当前位置:首页>南京>南京大学团队发明“秒粘”类弹性蛋白水凝胶:1秒成胶,强力湿粘附,可注射治疗主动脉夹层

南京大学团队发明“秒粘”类弹性蛋白水凝胶:1秒成胶,强力湿粘附,可注射治疗主动脉夹层

  • 2026-04-10 20:41:46
南京大学团队发明“秒粘”类弹性蛋白水凝胶:1秒成胶,强力湿粘附,可注射治疗主动脉夹层

为什么我们需要更好的“生物胶水”?

在手术中,医生常常需要快速止血、封闭组织缺损、修补血管或脏器穿孔。理想的医用粘合剂应该满足:

  • 能在潮湿、出血的环境下粘附(湿组织粘附)

  • 快速成胶(几秒内)

  • 生物相容性好,不引发免疫反应

  • 可注射,适合微创手术

  • 机械强度高,能承受血压或组织形变

然而,目前临床使用的明胶-间苯二酚-甲醛胶水存在明显缺点:生物安全性差(可导致肝脏毒性)、易引发免疫反应、无法缓释药物。

人体内的弹性蛋白赋予了皮肤、血管、肺等组织优异的弹性和伸展性。但天然弹性蛋白提取困难,产量低。科学家通过基因工程合成了类弹性蛋白(ELP)——由重复的短肽序列组成,具有类似弹性蛋白的功能。但传统ELP丧失了天然弹性蛋白的交联特性,机械强度不足。

南京大学团队设计了两类基因重组类弹性蛋白(称为类弹性蛋白A和B),它们分别含有氨基(-NH₂)和羧基(-COOH)残基。混合后,两者可通过异肽键自发交联,形成稳定的蛋白网络。同时,团队引入了两种四臂聚乙二醇(PEG)衍生物:

4-arm PEG-NH₂(含氨基)

4-arm PEG-OPA(含邻苯二甲醛基团)

OPA基团可与组织表面的蛋白质氨基快速共价结合,实现湿组织粘附;同时,PEG网络与类弹性蛋白网络互相穿插,大幅提升机械强度。整个过程无需任何催化剂,在-20°C至室温下1秒至1分钟内即可完成成胶(见下图)。

实验材料与制备方法

1. 类弹性蛋白的制备(基因工程)

质粒载体:pQE-80L

宿主细胞:大肠杆菌

诱导表达:25°C培养12-20小时

纯化:钴离子亲和树脂 + 透析 + 冷冻干燥

分子量:类弹性蛋白A ~48 kDa,B ~73 kDa

2. 水凝胶的配制(以实施例2为例)

组分
浓度
体积
类弹性蛋白A
200 mg/mL
66 μL
类弹性蛋白B
200 mg/mL
20 μL
4-arm PEG-NH₂ (20 kDa)
500 mg/mL
500 μL
4-arm PEG-OPA (10 kDa)
500 mg/mL
500 μL

混合后,在25°C下1秒即形成水凝胶。

3. 质量百分含量范围

类弹性蛋白A:0.2% ~ 2.6%

类弹性蛋白B:0.06% ~ 0.8%

4-arm PEG-NH₂:1% ~ 25%

4-arm PEG-OPA:1% ~ 25%

五、实验结果:数据令人惊艳

1. 机械强度与粘附性能

检测项目
实施例2-4结果
对照组(无类弹性蛋白或单组分)
湿组织粘附强度(lap shear)
83–101 kPa
48–60 kPa
压缩强度(发生碎裂)
174–202 kPa
149–156 kPa
爆破强度
>100 kPa
(最高105.6 kPa)
人体动脉血压极值:收缩压250 mmHg ≈ 33.3 kPa。该水凝胶可承受3倍以上的动脉极值压力。

2. 直观展示:悬吊1 kg砝码

水凝胶粘附在分离的主动脉内膜与外膜之间,可以悬吊起1公斤重的砝码,证明其极强的粘附力。

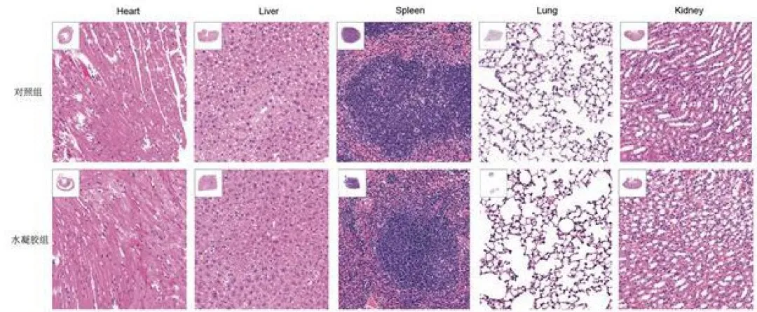
3. 生物相容性

将水凝胶注射入小鼠腹腔,4周后取心、肝、脾、肺、肾进行病理分析,未见任何器官损害。证明材料无毒、无免疫原性。

4. 动物模型验证

(1)主动脉夹层(大型动物猪)

