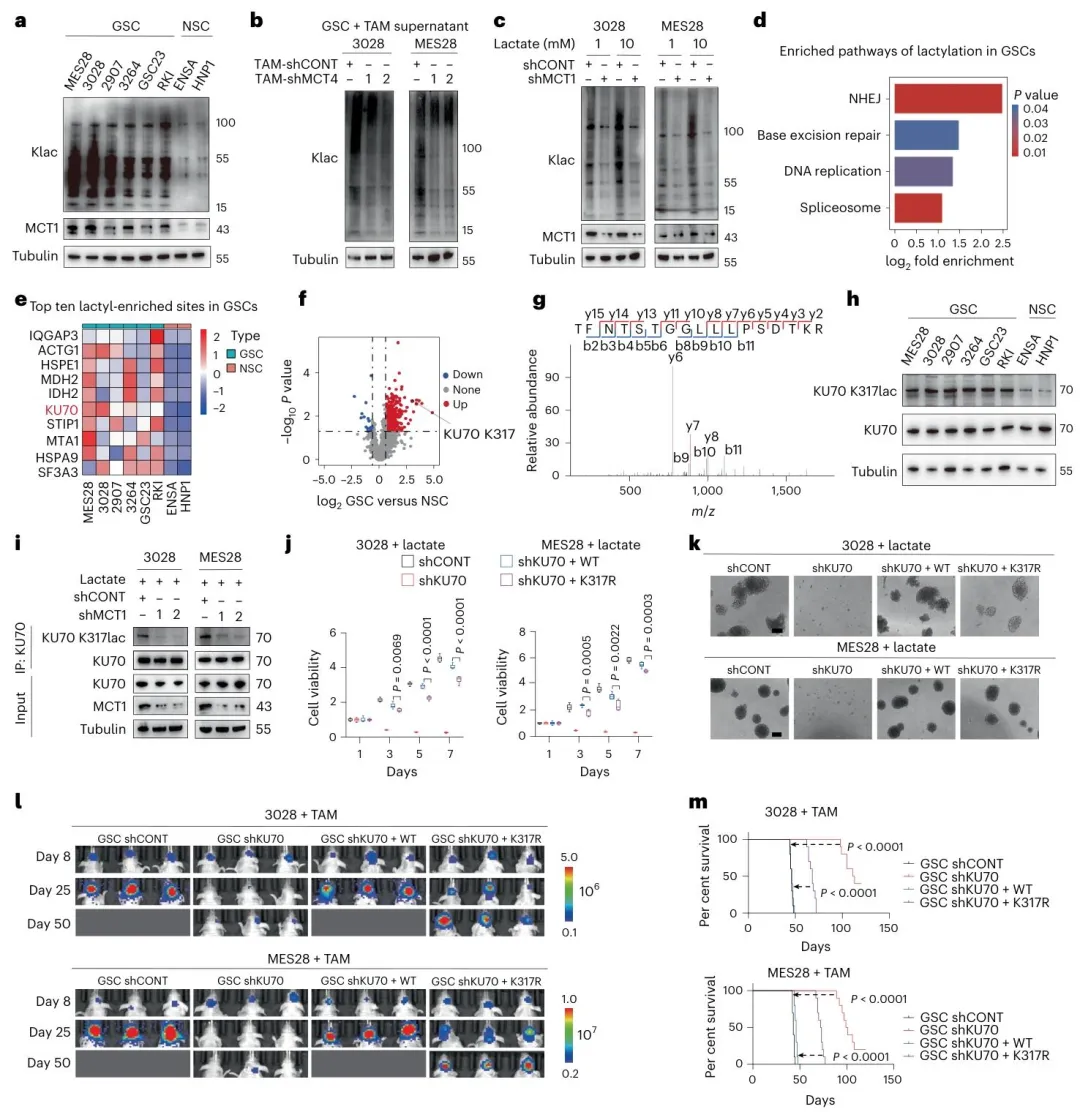
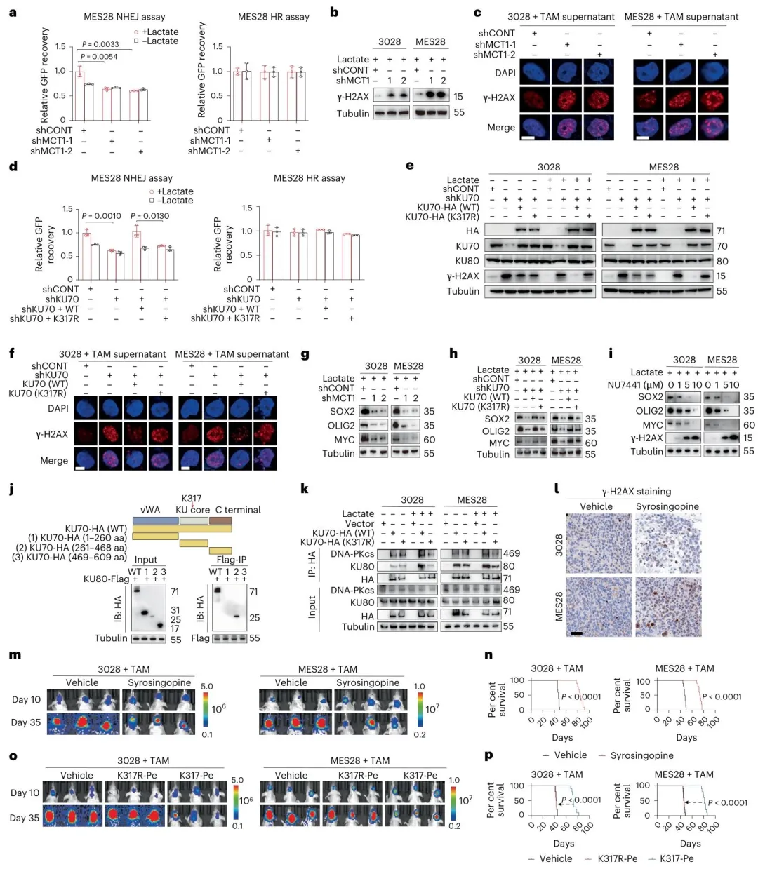
结合质谱分析鉴定 GSC 中乳酸化修饰的核心靶点,聚焦 NHEJ 通路蛋白 KU70,通过位点突变、免疫沉淀等实验,明确 KU70 K317 是关键乳酸化位点,且该修饰由 P300 催化;
深入探究 KU70 K317 乳酸化的功能:通过 NHEJ/HR 报告基因、免疫荧光、Western blot 等,证实其增强 GSC 的 NHEJ 修复能力和干细胞特性,同时抑制 cGAS-STING-IFN 信号通路;
最后在免疫活性和免疫缺陷 GBM 模型中,验证靶向 MCT1/MCT4 转运、KU70 K317 乳酸化联合 PD-1 抑制剂的治疗效果,为临床转化提供依据。
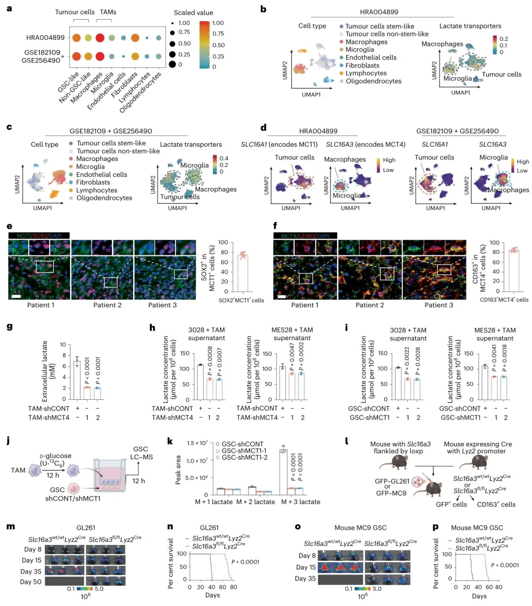
明确了 TAM 与 GSC 间乳酸转运的分子基础:TAMs 高表达 MCT4(SLC16A3),是乳酸的主要分泌者;GSCs 高表达 MCT1(SLC16A1),是乳酸的主要摄取者,MCT1/MCT4 的表达水平与 GBM 患者不良预后相关。
证实了乳酸转运的功能意义:体外实验显示,TAM 来源的乳酸可促进 GSC 增殖、神经球形成和干细胞标志物表达;体内实验中,髓系细胞特异性敲低 Slc16a3 或 GSC 敲低 SLC16A1,均能显著减少肿瘤组织中的乳酸积累,抑制肿瘤生长,延长荷瘤小鼠存活期。
阐明了乳酸调控 GSC 功能的分子机制:TAM 来源的乳酸诱导 GSC 中 KU70 的 K317 位乳酸化,该修饰促进 KU70 与 KU80、DNA-PKcs 的结合,增强 NHEJ 修复效率,减少 DNA 损伤积累;同时,KU70 K317 乳酸化抑制细胞质 dsDNA 激活的 cGAS-STING 信号通路,降低 IFN-α/IFN-β 分泌,削弱 CD8+ T 细胞介导的抗肿瘤免疫。
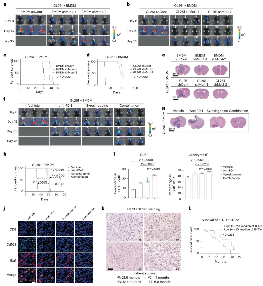
