在 TAVR²S2026 大会期间,厦门大学附属心血管病医院王焱教授团队联合南京市第一医院陈绍良教授,应用一次性环形肺动脉射频消融导管和NeoBlazar®系统,成功对一例重度肺动脉高压伴严重三尖瓣反流患者实施了一站式经皮肺动脉去神经术(PADN)和经导管三尖瓣成形术(T-TEER),并面向全球进行了手术直播。
此次一站式手术所针对的“重度肺动脉高压伴严重三尖瓣反流”是心血管领域极具挑战性的临床情形。目前研究认为,二者构成互为因果、相互加剧的恶性循环。
a:一方面,肺动脉压力持续升高会显著增加右心室后负荷,导致右心室扩大及三尖瓣环扩张,从而引发或加重功能性三尖瓣反流;
b:另一方面,严重的三尖瓣反流会导致右心室容量超负荷、功能不全,加剧全身淤血和器官灌注不足,可能反射性地加剧肺血管阻力,使肺动脉高压的治疗更为棘手。
应用传统的观点单纯针对三尖瓣介入手术而忽视肺动脉高压会增加围手术期死亡率的风险。
基于前期本中心大量的临床实践探索,分次手术经验以及充分的MDT讨论,决定此次使用联合治疗策略,正是为了突破这一治疗困境的前沿探索,旨在通过一次性干预同时打破上述恶性循环,为患者提供更全面的血流动力学纠治。
据悉,患者已经于术后第四天康复出院。