模型:手术制备主动脉假腔(长度4 cm)

处理:注射1 mL水凝胶至假腔,缝合外膜

结果:术后CTA证实假腔完全闭合,夹层治愈

(2)胃穿孔(离体猪胃 + 活体小鼠)

离体猪胃:直径5 mm穿孔,水凝胶1秒封堵,无液体泄漏

活体小鼠:直径3 mm穿孔,水凝胶封闭后无胃内容物流出

(3)肺漏气(离体猪肺)

制备10 mm穿透性破口,水下通气可见气体泄漏

注射水凝胶后完全止住漏气

类弹性蛋白水凝胶具有以下突出优势:

✅超快成胶:1秒内完成,适合急救和微创手术

✅湿组织强粘附:可在血液、组织液存在下牢固粘合

✅高机械强度:可承受超过100 kPa爆破压,满足主动脉等高压环境

✅可注射使用:通过针头注入不规则或深部创面

✅优异生物相容性:无细胞毒性,不引发免疫反应

✅长期稳定:共价键交联,不易降解,适合慢性疾病治疗(如主动脉夹层)

该材料不仅可用于创口止血、组织粘合、脏器穿孔修补,更有望取代传统的主动脉置换手术,减少死亡率、并发症和感染风险。

本文专利CN 121758597 A

专注药用高分子材料,助力药械研发高质量前行。如果您正在开展PEG 化药物、水凝胶器械、PLA/PLGA 微球等项目开发,有样品测试、原料供应需求,欢迎随时与我们交流对接。

作为专业的药用高分子材料研发与制造方,我们可提供克级实验室样品、公斤级中试、吨级工业化生产的全链条供应,支持nGMP 及 GMP级别药用 PEG、PLA、PLGA 原料定制,并提供完整、规范的质量研究报告。

