当前位置:首页>南京>南京鼓楼医院神经内科团队发表磁共振成像在多发性硬化评估及鉴别诊断中的价值研究综述

南京鼓楼医院神经内科团队发表磁共振成像在多发性硬化评估及鉴别诊断中的价值研究综述

  • 2026-05-09 06:59:38
南京鼓楼医院神经内科团队发表磁共振成像在多发性硬化评估及鉴别诊断中的价值研究综述
多发性硬化(MS)是免疫介导的中枢神经系统炎性脱髓鞘疾病,目前MS的诊断尚无特异性标志物,MRI在其疾病进展和鉴别诊断中具有独特价值。常规MRI检查可观察到MS脱髓鞘病灶,根据病灶的分布特征、大小等进行诊断或评估,但对于一些隐匿性或常规MRI检查无法分辨的病灶,需要使用非常规的MRI技术进一步鉴别。本文就MRI在MS早期诊断、疾病评估、鉴别诊断中的应用和作用进行综述,以有助于临床医生更准确地评估MS病情及进行鉴别诊断。

多发性硬化(multiple sclerosis,MS)是免疫介导的中枢神经系统炎性脱髓鞘疾病,是导致青壮年神经功能残疾的常见原因之一。在2017年的McDonald标准中确定了空间多发和时间多发的必要条件,空间多发:MRI上至少在MS的两个典型部位(脑室周围、皮层下、幕下、脊髓)的T2像上检出病灶;时间多发:临床发作两次,发作间隔1个月以上,或出现新的T2病变和(或)具有钆增强的MS病变。而在最新的2024 ECTRIMS中提出不再将时间多发作为MS诊断的必要条件,并将视神经病灶作为MS MRI空间多发的第5个证据。此外,在MRI中将中心静脉征和顺磁性边缘病变(paramagnetic rim lesion,PRL)纳入MS的诊断指标,这将提高MS诊断的准确性。由此可见MRI对MS的诊断极其重要。在临床工作中发现,有些疾病符合MS的影像诊断标准却并不是MS的情况,例如脑小血管病、偏头痛、Susac综合征、视神经脊髓炎谱系病、系统性免疫疾病等。因此McDonald诊断标准特别提到,如果患者满足2017年的McDonald标准,并且临床表现没有更符合其他疾病诊断的解释,则诊断为MS;如果评估中出现了另一个可以更好解释临床表现的诊断,则排除MS诊断[1-2]。因此MS的诊断除了要满足时间和空间上的多发以外,仍然需要排除很多MS类似疾病。同时,关于MS患者独立于复发的残疾进展以及对脑萎缩和残疾功能的预测方面也日益受到关注,这些特征是MS长期预后的重要评估指标。本文从影像学角度对MS的疾病病情评估、诊断及鉴别进展做一综述。

一、 MRI在MS诊断和病情评估中的价值
1.1 常规MRI
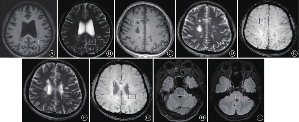
常规MS的序列主要包括T1像、T2像、DWI、Flair序列、T1增强像。MS病变可累及白质和灰质,多为非对称、圆形或卵圆形的多发病灶,特征分布于近皮层区域、皮质下区域、脑室周围、幕下、脊髓(多见于颈髓)、视神经。典型的MS病灶大小约几毫米到2cm,一般病灶不小于3mm,位于第四脑室边缘的小于3mm的病灶也被认为是MS的异常病灶。侧脑室周围的病灶常常紧贴侧脑室,而位于皮质下区的病灶常常沿着髓静脉分布,垂直于侧脑室。急性期病灶在T1增强像上可呈结节状、斑片样或环形强化,其中以不完全的环形强化常见,称为“开环征”或“弓形征”。钆增强T1像病灶是急性炎症活动和判定MS复发的重要标志。对于MS的钆增强病灶,其病灶的强化大多在病情稳定2~8周消失,平均4周。而有些急性期强化病灶在后期逐渐演变,有不到40%的病变在1年内转化为“黑洞”。黑洞是指在T1像上表现为明显的低信号,而在T2像上表现为高信号病灶(图1A~B)。研究显示,相较于结节样和斑片样强化,印戒样的环形强化病变演化为黑洞的可能性更高。黑洞在MS的病变中会持续存在,提示炎症反应导致了不可逆的脱髓鞘和轴突损伤,因此黑洞被认为与残疾功能相关。在MS非急性期还存在两种病变,即PRL和缓慢扩张病变(slowly expanding lesions,SELs),这两种病变被认为是MS慢性活动性病变(chronic active lesions,在常规MRI上不易被观察,需要使用更高分辨率或磁敏感性强的MRI。需要注意的是,对于一些隐匿性或不典型病灶,常规MRI在早期诊断及病情评估上缺乏敏感性,且无法展现出神经组织的损伤程度。
注:MS,多发性硬化;CSVD:脑小血管病;SWI,磁敏感加权成像;A,MS患者 T1像上可见左侧侧脑室脚处有一“黑洞”状低信号(方框内所示);B,MS患者“黑洞”在 T2像上呈高信号;C~E,MS患者 T1像可见低信号(C)、T2像高信号病灶(D)、SWI上的铁环征(E)(方框内所示);F~G,分别为中心静脉征在 T2像和SWI像上的表现;H,CSVD 患者 Flair像可见脑桥病变位于脑桥中间(方框所示);I,MS患者Flair像显示脑桥病变位于脑桥边缘(方框所示)。
图 1 多发性硬化和脑小血管病患者的影像学特征
1.2 非常规MRI
除常规MRI序列以外,磁敏感加权成像(susceptibility weighted imaging,SWI)、定量磁敏感图(quantitative susceptibility mapping,QSM)、扩散张量成像(diffusion tensor imaging,DTI)、磁共振波谱(H-MRS)、灌注成像以及功能MRI成像(functional magnetic resonance imaging,fMRI)也有助于MS的诊断和病情评估,特别是对MS慢性活动性病灶(即阴燃病灶)的评估。阴燃病灶是MS患者独立于临床复发但症状持续进展的重要原因。同时,随着MS的疾病修饰药物(disease modified treatment,DMT)在临床上的使用,对于MS慢性活动病灶的评估也日益受到重视,这将成为MS患者病情是否稳定以及是否能够停用DMT药物的重要参考指标。
SWI和QSM是近几年来推荐用于MS常规诊疗的MRI序列,因其对顺磁性物质检测的高度敏感性,能可靠地显示慢性活动性病灶周围小胶质细胞慢性炎性聚集导致的铁质沉积,在对慢性活动性病变的检测中发挥了一定作用。SWI检查可发现PRL病灶周围因铁聚集而形成的低信号,这种影像改变也称为“铁环征”(图1C~E)。QSM是SWI技术进行定量分析的延伸,根据局部磁化率的变化测量组织中铁、钙、髓磷脂。钙化和髓磷脂为抗磁性物质,表现为黑色的低信号,含铁血黄素和铁蛋白为顺磁性物质,表现为明亮的高信号。当发生脱髓鞘病变时,髓鞘丢失,抗磁性物质减少,磁性增强,在QSM上信号增强,因此PRL又称为“顺磁性边缘病灶”。
SEL定义为相对于先前存在的T1像或者T2像的病变区域,随着时间的推移病灶可缓慢扩张。MS的慢性活动性病灶除了SEL和PRL外,还包含TSPO(translocator protein,TSPO)阳性病变,即在PET上存在因小胶质细胞炎症摄取增加而呈现的病变。TSPO病变在T2WI上亦表现高信号,与PRL一样不随增强而强化。PRL、SEL、TSPO阳性病变之间的关系尚不明确。有研究显示,近40%的PRL被认为是SEL,7%~20%的SEL与PRL空间分布存在重叠,且部分PET上的TSPO阳性病灶亦可以在MRI上表现为PRL,同时存在SEL和PRL的部位与组织的持续损伤相关。