验证了联合治疗策略的有效性:在 GBM 模型中,MCT1/MCT4 抑制剂(叙利亚芸香碱)或 KU70 K317 乳酸化靶向肽,与 PD-1 抗体联合使用,可显著增强 CD8+ T 细胞浸润和细胞毒性,抑制 TAM 的促肿瘤表型,较单一治疗显著延长小鼠存活期,且人 GBM 样本中 KU70 K317 乳酸化高表达与不良预后相关。
Figure 1:GSCs 和 TAMs 的乳酸代谢及转运体特征scRNA-seq 分析显示 TAMs 高表达糖酵解通路和乳酸转运体 MCT4(SLC16A3),GSCs 高表达 MCT1(SLC16A1);免疫荧光证实 MCT1 与 GSC 标志物 SOX2、MCT4 与 TAM 标志物 CD163 共定位;敲低 TAMs 的 MCT4 或 GSCs 的 MCT1 均显著减少乳酸从 TAM 向 GSC 的转运;髓系细胞特异性敲低 Slc16a3(MCT4 编码基因)可抑制 GBM 肿瘤生长,延长模型小鼠存活期。
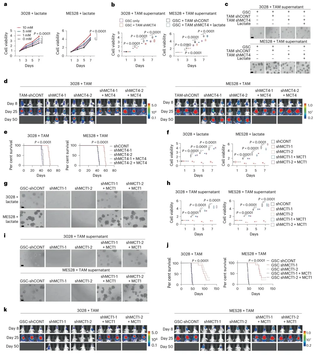
Figure 2:MCT1-MCT4 介导的 GSCs 与 TAMs 间乳酸转运支持 GSC 增殖外源性乳酸以剂量依赖方式促进 GSC 增殖,其他 MCT1 转运底物无此效应;敲低 TAMs 的 MCT4 可降低其 supernatant 对 GSC 增殖的促进作用,外源性乳酸或 MCT4 回补可逆转该效应;敲低 GSCs 的 MCT1 可阻断乳酸诱导的增殖和神经球形成,MCT1 回补可恢复;体内实验证实,敲低 MCT1 或 MCT4 均能抑制肿瘤生长,延长荷瘤小鼠存活。
Figure 3:TAM 来源乳酸通过诱导 DNA 损伤修复蛋白 KU70 K317 乳酸化促进 GSC 增殖GSCs 的乳酸化水平显著高于正常神经干细胞(NSCs),敲低 MCT4 或 MCT1 可降低 GSC 的乳酸化水平;质谱分析鉴定到 NHEJ 通路蛋白 KU70 的 K317 位为关键乳酸化位点,该位点乳酸化在 GSCs 中特异性富集;敲低 KU70 或表达 KU70 K317R 突变体(无法乳酸化)可抑制 GSC 增殖和肿瘤形成,KU70 WT 回补可恢复;P300 是 KU70 K317 乳酸化的关键催化酶,CBP/KAT2B 不参与该修饰。