我们以高标准原料与专业服务,为您的药械研发与申报全程护航,助力创新成果落地,让更安全、更优质的药械福泽广大患者。

分     类
产品 
分  子 量
mPEG
原料
mPEG-OH
5K,10K,20K,30k,40K
多臂PEG
原料
4arm-PEG-OH
10K,20K,40K
8arm-PEG(TP)-OH
10K,15K;20K,40K
8arm-PEG(HG)-OH
10K,15K;20K,40K
两臂PEG
U-mPEG2-NHS
40K
Y-PEG-NHS
40K
mPEG2-MAL
40K
单官能团
mPEG-pALD
5K,10K,20K
mPEG-bALD
5K,10K,20K
mPEG-SC
5K,10K,20K
mPEG-SCM
5K,10K,20K
mPEG-SPA
5K,10K,20K
mPEG-SBA
5K,10K,20K
mPEG-SVA
5K,10K,20K
mPEG-SHA
5K,10K,20K
mPEG-SG
5K,10K,20K
mPEG-SS
5K,10K,20K
mPEG-MAL
5K,10K,20K
mPEG-ppMAL
5K,10K,20K
mPEG-NH2
5K,10K,20K
mPEG-AA
5K,10K,20K
双官能团
OHC-PEG-CHO
5K,10K,20K
HOOC-PEG-COOH
5K,10K,20K
HS-PEG-SH
5K,10K,20K
H2N-PEG-NH2
5K,10K,20K
SC-PEG-SC
5K,10K,20K
SCM-PEG-SCM
5K,10K,20K
SS-PEG-SS
5K,10K,20K
MAL-PEG-CHO
5K,10K,20K
MAL-PEG-NHS
5K,10K,20K
HOOC-PEG-NCO
5K,10K,20K
AA-PEG-EO
5K,10K,20K
AA-PEG-SC
5K,10K,20K
OHC-PEG-EO
5K,10K,20K
H2N-PEG-SH
5K,10K,20K
COOH-PEG-SH
5K,10K,20K
AA-PEG-COOH
5K,10K,20K
OHC-PEG-SC
5K,10K,20K
HO-PEG-SH
5K,10K,20K
MAL-PEG-PA
5K,10K,20K
NH2-PEG-COOH
5K,10K,20K
MA-PEG-EO
5K,10K,20K
MA-PEG-NCO
5K,10K,20K
四臂PEG
4arm-PEG-SG
10K,20K
4arm-PEG-SS
10K,20K
4arm-PEG-SH
10K,20K
4arm-PEG-NH2
10K,20K
4arm-PEG-pALD
10K,20K
4arm-PEG-bALD
10K,20K
4arm-PEG-MAL
10K,20K
4arm-PEG-SC
10K,20K
4arm-PEG-SCM
10K,20K
4arm-PEG-SPA
10K,20K
4arm-PEG-SBA
10K,20K
4arm-PEG-SVA
10K,20K
4arm-PEG-SHA
10K,20K
4arm-PEG-SSE
10K,20K
4arm-PEG-SCM
10K,20K
4arm-PEG-CHA-NCO
10K,20K
4arm-PEG-HA-MAL
10K,20K
4arm-(3NH2+1AA)-PEG
10K,20K
4arm-PEG-SSA
10K,20K
八臂PEG
8arm-PEG(TP)-SG
10k,15k;20k;40k
8arm-PEG(TP)-SS
10k,15k;20k;40k
8-arm-PEG(TP)-SH
10k,15k;20k;40k
8arm-PEG(TP)-NH2
10k,15k;20k;40k
8arm-PEG(TP)-pALD
10k,15k;20k;40k
8arm-PEG(TP)-MAL
10k,15k;20k;40k
8arm-PEG(HG)-SG
10k,15k;20k;40k
8arm-PEG(HG)-SS
10k,15k;20k;40k
8arm-PEG(HG)-SH
10k,15k;20k;40k
8arm-PEG(HG)-MAL
10k,15k;20k;40k
8arm-PEG(TP)-SC
10k,15k;20k;40k
8arm-PEG(TP)-GA
10k,15k;20k;40k
8arm-PEG(TP)-GAA
10k,15k;20k;40k
8arm-PEG(TP)-SAA
10k,15k;20k;40k
8arm-PEG(TP)-SA
10k,15k;20k;40k
8arm-PEG(TP)-CM
10k,15k;20k;40k
8arm-PEG(TP)-SCM
10k,15k;20k;40k
8arm-PEG(HG)-SGA
10k,15k;20k;40k
8arm-PEG(HG)-SCM
10k,15k;20k;40k
8arm-PEG(HG)-SC
10k,15k;20k;40k
8arm-PEG(HG)-pALD
10k,15k;20k;40k
8arm-PEG(HG)-GA
10k,15k;20k;40k
8arm-PEG(HG)-GAA
10k,15k;20k;40k
8arm-PEG(HG)-SAA
10k,15k;20k;40k
8arm-PEG(HG)-SA
10k,15k;20k;40k
8arm-PEG(HG)-CM
10k,15k;20k;40k
8arm-PEG(SUC)-MAL
10k,15k;20k;40k
8arm-PEG(HY)-SG
10k,15k;20k;40k
Linkers
NH2-PEGn-PA(n=2-24)
AZIDE-PEGn-NH2(n=2-24)
AZIDE-PEGn-PA(n=2-24)
M-PEGn-PA(n=2-24)
M-PEGn-NH2(n=2-24)
MAL-PEGn-PA(n=2-24)
MAL-PEGn-SPA(n=2-24)
DBCO-PEGn-PA(n=2-24)
MAL-PEGn-VC-PAB(n=2-24)
MAL-PEGn-VA-PAB(n=2-24)
DBCO-PEGn-VC-PAB(n=2-24)
DBCO-PEGn-VA-PAB(n=2-24)
LNPs
M-DMG-2000
ALC-0159
ALC-0315
SM-102
DOTAP
PLGA
产品型号
特性黏度(dL/g)
PLGA5050
PLGA5050-20H
0.16-0.24
PLGA5050-30H
0.25-0.35
PLGA5050-40H
0.36-0.44
PLGA5050-20S
0.16-0.24
PLGA5050-30S
0.25-0.35
PLGA5050-40S
0.36-0.44
PLGA6535
PLGA6535-20H
0.16-0.24
PLGA6535-30H
0.25-0.35
PLGA6535-40H
0.36-0.44
PLGA6535-20S
0.16-0.24
PLGA6535-30S
0.25-0.35
PLGA6535-40S
0.36-0.44
PLGA7525
PLGA7525-20H
0.16-0.24
PLGA7525-30H
0.25-0.35
PLGA7525-40H
0.36-0.44
PLGA7525-20S
0.16-0.24
PLGA7525-30S
0.25-0.35
PLGA7525-40S
0.36-0.44
PLGA8515
PLGA8515-20H
0.16-0.24
PLGA8515-30H
0.25-0.35
PLGA8515-40H
0.36-0.44
PLGA8515-20S
0.16-0.24
PLGA8515-30S
0.25-0.35
PLGA8515-40S
0.36-0.44