根据MS的最新指南要达到的无证据疾病活动(no evidence of disease activity,NEDA)诊治目标,如下指标均应纳入临床诊治的控制目标,包括临床复发、扩展残疾状态量表(expanded disability status,EDSS)评分进展、影像学病灶新增、神经纤维丝、认知功能和脑萎缩。脑网络分析包括基于3DT1或DT1的结构网络,或者是基于fMRI的功能网络,在MS疾病进展预测中亦发挥了重要的作用。针对儿童MS患者的fMRI研究发现,患儿后部脑组织的连接效能下降与其记忆力下降以及后部脑组织的白质和灰质损伤更严重密切相关。基于结构网络的研究显示,基线EDSS相似的MS患者早期脑灰质网络中拓扑属性(包括全局效率、节点度、传递性)异常,可以预测5年后的残疾进展。静息状态下的功能核磁(rest-functional MRI,rs-fMRI)基于血氧水平依赖的BOLD(blood-oxygen level dependent)效应可在一定程度上评估MS病灶的血流灌注情况。使用rs-fMRI的研究显示,MS白质损伤部位存在血流的延迟以及血流量的下降,其结果与DSC-MRI(dynamic susceptibility contrast MRI)以及ASL(arterial spin labeling)等灌注序列有相似之处,在MS白质损伤形成前就存在血流灌注的改变,其出现先于增强病灶,且皮层灰质区域的血流到达时间延迟与MS患者出现认知功能下降密切相关。
二、MRI在MS鉴别诊断中的价值
2.1 MS与衰老或脑小血管病引起的白质病灶
在临床工作中常常遇到一些中年患者具有高血压或吸烟等血管病的危险因素,在MRI Flair序列上表现为脑室旁点状白质高信号,此病灶与MS的脱髓鞘病灶常常难以区分。此影像学改变可能与年龄相关,或者也可以归类为广义的脑小血管病(cerebral small vessel disease,CSVD)。CSVD是一类异质性很强的脑血管疾病,主要影响直径<500μm的小动脉和小静脉,涉及多种病理过程和病因,临床上亦可表现为反复发作的局灶性神经功能异常、脑白质损伤、脑萎缩。典型的CSVD在影像学上主要表现为白质高信号、腔隙灶、微出血和扩大的血管周围间隙(enlarged perivascular spaces,EPVS)特点。
2.1.1 病变特征:
(1)白质高信号:虽然MS和CSVD均可发生白质高信号,但其分布部位有差别。总体来说,MS病灶分布于近皮层区域、皮质下区域、脑室周围、幕下、脊髓、视神经,而CSVD患者主要位于皮质下区域、脑室周围以及幕下区域,较少累及近皮层U型纤维以及视神经和脊髓。从侧脑室周围的病灶上看,CSVD患者的侧脑室前角和后角的病灶常表现为对称性帽状纤维受累,而MS病灶则表现为贴近侧脑室壁的非对称性病灶,在矢状位上还可表现为沿着侧脑室壁的点线征,MS病灶在侧脑室旁分布较CSVD常见。从皮质下区域来看,有研究显示CSVD在分水岭区域的病灶多于MS患者,CSVD的病灶在皮质下区域的分布明显高于MS患者。从幕下病灶的分布特点来看,MS多分布于脑桥边缘,而CSVD病灶可分布于脑桥的中央(图1H~I)。
(2)血管周围间隙:血管周围间隙是脑小血管周围的液体腔隙,在MRI上表现为线条样或点状的结构。正常情况下,血管周围间隙直径小于2mm,但有些血管间隙也可以扩张至大于2mm,称之为EPVS。既往研究认为,EPVS与衰老、血管危险因素相关,近年来研究发现EPVS与神经免疫性疾病亦密切相关。在CSVD中,EPVS被认为与缺氧和衰老相关,在MS中EPVS与小动脉病变相关,而非与静脉周围脱髓鞘或炎症细胞浸润相关,且EPVS负荷的高低与MS的炎症活动、临床残疾和严重程度无关,而与脑容量的减少、衰老显著相关。有研究对MS和CSVD的EPVS进行分析发现,在MS中,EPVS多沿髓质动脉进入皮质下白质并延伸到大脑半球灰质。在CSVD中,EPVS多位于前联合周围,脑淀粉样血管病、高血压动脉病相关的CSVD多位于半卵圆中心、基底节区,且认为半卵圆中心的EPVS与脑淀粉样血管病相关,基底节区的EPVS与高血压动脉病相关。
(3)中心静脉征及微出血:中心静脉征是指侧脑室旁贯穿白质病变中心的低信号线性结构或小的低信号点(图1F~G),可以作为MS诊断的重要影像学标记[20]。一项研究对原发进展型MS、复发缓解型MS和CSVD患者T2像上的中心静脉征进行分析发现,白质病灶中出现中心静脉征的比例分别为68.4%、74.3%和4.7%,MS和CSVD患者间比较差异存在统计学意义,表明中心静脉征对鉴别MS和CSVD具有一定价值。值得注意的是,伴有皮质下梗死和白质脑病的常染色体显性遗传性脑动脉病(cerebral autosomal dominant arteriopathy with subcortical infarcts and leukoencephalopathy,CADASIL)作为一种遗传性的CSVD,亦可出现中心静脉征。目前对CADASIL与MS之间的影像研究尚少。有学者将二者的影像学进行对比发现,两者在白质病变的Fazekas分级间比较差异无统计学意义,在病灶的分布上,CADASIL多位于外囊,MS多位于胼胝体和脑干,且CADASIL表现出较高概率的脑微出血。研究表明在SWI检测到的微出血往往提示CSVD而不是MS,SWI上点状低信号提示含铁血黄素沉积,是血管病变的标志,可作为二者区分的标志。此外,针对代表MS慢性活动性病变的PRL的研究显示,MS患者可检测到较多的PRL,而在CSVD中未检测到PRL的存在,表明PRL对MS和CSVD的鉴别具有高度的特异性和敏感度。
2.1.2 MRI技术对疾病鉴别的价值:
常规MRI序列无法识别外观正常的白质或灰质微观结构变化,而DTI和H-MRS对这些微观结构的变化很敏感。H-MRS通过检测和量化大脑中的代谢物浓度,可为在MRI上表现异常的或正常外观的白质和灰质提供化学病理特征;DTI通过分数各向异性(fractional anisotropy,FA)和表观弥散系数(apparent diffusion coefficient,ADC)来量化微观纤维束的改变。有研究通过对MS和CSVD患者在常规影像上无白质高信号的丘脑进行DTI和H-MRS成像观察发现,两组患者外观表现正常的丘脑在MRI中均显示不同程度的损伤:在DTI检查中,MS患者丘脑的FA值显著高于CSVD组,而ADC值却明显低于CSVD组;在H-MRS检查中,MS患者的左侧丘脑的N-乙酰天冬氨酸数值相对于CSVD较低,余代谢产物尚不能区分两组疾病,但可以将MS或CSVD与健康对照组区分。利用DTI和H-MRS检测丘脑改变为鉴别MS和CSVD提供了思路。