该创新性一站式手术获得了与会国际同行的广泛关注与高度评价。主持人Giora Weisz教授认为,PADN联合三尖瓣治疗是一种合理的综合策略。它同时关注了肺动脉高压与三尖瓣反流带来的右心室负荷难题。主持人宋光远教授的核心点评在于强调PADN的协同价值与患者筛选的重要性。他认为,无论在TEER或传统修复术中联合PADN,均能通过有效降低肺动脉压力,为患者带来更快的术后恢复。林逸贤教授、潘文志教授、何卓邦教授、王耀国教授、陆毅康教授、孟欣教授、李伟教授、Anson Cheung教授、Hasanain A. Jilaihawi教授、Maurizio Taramasso教授等国内外知名专家均对本病例治疗策略的前瞻性与手术团队的卓越技术给予了充分肯定。
病例报道
患者术前资料
基本情况患者主诉活动后胸闷、气促 6 年余,心功能分级为 Ⅱ 级(NYHA 分级)。
主要诊断
1. 重度非风湿性三尖瓣关闭不全,中度二尖瓣关闭不全,慢性心力衰竭,心功能 II 级(NYHA 分级)
2. 重度肺动脉高压
3. 持续性心房颤动,室性早搏
4. 高血压病 III级(极高危)
5. 冠状动脉粥样硬化
6. 颈动脉硬化
7. 锁骨下动脉粥样硬化
8. 下肢动脉粥样硬化
9. 陈旧性脑梗死,脑梗死后遗症
超声诊断
1. 全心扩大,以右房为著;升主动脉增宽
2. 重度三尖瓣反流(FTR4+);重度肺动脉高压
3. 轻度二尖瓣反流(MR1+);轻度主动脉瓣反流(AR1+)
4. 左室整体收缩功能正常,右室收缩功能减低
手术难点及策略
手术难点挑战
1. 三尖瓣反流区域广,前叶和隔叶及中央区均有反流
2. 瓣叶形态为 Type ⅢB 型,后叶有 2 个瓣叶
手术策略预计在前叶和隔叶先使用一个 NeoBlazarC6 瓣膜夹,减小前叶和隔叶靠近交界区的反流,然后在前叶和隔叶靠近中央区植入一个 NeoBlazarC6 瓣膜夹,后再根据术中残余反流情况决定是否需要植入第三枚瓣膜夹。
手术过程
考虑到患者伴有重度肺动脉高压,在接受 T-TEER 手术后,患者三尖瓣反流减轻后,存在右心失代偿风险,PADN 手术能有效降低肺动脉压力,从而减轻右心后负荷。此次 PADN+T-TEER 的一站式手术,达到一次手术多层获益的效果,这将让患者获得更好的生活质量和更长久生存期的受益。
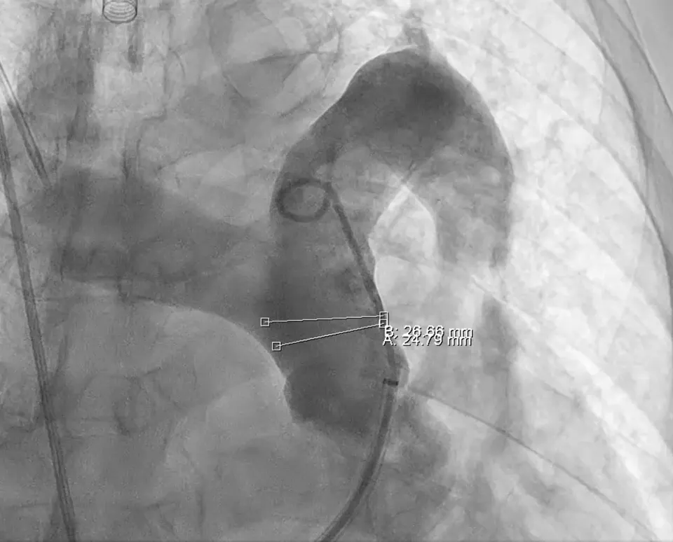
PADN 手术过程患者 PADN 手术前行右心导管检查示 RAP 16mmHg,PAP 51/20/30mmHg,PAWP 21mmHg,PVR 2.42wood,测量肺动脉主干直径约 26mm。根据消融导管圈径:肺动脉主干直径 = 1:1.1-1.2,选择 30mmPADN 导管。术者通过导管贴靠三个目标靶点进行消融,消融过程顺利。
PADN 手术结束后,复测右心导管检查示:PAP 35/20/25mmHg,PAWP17mmHg,患者即刻肺动脉压力下降达到 10% 以上。
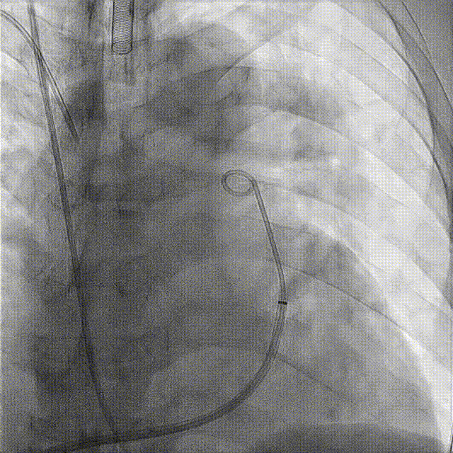
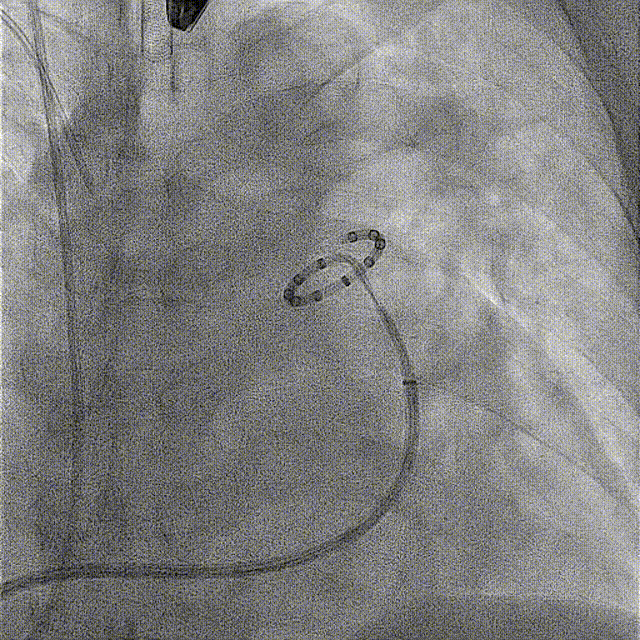
PADN术中造影和导管消融图(见下图):