免责条款:本文内容仅代表作者观点,供行业交流参考,不构成任何投资或应用建议,如有侵权,请联系小编,多谢❀❀❀

最新文章

随机文章

基本 文件 流程 错误 SQL 调试
  1. 请求信息 : 2026-04-14 02:02:48 HTTP/2.0 GET : https://b.460.net.cn/a/524881.html
  2. 运行时间 : 0.085383s [ 吞吐率:11.71req/s ] 内存消耗:4,552.27kb 文件加载:140
  3. 缓存信息 : 0 reads,0 writes
  4. 会话信息 : SESSION_ID=e4861264c898e5c5b002e666411080b1
  1. /yingpanguazai/ssd/ssd1/www/b.460.net.cn/public/index.php ( 0.79 KB )
  2. /yingpanguazai/ssd/ssd1/www/b.460.net.cn/vendor/autoload.php ( 0.17 KB )
  3. /yingpanguazai/ssd/ssd1/www/b.460.net.cn/vendor/composer/autoload_real.php ( 2.49 KB )
  4. /yingpanguazai/ssd/ssd1/www/b.460.net.cn/vendor/composer/platform_check.php ( 0.90 KB )
  5. /yingpanguazai/ssd/ssd1/www/b.460.net.cn/vendor/composer/ClassLoader.php ( 14.03 KB )
  6. /yingpanguazai/ssd/ssd1/www/b.460.net.cn/vendor/composer/autoload_static.php ( 4.90 KB )
  7. /yingpanguazai/ssd/ssd1/www/b.460.net.cn/vendor/topthink/think-helper/src/helper.php ( 8.34 KB )
  8. /yingpanguazai/ssd/ssd1/www/b.460.net.cn/vendor/topthink/think-validate/src/helper.php ( 2.19 KB )
  9. /yingpanguazai/ssd/ssd1/www/b.460.net.cn/vendor/topthink/think-orm/src/helper.php ( 1.47 KB )
  10. /yingpanguazai/ssd/ssd1/www/b.460.net.cn/vendor/topthink/think-orm/stubs/load_stubs.php ( 0.16 KB )
  11. /yingpanguazai/ssd/ssd1/www/b.460.net.cn/vendor/topthink/framework/src/think/Exception.php ( 1.69 KB )
  12. /yingpanguazai/ssd/ssd1/www/b.460.net.cn/vendor/topthink/think-container/src/Facade.php ( 2.71 KB )
  13. /yingpanguazai/ssd/ssd1/www/b.460.net.cn/vendor/symfony/deprecation-contracts/function.php ( 0.99 KB )
  14. /yingpanguazai/ssd/ssd1/www/b.460.net.cn/vendor/symfony/polyfill-mbstring/bootstrap.php ( 8.26 KB )
  15. /yingpanguazai/ssd/ssd1/www/b.460.net.cn/vendor/symfony/polyfill-mbstring/bootstrap80.php ( 9.78 KB )
  16. /yingpanguazai/ssd/ssd1/www/b.460.net.cn/vendor/symfony/var-dumper/Resources/functions/dump.php ( 1.49 KB )
  17. /yingpanguazai/ssd/ssd1/www/b.460.net.cn/vendor/topthink/think-dumper/src/helper.php ( 0.18 KB )
  18. /yingpanguazai/ssd/ssd1/www/b.460.net.cn/vendor/symfony/var-dumper/VarDumper.php ( 4.30 KB )
  19. /yingpanguazai/ssd/ssd1/www/b.460.net.cn/vendor/topthink/framework/src/think/App.php ( 15.30 KB )
  20. /yingpanguazai/ssd/ssd1/www/b.460.net.cn/vendor/topthink/think-container/src/Container.php ( 15.76 KB )
  21. /yingpanguazai/ssd/ssd1/www/b.460.net.cn/vendor/psr/container/src/ContainerInterface.php ( 1.02 KB )
  22. /yingpanguazai/ssd/ssd1/www/b.460.net.cn/app/provider.php ( 0.19 KB )
  23. /yingpanguazai/ssd/ssd1/www/b.460.net.cn/vendor/topthink/framework/src/think/Http.php ( 6.04 KB )
  24. /yingpanguazai/ssd/ssd1/www/b.460.net.cn/vendor/topthink/think-helper/src/helper/Str.php ( 7.29 KB )
  25. /yingpanguazai/ssd/ssd1/www/b.460.net.cn/vendor/topthink/framework/src/think/Env.php ( 4.68 KB )
  26. /yingpanguazai/ssd/ssd1/www/b.460.net.cn/app/common.php ( 0.03 KB )
  27. /yingpanguazai/ssd/ssd1/www/b.460.net.cn/vendor/topthink/framework/src/helper.php ( 18.78 KB )
  28. /yingpanguazai/ssd/ssd1/www/b.460.net.cn/vendor/topthink/framework/src/think/Config.php ( 5.54 KB )
  29. /yingpanguazai/ssd/ssd1/www/b.460.net.cn/config/app.php ( 0.95 KB )
  30. /yingpanguazai/ssd/ssd1/www/b.460.net.cn/config/cache.php ( 0.78 KB )