此外,fMRI可利用氧合血红蛋白与脱氧血红蛋白对磁场的磁性不同,获得相应MRI信号的微小变化,便于了解病变的性质。这种血氧水平依赖性信号又称之为BOLD。BOLD斜率是指病灶中心到周围的BOLD的变化,在一定程度上可以鉴别白质的损伤的差别。Sivakolundu等采用双回波fMRI量化BOLD发现,MS患者的BOLD信号从病变中心到周围逐渐减弱,BOLD斜率也明显降低,而CSVD没有这种变化,表明该技术可从单病灶水平上对MS和CSVD进行鉴别。
2.2 MS与影像类似MS疾病的鉴别
2.2.1 偏头痛:
偏头痛以女性多见,症状反复,可以有白质高信号的改变,其与MS的鉴别可从影像学上的病灶特点及空间分布加以区分。从白质病变的大小来看,偏头痛相关的白质病变体积较MS小;从空间分布来看,偏头痛相关白质病变在深部白质区域数量较MS多,且很少出现在幕下区域,多影响前循环;MS白质病变多位于颞叶,而偏头痛多位于额叶。中心静脉征也可以用来鉴别偏头痛和MS的白质病变,有研究根据中心静脉征检出的数量来确定是否可以鉴别二者,结果显示MS组患者的中心静脉征数量明显多于偏头痛组,根据中心静脉征分布部位进行亚组分析发现,相对于偏头痛组,MS组中心静脉征多分布在皮质下和深部白质,且分布在皮质下和深部白质的中心静脉征越多,越支持MS诊断。
2.2.2 Susac综合征:
Susac综合征是一种由免疫介导的累及脑和视网膜的血管病,在临床表现上与MS相似。Susac综合征在急性期可看见胼胝体中央T2像和Flair高信号的类似雪球一样的病灶,在慢性期时T1像表现为稍低信号,这种胼胝体中央病变的表现与MS的道森指不同,被认为是Susac综合征的一种特征表现。此外,在Susac综合征中的Flair或T2像上可以看见脑室周围、半卵圆中心、脑干、小脑等部位多发小圆点样(较MS直径小的)高信号病变,以及内囊像串珠样的微小梗死病灶,而这些病变特征在MS中不常见。有研究显示,在1.5T的MRI影像上,MS和Susac的病灶都表现为T2高信号,难以区分,而在超高场MRI下,如7T MRI下,因为空间分辨率及敏感性的提高,可以看到MS的病变存在中心静脉征,而Susac综合征静脉多在病变外周,而非中心,因此不表现为中心静脉征。研究显示铁沉积在Susac综合征中也较多见,但与MS不同。在Susac综合征中,这种影像特征被描述为“铁点”,是由于铁沉积而形成的小圆点,铁点在7T MRI的T2像上表现为高信号的病变内部存在小的低信号的圆点,MS患者的铁环征在T2像中也可见这种中心低信号的病变,但从大小来看,Susac综合征的铁点较铁环征的低信号病变更小,从信号强度来看,铁点的信号更低,且铁点多分布于胼胝体。MS的中心静脉征也可能会被误认为铁点,但铁点不会随着血管的走行而发生改变,铁点的影像表现有望成为Susac综合征的特异性标志。
2.2.3 烟雾病:
烟雾病是一种原因不明的颈内动脉慢性闭塞性脑血管疾病,年轻人多见,在影像学上可出现多发病灶,在对非典型白质病变的年轻的MS患者进行诊断时,需要与烟雾病鉴别。在MRI上,烟雾病的病变特别局限于额叶和顶叶分水岭区域,也有位于深部或浅表位置的灰质。此外,在急性病变中,弥散受限也多发生在分水岭区域。而在MS患者中病灶通常为卵形,累及脑室周围区域、胼胝体、脑干和小脑等,增强后可出现强化,在临床中遇到年轻患者具有分水岭白质异常信号分布特征的,可进行颅内脉管系统的成像,这是诊断烟雾病的关键。
临床上工作中,还有许多MS影像类似疾病,例如系统性免疫疾病继发的脑白质病变、视神经脊髓炎谱系病等,需要通过临床的症状以及多种影像学技术做好排他性诊断。
综上所述,MRI在MS疾病评估和诊断及鉴别诊断中具有重要地位和作用,如常规MRI平扫中增强显示的MS典型影像特征、黑洞可帮助临床进行诊断及评估病情变化,SWI/QSM可通过检测到的MS慢性活动性病灶来了解疾病进展,DTI可发现常规MRI无法显示的隐匿性改变,H-MRS可以检测和量化大脑中的代谢物浓度从而提供MRI影像学上的化学病理特征,基于fMRI的功能连接、氧合血红蛋白水平以及脑血流量等为研究者了解静息态大脑神经元的活动提供了依据。这些MRI的应用为我们判断MS的病情以及鉴别MS类似疾病提供了更好的手段,为临床诊断及后续治疗提供了思路,为科研方向提供了更多信息。
作者:高文倩 吴家勇 杨丹 徐运 张梅娟等
(参考文献略)

最新文章

随机文章

基本 文件 流程 错误 SQL 调试
  1. 请求信息 : 2026-05-09 14:20:12 HTTP/2.0 GET : https://b.460.net.cn/a/510253.html
  2. 运行时间 : 0.236067s [ 吞吐率:4.24req/s ] 内存消耗:4,415.50kb 文件加载:140
  3. 缓存信息 : 0 reads,0 writes
  4. 会话信息 : SESSION_ID=63f2cdeaf9da78a89c269cd37cf78839
  1. /yingpanguazai/ssd/ssd1/www/b.460.net.cn/public/index.php ( 0.79 KB )
  2. /yingpanguazai/ssd/ssd1/www/b.460.net.cn/vendor/autoload.php ( 0.17 KB )
  3. /yingpanguazai/ssd/ssd1/www/b.460.net.cn/vendor/composer/autoload_real.php ( 2.49 KB )
  4. /yingpanguazai/ssd/ssd1/www/b.460.net.cn/vendor/composer/platform_check.php ( 0.90 KB )
  5. /yingpanguazai/ssd/ssd1/www/b.460.net.cn/vendor/composer/ClassLoader.php ( 14.03 KB )
  6. /yingpanguazai/ssd/ssd1/www/b.460.net.cn/vendor/composer/autoload_static.php ( 4.90 KB )
  7. /yingpanguazai/ssd/ssd1/www/b.460.net.cn/vendor/topthink/think-helper/src/helper.php ( 8.34 KB )
  8. /yingpanguazai/ssd/ssd1/www/b.460.net.cn/vendor/topthink/think-validate/src/helper.php ( 2.19 KB )
  9. /yingpanguazai/ssd/ssd1/www/b.460.net.cn/vendor/topthink/think-orm/src/helper.php ( 1.47 KB )
  10. /yingpanguazai/ssd/ssd1/www/b.460.net.cn/vendor/topthink/think-orm/stubs/load_stubs.php ( 0.16 KB )