LAO0°+CRA20°和 LAO20°+CRA20°体位造影

LAO0°+CRA20°造影体位测得主肺动脉直径约26mm

LAO0°+CRA20°工作体位依次进行A、B、C点消融
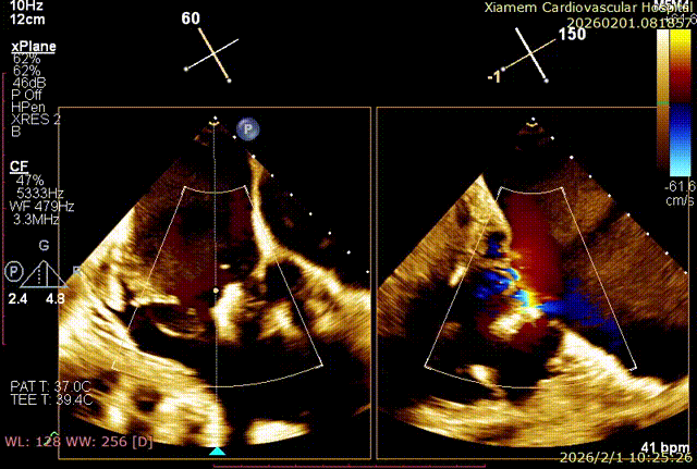
T-TEER 手术过程术前 TTE+TEE 评估:全心扩大,右房横径 8.3cm,左房横径 5.2cm;三尖瓣房性功能性反流,Type ⅢB 型(后叶为两瓣),反流程度 4+(Massive),缩流颈宽度 VC 为 14.5mm;TAPSE 为 1.3cm, LVEF(%)为 72%。
手术在全麻状态下进行,在食道超声和 DSA 引导下,经股静脉穿刺,送入导丝建立右心房路径,沿导丝将导引鞘管送入右心房,再通过可调弯鞘管将一枚 6mm 夹合器送至右心房,精准调整夹合器的 Orientation 和 Trajectory 至目标区域。
第一个夹子释放后,在前叶、隔叶间靠近中央区仍有残余反流,所以决定再植入一枚 6mm 夹合器。第二枚夹合器抓捕瓣叶过程中,受到第一枚夹合器影响,无法清晰的在 X-plane 切面上进行瓣叶捕获,因此改用 3D-MultiView 切面顺利抓捕,关闭夹合器后残余反流已经由术前极重度(4+)减小为轻中度(2+),手术过程流畅,手术结果完美。


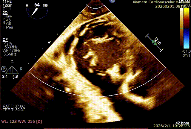
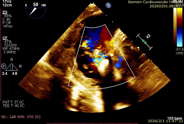
术前食道中段切面
食道胃底切面


first clip食道中段切面
first clip食道胃底切面


3D-MultiView引导手术
术后即刻反流改善为2+
治疗结果与讨论
该病例体现了肺动脉高压与三尖瓣反流相互加剧的临床困境:肺动脉高压增加右心负荷导致三尖瓣反流加重,而严重三尖瓣反流又会加剧右心衰与全身淤血,使肺动脉高压治疗更为棘手。传统单独处理任一病变均可能受限。本次一站式PADN+T-TEER 手术,旨在通过同期降低肺血管阻力与纠正三尖瓣反流,一次性打破这一恶性循环,实现“一次手术、双病同治” 的治疗目标。PADN 有效降低患者肺动脉压力,减轻右心后负荷,为 T-TEER 创造了更安全的手术条件;T-TEER 术则精准改善三尖瓣反流问题,二者协同作用,显著降低了患者右心失代偿风险,为探索此类复杂疾病的综合治疗提供了前沿范例。
手术团队凭借扎实的临床经验与精湛的操作技巧,成功应对瓣叶解剖复杂、反流区域广泛等挑战,通过合理部署两枚瓣膜夹,将三尖瓣反流从极重度降至轻中度,充分验证了一站式联合手术方案在复杂瓣膜病合并肺动脉高压患者中的应用价值。
本次跨国直播不仅是厦门心血管病医院团队技术实力的展示,更是中国诊疗经验以及原创器械走向国际舞台的重要一步。作为国内结构性心脏病介入治疗的引领者,团队始终致力于攻克结构性心脏病领域的疑难重症病例。此次TAVR²S的跨国直播,再次彰显出中国在三尖瓣技术领域的国际影响力,为中外医学学术协作搭建了坚实桥梁。未来,团队将持续深耕结构性心脏病介入治疗领域,通过持续的技术突破与经验共享,为全球心血管疾病患者的健康贡献中国智慧与中国力量。”
专家简介

王焱
厦门大学附属心血管病医院(点击查看专家详细简历)


陈绍良
南京市第一医院(点击查看专家详细简历)


陈翔
厦门大学附属心血管病医院(点击查看专家详细简历)

臻亿医疗
江苏臻亿医疗科技有限公司着重专注致死致残率极高且国产市场仍是空白的心血管疾病领域,业务全面覆盖心脏瓣膜、外周、冠脉等多个介入治疗领域,是率先在全球范围内实现血液流向管理一站式创新解决方案的平台化企业。凭借雄厚的研发实力和资深完整的运营团队,臻亿医疗从产品本身出发打造了具有自主知识产权的优质国产医疗器械和完整解决方案,填补国内心血管介入高端医疗器械空白,为中国医生及患者提供更先进更多样的治疗选择,同时臻亿医疗立足中国、布局全球,随着技术创新及发展持续升级,企业加速拓展全球商业化网络,在心血管介入领域众多长期被进口产品垄断的细分市场中提供“中国方案”、贡献“中国智慧”。

扫码关注我们
商务合作 | 0513-68302888
邮箱地址 | vicky.z@trulive.cn