  31. /yingpanguazai/ssd/ssd1/www/b.460.net.cn/config/console.php ( 0.23 KB )
  32. /yingpanguazai/ssd/ssd1/www/b.460.net.cn/config/cookie.php ( 0.56 KB )
  33. /yingpanguazai/ssd/ssd1/www/b.460.net.cn/config/database.php ( 2.47 KB )
  34. /yingpanguazai/ssd/ssd1/www/b.460.net.cn/vendor/topthink/framework/src/think/facade/Env.php ( 1.67 KB )
  35. /yingpanguazai/ssd/ssd1/www/b.460.net.cn/config/filesystem.php ( 0.61 KB )
  36. /yingpanguazai/ssd/ssd1/www/b.460.net.cn/config/lang.php ( 0.91 KB )
  37. /yingpanguazai/ssd/ssd1/www/b.460.net.cn/config/log.php ( 1.35 KB )
  38. /yingpanguazai/ssd/ssd1/www/b.460.net.cn/config/middleware.php ( 0.19 KB )
  39. /yingpanguazai/ssd/ssd1/www/b.460.net.cn/config/route.php ( 1.89 KB )
  40. /yingpanguazai/ssd/ssd1/www/b.460.net.cn/config/session.php ( 0.57 KB )
  41. /yingpanguazai/ssd/ssd1/www/b.460.net.cn/config/trace.php ( 0.34 KB )
  42. /yingpanguazai/ssd/ssd1/www/b.460.net.cn/config/view.php ( 0.82 KB )
  43. /yingpanguazai/ssd/ssd1/www/b.460.net.cn/app/event.php ( 0.25 KB )
  44. /yingpanguazai/ssd/ssd1/www/b.460.net.cn/vendor/topthink/framework/src/think/Event.php ( 7.67 KB )
  45. /yingpanguazai/ssd/ssd1/www/b.460.net.cn/app/service.php ( 0.13 KB )
  46. /yingpanguazai/ssd/ssd1/www/b.460.net.cn/app/AppService.php ( 0.26 KB )
  47. /yingpanguazai/ssd/ssd1/www/b.460.net.cn/vendor/topthink/framework/src/think/Service.php ( 1.64 KB )
  48. /yingpanguazai/ssd/ssd1/www/b.460.net.cn/vendor/topthink/framework/src/think/Lang.php ( 7.35 KB )
  49. /yingpanguazai/ssd/ssd1/www/b.460.net.cn/vendor/topthink/framework/src/lang/zh-cn.php ( 13.70 KB )
  50. /yingpanguazai/ssd/ssd1/www/b.460.net.cn/vendor/topthink/framework/src/think/initializer/Error.php ( 3.31 KB )
  51. /yingpanguazai/ssd/ssd1/www/b.460.net.cn/vendor/topthink/framework/src/think/initializer/RegisterService.php ( 1.33 KB )
  52. /yingpanguazai/ssd/ssd1/www/b.460.net.cn/vendor/services.php ( 0.14 KB )
  53. /yingpanguazai/ssd/ssd1/www/b.460.net.cn/vendor/topthink/framework/src/think/service/PaginatorService.php ( 1.52 KB )
  54. /yingpanguazai/ssd/ssd1/www/b.460.net.cn/vendor/topthink/framework/src/think/service/ValidateService.php ( 0.99 KB )
  55. /yingpanguazai/ssd/ssd1/www/b.460.net.cn/vendor/topthink/framework/src/think/service/ModelService.php ( 2.04 KB )
  56. /yingpanguazai/ssd/ssd1/www/b.460.net.cn/vendor/topthink/think-trace/src/Service.php ( 0.77 KB )
  57. /yingpanguazai/ssd/ssd1/www/b.460.net.cn/vendor/topthink/framework/src/think/Middleware.php ( 6.72 KB )
  58. /yingpanguazai/ssd/ssd1/www/b.460.net.cn/vendor/topthink/framework/src/think/initializer/BootService.php ( 0.77 KB )
  59. /yingpanguazai/ssd/ssd1/www/b.460.net.cn/vendor/topthink/think-orm/src/Paginator.php ( 11.86 KB )
  60. /yingpanguazai/ssd/ssd1/www/b.460.net.cn/vendor/topthink/think-validate/src/Validate.php ( 63.20 KB )
  61. /yingpanguazai/ssd/ssd1/www/b.460.net.cn/vendor/topthink/think-orm/src/Model.php ( 23.55 KB )
  62. /yingpanguazai/ssd/ssd1/www/b.460.net.cn/vendor/topthink/think-orm/src/model/concern/Attribute.php ( 21.05 KB )
  63. /yingpanguazai/ssd/ssd1/www/b.460.net.cn/vendor/topthink/think-orm/src/model/concern/AutoWriteData.php ( 4.21 KB )