  11. /yingpanguazai/ssd/ssd1/www/b.460.net.cn/vendor/topthink/framework/src/think/Exception.php ( 1.69 KB )
  12. /yingpanguazai/ssd/ssd1/www/b.460.net.cn/vendor/topthink/think-container/src/Facade.php ( 2.71 KB )
  13. /yingpanguazai/ssd/ssd1/www/b.460.net.cn/vendor/symfony/deprecation-contracts/function.php ( 0.99 KB )
  14. /yingpanguazai/ssd/ssd1/www/b.460.net.cn/vendor/symfony/polyfill-mbstring/bootstrap.php ( 8.26 KB )
  15. /yingpanguazai/ssd/ssd1/www/b.460.net.cn/vendor/symfony/polyfill-mbstring/bootstrap80.php ( 9.78 KB )
  16. /yingpanguazai/ssd/ssd1/www/b.460.net.cn/vendor/symfony/var-dumper/Resources/functions/dump.php ( 1.49 KB )
  17. /yingpanguazai/ssd/ssd1/www/b.460.net.cn/vendor/topthink/think-dumper/src/helper.php ( 0.18 KB )
  18. /yingpanguazai/ssd/ssd1/www/b.460.net.cn/vendor/symfony/var-dumper/VarDumper.php ( 4.30 KB )
  19. /yingpanguazai/ssd/ssd1/www/b.460.net.cn/vendor/topthink/framework/src/think/App.php ( 15.30 KB )
  20. /yingpanguazai/ssd/ssd1/www/b.460.net.cn/vendor/topthink/think-container/src/Container.php ( 15.76 KB )
  21. /yingpanguazai/ssd/ssd1/www/b.460.net.cn/vendor/psr/container/src/ContainerInterface.php ( 1.02 KB )
  22. /yingpanguazai/ssd/ssd1/www/b.460.net.cn/app/provider.php ( 0.19 KB )
  23. /yingpanguazai/ssd/ssd1/www/b.460.net.cn/vendor/topthink/framework/src/think/Http.php ( 6.04 KB )
  24. /yingpanguazai/ssd/ssd1/www/b.460.net.cn/vendor/topthink/think-helper/src/helper/Str.php ( 7.29 KB )
  25. /yingpanguazai/ssd/ssd1/www/b.460.net.cn/vendor/topthink/framework/src/think/Env.php ( 4.68 KB )
  26. /yingpanguazai/ssd/ssd1/www/b.460.net.cn/app/common.php ( 0.03 KB )
  27. /yingpanguazai/ssd/ssd1/www/b.460.net.cn/vendor/topthink/framework/src/helper.php ( 18.78 KB )
  28. /yingpanguazai/ssd/ssd1/www/b.460.net.cn/vendor/topthink/framework/src/think/Config.php ( 5.54 KB )
  29. /yingpanguazai/ssd/ssd1/www/b.460.net.cn/config/app.php ( 0.95 KB )
  30. /yingpanguazai/ssd/ssd1/www/b.460.net.cn/config/cache.php ( 0.78 KB )
  31. /yingpanguazai/ssd/ssd1/www/b.460.net.cn/config/console.php ( 0.23 KB )
  32. /yingpanguazai/ssd/ssd1/www/b.460.net.cn/config/cookie.php ( 0.56 KB )
  33. /yingpanguazai/ssd/ssd1/www/b.460.net.cn/config/database.php ( 2.47 KB )
  34. /yingpanguazai/ssd/ssd1/www/b.460.net.cn/vendor/topthink/framework/src/think/facade/Env.php ( 1.67 KB )
  35. /yingpanguazai/ssd/ssd1/www/b.460.net.cn/config/filesystem.php ( 0.61 KB )
  36. /yingpanguazai/ssd/ssd1/www/b.460.net.cn/config/lang.php ( 0.91 KB )
  37. /yingpanguazai/ssd/ssd1/www/b.460.net.cn/config/log.php ( 1.35 KB )
  38. /yingpanguazai/ssd/ssd1/www/b.460.net.cn/config/middleware.php ( 0.19 KB )
  39. /yingpanguazai/ssd/ssd1/www/b.460.net.cn/config/route.php ( 1.89 KB )
  40. /yingpanguazai/ssd/ssd1/www/b.460.net.cn/config/session.php ( 0.57 KB )
  41. /yingpanguazai/ssd/ssd1/www/b.460.net.cn/config/trace.php ( 0.34 KB )
  42. /yingpanguazai/ssd/ssd1/www/b.460.net.cn/config/view.php ( 0.82 KB )
  43. /yingpanguazai/ssd/ssd1/www/b.460.net.cn/app/event.php ( 0.25 KB )