Figure 4:KU70 K317 乳酸化增强 NHEJ 功能并维持 GSC 干细胞特性敲低 MCT1 可削弱 GSC 的 NHEJ 修复能力,增加 γ-H2AX(DNA 损伤标志物)积累;KU70 K317 乳酸化可促进 KU70 与 KU80、DNA-PKcs 的结合,增强 NHEJ 复合物组装;敲低 MCT1 或表达 KU70 K317R 可降低 GSC 干细胞标志物 SOX2、OLIG2、MYC 的表达;NHEJ 抑制剂 NU7441 或 MCT1/MCT4 抑制剂叙利亚芸香碱(syrosingopine)可抑制 GSC 干细胞特性和肿瘤生长;靶向 KU70 K317 乳酸化的细胞穿透肽可延长荷瘤小鼠存活。
Figure 5:KU70 K317 乳酸化抑制 cGAS-STING 信号并维持免疫抑制性 TME敲低 MCT1、KU70 或表达 KU70 K317R 可激活 GSC 的 cGAS-STING 信号通路,增加 IFN-α/IFN-β 分泌;TCGA 数据库分析显示 MCT1 表达与 CD8+ T 细胞特征呈负相关;敲低小鼠胶质瘤细胞 GL261 的 Mct1 可降低 Ku70 乳酸化,激活 cGAS-STING 信号;Slc16a3 条件敲除小鼠模型中,TAM 分泌乳酸减少,GSC 干细胞特性降低,肿瘤组织中 CD8+ T 细胞浸润增加,巨噬细胞数量减少。
Figure 6:乳酸转运体抑制剂联合 PD-1 抗体在 GBM 模型中的治疗效果敲低 BMDMs 的 Mct4 或 GL261 的 Mct1 可延长免疫活性 GBM 模型小鼠的存活期;叙利亚芸香碱(MCT1/MCT4 抑制剂)联合 PD-1 抗体治疗可显著抑制肿瘤生长,增强 CD8+ T 细胞浸润和颗粒酶 B 分泌,降低 TAM 丰度;人 GBM 样本免疫组化显示 KU70 K317 乳酸化高表达与患者不良预后相关;KU70 K317 肽联合 PD-1 抗体可显著改善荷瘤小鼠存活。