  64. /yingpanguazai/ssd/ssd1/www/b.460.net.cn/vendor/topthink/think-orm/src/model/concern/Conversion.php ( 6.44 KB )
  65. /yingpanguazai/ssd/ssd1/www/b.460.net.cn/vendor/topthink/think-orm/src/model/concern/DbConnect.php ( 5.16 KB )
  66. /yingpanguazai/ssd/ssd1/www/b.460.net.cn/vendor/topthink/think-orm/src/model/concern/ModelEvent.php ( 2.33 KB )
  67. /yingpanguazai/ssd/ssd1/www/b.460.net.cn/vendor/topthink/think-orm/src/model/concern/RelationShip.php ( 28.29 KB )
  68. /yingpanguazai/ssd/ssd1/www/b.460.net.cn/vendor/topthink/think-helper/src/contract/Arrayable.php ( 0.09 KB )
  69. /yingpanguazai/ssd/ssd1/www/b.460.net.cn/vendor/topthink/think-helper/src/contract/Jsonable.php ( 0.13 KB )
  70. /yingpanguazai/ssd/ssd1/www/b.460.net.cn/vendor/topthink/think-orm/src/model/contract/Modelable.php ( 0.09 KB )
  71. /yingpanguazai/ssd/ssd1/www/b.460.net.cn/vendor/topthink/framework/src/think/Db.php ( 2.88 KB )
  72. /yingpanguazai/ssd/ssd1/www/b.460.net.cn/vendor/topthink/think-orm/src/DbManager.php ( 8.52 KB )
  73. /yingpanguazai/ssd/ssd1/www/b.460.net.cn/vendor/topthink/framework/src/think/Log.php ( 6.28 KB )
  74. /yingpanguazai/ssd/ssd1/www/b.460.net.cn/vendor/topthink/framework/src/think/Manager.php ( 3.92 KB )
  75. /yingpanguazai/ssd/ssd1/www/b.460.net.cn/vendor/psr/log/src/LoggerTrait.php ( 2.69 KB )
  76. /yingpanguazai/ssd/ssd1/www/b.460.net.cn/vendor/psr/log/src/LoggerInterface.php ( 2.71 KB )
  77. /yingpanguazai/ssd/ssd1/www/b.460.net.cn/vendor/topthink/framework/src/think/Cache.php ( 4.92 KB )
  78. /yingpanguazai/ssd/ssd1/www/b.460.net.cn/vendor/psr/simple-cache/src/CacheInterface.php ( 4.71 KB )
  79. /yingpanguazai/ssd/ssd1/www/b.460.net.cn/vendor/topthink/think-helper/src/helper/Arr.php ( 16.63 KB )
  80. /yingpanguazai/ssd/ssd1/www/b.460.net.cn/vendor/topthink/framework/src/think/cache/driver/File.php ( 7.84 KB )
  81. /yingpanguazai/ssd/ssd1/www/b.460.net.cn/vendor/topthink/framework/src/think/cache/Driver.php ( 9.03 KB )
  82. /yingpanguazai/ssd/ssd1/www/b.460.net.cn/vendor/topthink/framework/src/think/contract/CacheHandlerInterface.php ( 1.99 KB )
  83. /yingpanguazai/ssd/ssd1/www/b.460.net.cn/app/Request.php ( 0.09 KB )
  84. /yingpanguazai/ssd/ssd1/www/b.460.net.cn/vendor/topthink/framework/src/think/Request.php ( 55.78 KB )
  85. /yingpanguazai/ssd/ssd1/www/b.460.net.cn/app/middleware.php ( 0.25 KB )
  86. /yingpanguazai/ssd/ssd1/www/b.460.net.cn/vendor/topthink/framework/src/think/Pipeline.php ( 2.61 KB )
  87. /yingpanguazai/ssd/ssd1/www/b.460.net.cn/vendor/topthink/think-trace/src/TraceDebug.php ( 3.40 KB )
  88. /yingpanguazai/ssd/ssd1/www/b.460.net.cn/vendor/topthink/framework/src/think/middleware/SessionInit.php ( 1.94 KB )
  89. /yingpanguazai/ssd/ssd1/www/b.460.net.cn/vendor/topthink/framework/src/think/Session.php ( 1.80 KB )
  90. /yingpanguazai/ssd/ssd1/www/b.460.net.cn/vendor/topthink/framework/src/think/session/driver/File.php ( 6.27 KB )
  91. /yingpanguazai/ssd/ssd1/www/b.460.net.cn/vendor/topthink/framework/src/think/contract/SessionHandlerInterface.php ( 0.87 KB )
  92. /yingpanguazai/ssd/ssd1/www/b.460.net.cn/vendor/topthink/framework/src/think/session/Store.php ( 7.12 KB )
  93. /yingpanguazai/ssd/ssd1/www/b.460.net.cn/vendor/topthink/framework/src/think/Route.php ( 23.73 KB )