  44. /yingpanguazai/ssd/ssd1/www/b.460.net.cn/vendor/topthink/framework/src/think/Event.php ( 7.67 KB )
  45. /yingpanguazai/ssd/ssd1/www/b.460.net.cn/app/service.php ( 0.13 KB )
  46. /yingpanguazai/ssd/ssd1/www/b.460.net.cn/app/AppService.php ( 0.26 KB )
  47. /yingpanguazai/ssd/ssd1/www/b.460.net.cn/vendor/topthink/framework/src/think/Service.php ( 1.64 KB )
  48. /yingpanguazai/ssd/ssd1/www/b.460.net.cn/vendor/topthink/framework/src/think/Lang.php ( 7.35 KB )
  49. /yingpanguazai/ssd/ssd1/www/b.460.net.cn/vendor/topthink/framework/src/lang/zh-cn.php ( 13.70 KB )
  50. /yingpanguazai/ssd/ssd1/www/b.460.net.cn/vendor/topthink/framework/src/think/initializer/Error.php ( 3.31 KB )
  51. /yingpanguazai/ssd/ssd1/www/b.460.net.cn/vendor/topthink/framework/src/think/initializer/RegisterService.php ( 1.33 KB )
  52. /yingpanguazai/ssd/ssd1/www/b.460.net.cn/vendor/services.php ( 0.14 KB )
  53. /yingpanguazai/ssd/ssd1/www/b.460.net.cn/vendor/topthink/framework/src/think/service/PaginatorService.php ( 1.52 KB )
  54. /yingpanguazai/ssd/ssd1/www/b.460.net.cn/vendor/topthink/framework/src/think/service/ValidateService.php ( 0.99 KB )
  55. /yingpanguazai/ssd/ssd1/www/b.460.net.cn/vendor/topthink/framework/src/think/service/ModelService.php ( 2.04 KB )
  56. /yingpanguazai/ssd/ssd1/www/b.460.net.cn/vendor/topthink/think-trace/src/Service.php ( 0.77 KB )
  57. /yingpanguazai/ssd/ssd1/www/b.460.net.cn/vendor/topthink/framework/src/think/Middleware.php ( 6.72 KB )
  58. /yingpanguazai/ssd/ssd1/www/b.460.net.cn/vendor/topthink/framework/src/think/initializer/BootService.php ( 0.77 KB )
  59. /yingpanguazai/ssd/ssd1/www/b.460.net.cn/vendor/topthink/think-orm/src/Paginator.php ( 11.86 KB )
  60. /yingpanguazai/ssd/ssd1/www/b.460.net.cn/vendor/topthink/think-validate/src/Validate.php ( 63.20 KB )
  61. /yingpanguazai/ssd/ssd1/www/b.460.net.cn/vendor/topthink/think-orm/src/Model.php ( 23.55 KB )
  62. /yingpanguazai/ssd/ssd1/www/b.460.net.cn/vendor/topthink/think-orm/src/model/concern/Attribute.php ( 21.05 KB )
  63. /yingpanguazai/ssd/ssd1/www/b.460.net.cn/vendor/topthink/think-orm/src/model/concern/AutoWriteData.php ( 4.21 KB )
  64. /yingpanguazai/ssd/ssd1/www/b.460.net.cn/vendor/topthink/think-orm/src/model/concern/Conversion.php ( 6.44 KB )
  65. /yingpanguazai/ssd/ssd1/www/b.460.net.cn/vendor/topthink/think-orm/src/model/concern/DbConnect.php ( 5.16 KB )
  66. /yingpanguazai/ssd/ssd1/www/b.460.net.cn/vendor/topthink/think-orm/src/model/concern/ModelEvent.php ( 2.33 KB )
  67. /yingpanguazai/ssd/ssd1/www/b.460.net.cn/vendor/topthink/think-orm/src/model/concern/RelationShip.php ( 28.29 KB )
  68. /yingpanguazai/ssd/ssd1/www/b.460.net.cn/vendor/topthink/think-helper/src/contract/Arrayable.php ( 0.09 KB )
  69. /yingpanguazai/ssd/ssd1/www/b.460.net.cn/vendor/topthink/think-helper/src/contract/Jsonable.php ( 0.13 KB )
  70. /yingpanguazai/ssd/ssd1/www/b.460.net.cn/vendor/topthink/think-orm/src/model/contract/Modelable.php ( 0.09 KB )