本研究首次揭示了 TAM 与 GSC 之间通过 MCT1-MCT4 介导的乳酸转运,以及 KU70 K317 乳酸化调控 GBM 干细胞特性和免疫抑制微环境的双重机制,为理解 GBM 的代谢重编程与免疫逃逸的关联性提供了新视角。研究明确了 MCT1/MCT4 转运体和 KU70 K317 乳酸化作为 GBM 免疫治疗的潜在靶点,证实了 “乳酸转运抑制 / KU70 乳酸化靶向 + PD-1 抑制剂” 的联合治疗策略的有效性,为临床开发 GBM 新型治疗方案提供了重要理论依据和实验基础。
研究缺陷
临床转化层面:研究主要基于细胞系和小鼠模型,缺乏大规模临床样本的验证,KU70 K317 乳酸化作为预后标志物的临床价值仍需进一步确认;靶向 MCT1/MCT4 的抑制剂(如叙利亚芸香碱)和 KU70 K317 靶向肽的药代动力学、毒性及临床适用性,需更多临床前研究支持。
机制探索深度:研究聚焦于 KU70 K317 乳酸化,未深入探讨 TAM 来源乳酸是否还通过修饰其他蛋白质调控 GBM 进展;此外,P300 催化 KU70 K317 乳酸化的上游调控因素(如乳酸如何激活 P300)尚未明确。
免疫调控的复杂性:研究主要关注 CD8+ T 细胞和 TAMs,TME 中其他免疫细胞(如调节性 T 细胞、树突状细胞)是否参与该机制,以及乳酸代谢与其他免疫检查点(如 CTLA-4、LAG3)的相互作用,仍需进一步探索。
参考文献
Li D, Cui G, Yang K, Lu C, Jiang Y, Zhang L, Wu Q, Dixit D, Zhu Z, Gimple RC, Gu D, Gao J, Lin Q, Yu H, Shi Z, Chen Y, Wang Q, Jin G, Lin F, Shao J, Zhou Q, Liu C, Li C, You Y, Zhang N, Zhang J, Qian X, Zhang Q, Rich JN, Wang X. Inhibiting macrophage-derived lactate transport restores cGAS-STING signalling and enhances antitumour immunity in glioblastoma. Nat Cell Biol. 2026 Jan 6. doi: 10.1038/s41556-025-01839-y. Epub ahead of print. PMID: 41495200.