  94. /yingpanguazai/ssd/ssd1/www/b.460.net.cn/vendor/topthink/framework/src/think/route/RuleName.php ( 5.75 KB )
  95. /yingpanguazai/ssd/ssd1/www/b.460.net.cn/vendor/topthink/framework/src/think/route/Domain.php ( 2.53 KB )
  96. /yingpanguazai/ssd/ssd1/www/b.460.net.cn/vendor/topthink/framework/src/think/route/RuleGroup.php ( 22.43 KB )
  97. /yingpanguazai/ssd/ssd1/www/b.460.net.cn/vendor/topthink/framework/src/think/route/Rule.php ( 26.95 KB )
  98. /yingpanguazai/ssd/ssd1/www/b.460.net.cn/vendor/topthink/framework/src/think/route/RuleItem.php ( 9.78 KB )
  99. /yingpanguazai/ssd/ssd1/www/b.460.net.cn/route/app.php ( 1.72 KB )
  100. /yingpanguazai/ssd/ssd1/www/b.460.net.cn/vendor/topthink/framework/src/think/facade/Route.php ( 4.70 KB )
  101. /yingpanguazai/ssd/ssd1/www/b.460.net.cn/vendor/topthink/framework/src/think/route/dispatch/Controller.php ( 4.74 KB )
  102. /yingpanguazai/ssd/ssd1/www/b.460.net.cn/vendor/topthink/framework/src/think/route/Dispatch.php ( 10.44 KB )
  103. /yingpanguazai/ssd/ssd1/www/b.460.net.cn/app/controller/Index.php ( 4.81 KB )
  104. /yingpanguazai/ssd/ssd1/www/b.460.net.cn/app/BaseController.php ( 2.05 KB )
  105. /yingpanguazai/ssd/ssd1/www/b.460.net.cn/vendor/topthink/think-orm/src/facade/Db.php ( 0.93 KB )
  106. /yingpanguazai/ssd/ssd1/www/b.460.net.cn/vendor/topthink/think-orm/src/db/connector/Mysql.php ( 5.44 KB )
  107. /yingpanguazai/ssd/ssd1/www/b.460.net.cn/vendor/topthink/think-orm/src/db/PDOConnection.php ( 52.47 KB )
  108. /yingpanguazai/ssd/ssd1/www/b.460.net.cn/vendor/topthink/think-orm/src/db/Connection.php ( 8.39 KB )
  109. /yingpanguazai/ssd/ssd1/www/b.460.net.cn/vendor/topthink/think-orm/src/db/ConnectionInterface.php ( 4.57 KB )
  110. /yingpanguazai/ssd/ssd1/www/b.460.net.cn/vendor/topthink/think-orm/src/db/builder/Mysql.php ( 16.58 KB )
  111. /yingpanguazai/ssd/ssd1/www/b.460.net.cn/vendor/topthink/think-orm/src/db/Builder.php ( 24.06 KB )
  112. /yingpanguazai/ssd/ssd1/www/b.460.net.cn/vendor/topthink/think-orm/src/db/BaseBuilder.php ( 27.50 KB )
  113. /yingpanguazai/ssd/ssd1/www/b.460.net.cn/vendor/topthink/think-orm/src/db/Query.php ( 15.71 KB )
  114. /yingpanguazai/ssd/ssd1/www/b.460.net.cn/vendor/topthink/think-orm/src/db/BaseQuery.php ( 45.13 KB )
  115. /yingpanguazai/ssd/ssd1/www/b.460.net.cn/vendor/topthink/think-orm/src/db/concern/TimeFieldQuery.php ( 7.43 KB )
  116. /yingpanguazai/ssd/ssd1/www/b.460.net.cn/vendor/topthink/think-orm/src/db/concern/AggregateQuery.php ( 3.26 KB )
  117. /yingpanguazai/ssd/ssd1/www/b.460.net.cn/vendor/topthink/think-orm/src/db/concern/ModelRelationQuery.php ( 20.07 KB )
  118. /yingpanguazai/ssd/ssd1/www/b.460.net.cn/vendor/topthink/think-orm/src/db/concern/ParamsBind.php ( 3.66 KB )
  119. /yingpanguazai/ssd/ssd1/www/b.460.net.cn/vendor/topthink/think-orm/src/db/concern/ResultOperation.php ( 7.01 KB )
  120. /yingpanguazai/ssd/ssd1/www/b.460.net.cn/vendor/topthink/think-orm/src/db/concern/WhereQuery.php ( 19.37 KB )
  121. /yingpanguazai/ssd/ssd1/www/b.460.net.cn/vendor/topthink/think-orm/src/db/concern/JoinAndViewQuery.php ( 7.11 KB )
  122. /yingpanguazai/ssd/ssd1/www/b.460.net.cn/vendor/topthink/think-orm/src/db/concern/TableFieldInfo.php ( 2.63 KB )