  71. /yingpanguazai/ssd/ssd1/www/b.460.net.cn/vendor/topthink/framework/src/think/Db.php ( 2.88 KB )
  72. /yingpanguazai/ssd/ssd1/www/b.460.net.cn/vendor/topthink/think-orm/src/DbManager.php ( 8.52 KB )
  73. /yingpanguazai/ssd/ssd1/www/b.460.net.cn/vendor/topthink/framework/src/think/Log.php ( 6.28 KB )
  74. /yingpanguazai/ssd/ssd1/www/b.460.net.cn/vendor/topthink/framework/src/think/Manager.php ( 3.92 KB )
  75. /yingpanguazai/ssd/ssd1/www/b.460.net.cn/vendor/psr/log/src/LoggerTrait.php ( 2.69 KB )
  76. /yingpanguazai/ssd/ssd1/www/b.460.net.cn/vendor/psr/log/src/LoggerInterface.php ( 2.71 KB )
  77. /yingpanguazai/ssd/ssd1/www/b.460.net.cn/vendor/topthink/framework/src/think/Cache.php ( 4.92 KB )
  78. /yingpanguazai/ssd/ssd1/www/b.460.net.cn/vendor/psr/simple-cache/src/CacheInterface.php ( 4.71 KB )
  79. /yingpanguazai/ssd/ssd1/www/b.460.net.cn/vendor/topthink/think-helper/src/helper/Arr.php ( 16.63 KB )
  80. /yingpanguazai/ssd/ssd1/www/b.460.net.cn/vendor/topthink/framework/src/think/cache/driver/File.php ( 7.84 KB )
  81. /yingpanguazai/ssd/ssd1/www/b.460.net.cn/vendor/topthink/framework/src/think/cache/Driver.php ( 9.03 KB )
  82. /yingpanguazai/ssd/ssd1/www/b.460.net.cn/vendor/topthink/framework/src/think/contract/CacheHandlerInterface.php ( 1.99 KB )
  83. /yingpanguazai/ssd/ssd1/www/b.460.net.cn/app/Request.php ( 0.09 KB )
  84. /yingpanguazai/ssd/ssd1/www/b.460.net.cn/vendor/topthink/framework/src/think/Request.php ( 55.78 KB )
  85. /yingpanguazai/ssd/ssd1/www/b.460.net.cn/app/middleware.php ( 0.25 KB )
  86. /yingpanguazai/ssd/ssd1/www/b.460.net.cn/vendor/topthink/framework/src/think/Pipeline.php ( 2.61 KB )
  87. /yingpanguazai/ssd/ssd1/www/b.460.net.cn/vendor/topthink/think-trace/src/TraceDebug.php ( 3.40 KB )
  88. /yingpanguazai/ssd/ssd1/www/b.460.net.cn/vendor/topthink/framework/src/think/middleware/SessionInit.php ( 1.94 KB )
  89. /yingpanguazai/ssd/ssd1/www/b.460.net.cn/vendor/topthink/framework/src/think/Session.php ( 1.80 KB )
  90. /yingpanguazai/ssd/ssd1/www/b.460.net.cn/vendor/topthink/framework/src/think/session/driver/File.php ( 6.27 KB )
  91. /yingpanguazai/ssd/ssd1/www/b.460.net.cn/vendor/topthink/framework/src/think/contract/SessionHandlerInterface.php ( 0.87 KB )
  92. /yingpanguazai/ssd/ssd1/www/b.460.net.cn/vendor/topthink/framework/src/think/session/Store.php ( 7.12 KB )
  93. /yingpanguazai/ssd/ssd1/www/b.460.net.cn/vendor/topthink/framework/src/think/Route.php ( 23.73 KB )
  94. /yingpanguazai/ssd/ssd1/www/b.460.net.cn/vendor/topthink/framework/src/think/route/RuleName.php ( 5.75 KB )
  95. /yingpanguazai/ssd/ssd1/www/b.460.net.cn/vendor/topthink/framework/src/think/route/Domain.php ( 2.53 KB )
  96. /yingpanguazai/ssd/ssd1/www/b.460.net.cn/vendor/topthink/framework/src/think/route/RuleGroup.php ( 22.43 KB )
  97. /yingpanguazai/ssd/ssd1/www/b.460.net.cn/vendor/topthink/framework/src/think/route/Rule.php ( 26.95 KB )
  98. /yingpanguazai/ssd/ssd1/www/b.460.net.cn/vendor/topthink/framework/src/think/route/RuleItem.php ( 9.78 KB )
  99. /yingpanguazai/ssd/ssd1/www/b.460.net.cn/route/app.php ( 1.72 KB )
  100. /yingpanguazai/ssd/ssd1/www/b.460.net.cn/vendor/topthink/framework/src/think/facade/Route.php ( 4.70 KB )
  101. /yingpanguazai/ssd/ssd1/www/b.460.net.cn/vendor/topthink/framework/src/think/route/dispatch/Controller.php ( 4.74 KB )
  102. /yingpanguazai/ssd/ssd1/www/b.460.net.cn/vendor/topthink/framework/src/think/route/Dispatch.php ( 10.44 KB )
  103. /yingpanguazai/ssd/ssd1/www/b.460.net.cn/app/controller/Index.php ( 4.81 KB )
  104. /yingpanguazai/ssd/ssd1/www/b.460.net.cn/app/BaseController.php ( 2.05 KB )
  105. /yingpanguazai/ssd/ssd1/www/b.460.net.cn/vendor/topthink/think-orm/src/facade/Db.php ( 0.93 KB )
  106. /yingpanguazai/ssd/ssd1/www/b.460.net.cn/vendor/topthink/think-orm/src/db/connector/Mysql.php ( 5.44 KB )
  107. /yingpanguazai/ssd/ssd1/www/b.460.net.cn/vendor/topthink/think-orm/src/db/PDOConnection.php ( 52.47 KB )
  108. /yingpanguazai/ssd/ssd1/www/b.460.net.cn/vendor/topthink/think-orm/src/db/Connection.php ( 8.39 KB )
  109. /yingpanguazai/ssd/ssd1/www/b.460.net.cn/vendor/topthink/think-orm/src/db/ConnectionInterface.php ( 4.57 KB )
  110. /yingpanguazai/ssd/ssd1/www/b.460.net.cn/vendor/topthink/think-orm/src/db/builder/Mysql.php ( 16.58 KB )
  111. /yingpanguazai/ssd/ssd1/www/b.460.net.cn/vendor/topthink/think-orm/src/db/Builder.php ( 24.06 KB )
  112. /yingpanguazai/ssd/ssd1/www/b.460.net.cn/vendor/topthink/think-orm/src/db/BaseBuilder.php ( 27.50 KB )
  113. /yingpanguazai/ssd/ssd1/www/b.460.net.cn/vendor/topthink/think-orm/src/db/Query.php ( 15.71 KB )
  114. /yingpanguazai/ssd/ssd1/www/b.460.net.cn/vendor/topthink/think-orm/src/db/BaseQuery.php ( 45.13 KB )
  115. /yingpanguazai/ssd/ssd1/www/b.460.net.cn/vendor/topthink/think-orm/src/db/concern/TimeFieldQuery.php ( 7.43 KB )
  116. /yingpanguazai/ssd/ssd1/www/b.460.net.cn/vendor/topthink/think-orm/src/db/concern/AggregateQuery.php ( 3.26 KB )
  117. /yingpanguazai/ssd/ssd1/www/b.460.net.cn/vendor/topthink/think-orm/src/db/concern/ModelRelationQuery.php ( 20.07 KB )
  118. /yingpanguazai/ssd/ssd1/www/b.460.net.cn/vendor/topthink/think-orm/src/db/concern/ParamsBind.php ( 3.66 KB )
  119. /yingpanguazai/ssd/ssd1/www/b.460.net.cn/vendor/topthink/think-orm/src/db/concern/ResultOperation.php ( 7.01 KB )
  120. /yingpanguazai/ssd/ssd1/www/b.460.net.cn/vendor/topthink/think-orm/src/db/concern/WhereQuery.php ( 19.37 KB )
  121. /yingpanguazai/ssd/ssd1/www/b.460.net.cn/vendor/topthink/think-orm/src/db/concern/JoinAndViewQuery.php ( 7.11 KB )
  122. /yingpanguazai/ssd/ssd1/www/b.460.net.cn/vendor/topthink/think-orm/src/db/concern/TableFieldInfo.php ( 2.63 KB )
  123. /yingpanguazai/ssd/ssd1/www/b.460.net.cn/vendor/topthink/think-orm/src/db/concern/Transaction.php ( 2.77 KB )
  124. /yingpanguazai/ssd/ssd1/www/b.460.net.cn/vendor/topthink/framework/src/think/log/driver/File.php ( 5.96 KB )