  123. /yingpanguazai/ssd/ssd1/www/b.460.net.cn/vendor/topthink/think-orm/src/db/concern/Transaction.php ( 2.77 KB )
  124. /yingpanguazai/ssd/ssd1/www/b.460.net.cn/vendor/topthink/framework/src/think/log/driver/File.php ( 5.96 KB )
  125. /yingpanguazai/ssd/ssd1/www/b.460.net.cn/vendor/topthink/framework/src/think/contract/LogHandlerInterface.php ( 0.86 KB )
  126. /yingpanguazai/ssd/ssd1/www/b.460.net.cn/vendor/topthink/framework/src/think/log/Channel.php ( 3.89 KB )
  127. /yingpanguazai/ssd/ssd1/www/b.460.net.cn/vendor/topthink/framework/src/think/event/LogRecord.php ( 1.02 KB )
  128. /yingpanguazai/ssd/ssd1/www/b.460.net.cn/vendor/topthink/think-helper/src/Collection.php ( 16.47 KB )
  129. /yingpanguazai/ssd/ssd1/www/b.460.net.cn/vendor/topthink/framework/src/think/facade/View.php ( 1.70 KB )
  130. /yingpanguazai/ssd/ssd1/www/b.460.net.cn/vendor/topthink/framework/src/think/View.php ( 4.39 KB )
  131. /yingpanguazai/ssd/ssd1/www/b.460.net.cn/vendor/topthink/framework/src/think/Response.php ( 8.81 KB )
  132. /yingpanguazai/ssd/ssd1/www/b.460.net.cn/vendor/topthink/framework/src/think/response/View.php ( 3.29 KB )
  133. /yingpanguazai/ssd/ssd1/www/b.460.net.cn/vendor/topthink/framework/src/think/Cookie.php ( 6.06 KB )
  134. /yingpanguazai/ssd/ssd1/www/b.460.net.cn/vendor/topthink/think-view/src/Think.php ( 8.38 KB )
  135. /yingpanguazai/ssd/ssd1/www/b.460.net.cn/vendor/topthink/framework/src/think/contract/TemplateHandlerInterface.php ( 1.60 KB )
  136. /yingpanguazai/ssd/ssd1/www/b.460.net.cn/vendor/topthink/think-template/src/Template.php ( 46.61 KB )
  137. /yingpanguazai/ssd/ssd1/www/b.460.net.cn/vendor/topthink/think-template/src/template/driver/File.php ( 2.41 KB )
  138. /yingpanguazai/ssd/ssd1/www/b.460.net.cn/vendor/topthink/think-template/src/template/contract/DriverInterface.php ( 0.86 KB )
  139. /yingpanguazai/ssd/ssd1/www/b.460.net.cn/runtime/temp/b35eef690f41e64ad9e1c098cfc7d3bc.php ( 11.98 KB )
  140. /yingpanguazai/ssd/ssd1/www/b.460.net.cn/vendor/topthink/think-trace/src/Html.php ( 4.42 KB )
  1. CONNECT:[ UseTime:0.000546s ] mysql:host=127.0.0.1;port=3306;dbname=b460;charset=utf8mb4
  2. SHOW FULL COLUMNS FROM `fenlei` [ RunTime:0.000704s ]
  3. SELECT * FROM `fenlei` WHERE `fid` = 0 [ RunTime:0.000321s ]
  4. SELECT * FROM `fenlei` WHERE `fid` = 63 [ RunTime:0.000260s ]
  5. SHOW FULL COLUMNS FROM `set` [ RunTime:0.000445s ]
  6. SELECT * FROM `set` [ RunTime:0.000191s ]
  7. SHOW FULL COLUMNS FROM `article` [ RunTime:0.000511s ]
  8. SELECT * FROM `article` WHERE `id` = 524881 LIMIT 1 [ RunTime:0.000443s ]
  9. UPDATE `article` SET `lasttime` = 1776103368 WHERE `id` = 524881 [ RunTime:0.005659s ]
  10. SELECT * FROM `fenlei` WHERE `id` = 65 LIMIT 1 [ RunTime:0.003709s ]
  11. SELECT * FROM `article` WHERE `id` < 524881 ORDER BY `id` DESC LIMIT 1 [ RunTime:0.000615s ]
  12. SELECT * FROM `article` WHERE `id` > 524881 ORDER BY `id` ASC LIMIT 1 [ RunTime:0.000410s ]
  13. SELECT * FROM `article` WHERE `id` < 524881 ORDER BY `id` DESC LIMIT 10 [ RunTime:0.000677s ]
  14. SELECT * FROM `article` WHERE `id` < 524881 ORDER BY `id` DESC LIMIT 10,10 [ RunTime:0.000799s ]
  15. SELECT * FROM `article` WHERE `id` < 524881 ORDER BY `id` DESC LIMIT 20,10 [ RunTime:0.004407s ]
0.086995s