  125. /yingpanguazai/ssd/ssd1/www/b.460.net.cn/vendor/topthink/framework/src/think/contract/LogHandlerInterface.php ( 0.86 KB )
  126. /yingpanguazai/ssd/ssd1/www/b.460.net.cn/vendor/topthink/framework/src/think/log/Channel.php ( 3.89 KB )
  127. /yingpanguazai/ssd/ssd1/www/b.460.net.cn/vendor/topthink/framework/src/think/event/LogRecord.php ( 1.02 KB )
  128. /yingpanguazai/ssd/ssd1/www/b.460.net.cn/vendor/topthink/think-helper/src/Collection.php ( 16.47 KB )
  129. /yingpanguazai/ssd/ssd1/www/b.460.net.cn/vendor/topthink/framework/src/think/facade/View.php ( 1.70 KB )
  130. /yingpanguazai/ssd/ssd1/www/b.460.net.cn/vendor/topthink/framework/src/think/View.php ( 4.39 KB )
  131. /yingpanguazai/ssd/ssd1/www/b.460.net.cn/vendor/topthink/framework/src/think/Response.php ( 8.81 KB )
  132. /yingpanguazai/ssd/ssd1/www/b.460.net.cn/vendor/topthink/framework/src/think/response/View.php ( 3.29 KB )
  133. /yingpanguazai/ssd/ssd1/www/b.460.net.cn/vendor/topthink/framework/src/think/Cookie.php ( 6.06 KB )
  134. /yingpanguazai/ssd/ssd1/www/b.460.net.cn/vendor/topthink/think-view/src/Think.php ( 8.38 KB )
  135. /yingpanguazai/ssd/ssd1/www/b.460.net.cn/vendor/topthink/framework/src/think/contract/TemplateHandlerInterface.php ( 1.60 KB )
  136. /yingpanguazai/ssd/ssd1/www/b.460.net.cn/vendor/topthink/think-template/src/Template.php ( 46.61 KB )
  137. /yingpanguazai/ssd/ssd1/www/b.460.net.cn/vendor/topthink/think-template/src/template/driver/File.php ( 2.41 KB )
  138. /yingpanguazai/ssd/ssd1/www/b.460.net.cn/vendor/topthink/think-template/src/template/contract/DriverInterface.php ( 0.86 KB )
  139. /yingpanguazai/ssd/ssd1/www/b.460.net.cn/runtime/temp/b35eef690f41e64ad9e1c098cfc7d3bc.php ( 11.98 KB )
  140. /yingpanguazai/ssd/ssd1/www/b.460.net.cn/vendor/topthink/think-trace/src/Html.php ( 4.42 KB )
  1. CONNECT:[ UseTime:0.000986s ] mysql:host=127.0.0.1;port=3306;dbname=b460;charset=utf8mb4
  2. SHOW FULL COLUMNS FROM `fenlei` [ RunTime:0.001546s ]
  3. SELECT * FROM `fenlei` WHERE `fid` = 0 [ RunTime:0.000725s ]
  4. SELECT * FROM `fenlei` WHERE `fid` = 63 [ RunTime:0.000692s ]
  5. SHOW FULL COLUMNS FROM `set` [ RunTime:0.001377s ]
  6. SELECT * FROM `set` [ RunTime:0.000595s ]
  7. SHOW FULL COLUMNS FROM `article` [ RunTime:0.001582s ]
  8. SELECT * FROM `article` WHERE `id` = 510253 LIMIT 1 [ RunTime:0.001342s ]
  9. UPDATE `article` SET `lasttime` = 1778307612 WHERE `id` = 510253 [ RunTime:0.039502s ]
  10. SELECT * FROM `fenlei` WHERE `id` = 65 LIMIT 1 [ RunTime:0.007658s ]
  11. SELECT * FROM `article` WHERE `id` < 510253 ORDER BY `id` DESC LIMIT 1 [ RunTime:0.001335s ]
  12. SELECT * FROM `article` WHERE `id` > 510253 ORDER BY `id` ASC LIMIT 1 [ RunTime:0.001184s ]
  13. SELECT * FROM `article` WHERE `id` < 510253 ORDER BY `id` DESC LIMIT 10 [ RunTime:0.002059s ]
  14. SELECT * FROM `article` WHERE `id` < 510253 ORDER BY `id` DESC LIMIT 10,10 [ RunTime:0.002488s ]
  15. SELECT * FROM `article` WHERE `id` < 510253 ORDER BY `id` DESC LIMIT 20,10 [ RunTime:0.001787s ]
0.242135s