
你相信吗?一个看似‘偶然’发作的气胸,背后可能藏着你从未听过的基因秘密?
🔎南京大学医学院团队在📘《European Respiratory Journal》中研究首次采用大规模全基因组关联分析(GWAS),结合多阶段病例-对照研究(共2223例患者与3838例对照),系统探讨了原发性自发性气胸的遗传易感基因及其分子机制。研究通过精细定位、体外双荧光素酶报告、电泳迁移变动分析(EMSA)、染色质免疫共沉淀(ChIP)及条件性基因敲除小鼠模型,重点分析了CBX7基因及其下游MMP信号通路在肺囊肿形成中的作用,为疾病发病机制提供了新见解。
👇关注生信启航,获取更多高分思路
你还在观望吗?如果你也想借助GWAS的方法进行分析,小航每天分享高分文献,关注生信启航,后台进行咨询,下一篇高分就是你!

原发性自发性气胸多见于青年群体,病因不明且易复发,危害健康并产生医疗负担。虽有家族聚集现象,但多数患者为散发性,推测与肺发育异常相关。此前相关基因研究较少,因该病患病率低,难集齐大规模样本,故开展针对中国汉族人群的大规模全基因组关联研究,以探寻易感基因及发病机制。
研究设计与样本
三阶段多中心研究,含 646 例患者 + 1072 例对照(发现阶段)和 1577 例患者 + 2766 例对照(验证阶段),均为中国汉族人群。
患者来自 2006-2018 年临床案例,对照为无明显肺部疾病人群,均签署知情同意书。
基因分型与数据分析
用 Axiom 芯片分型(902560 个 SNP),经 PLINK 质控后,通过密歇根 Imputation Server 填补基因组数据。
以 logistic 回归分析 SNP 与疾病关联,纳入 10 个主成分和吸烟状态为协变量,合并多阶段数据,以 5.0×10⁻⁸为显著阈值。
基因表达与功能验证
收集患者肺囊肿组织和对照正常肺组织,用 qPCR、Western blotting 和 IHC 检测 CBX7 及 MMP 家族基因表达。
通过荧光素酶报告基因实验、EMSA 验证 rs1005300 位点功能,RNA-seq 分析 CBX7 沉默细胞系差异基因,ChIP 验证 CBX7 与 MMP 基因启动子结合。

图解摘要
如果你也想尝试这方面的选题,想get同款数据库却不知道如何下手?不要犹豫,后台联系生信启航!生信启航为你提供专业的生信分析服务!

通过三阶段 GWAS 分析,鉴定出 4 个原发性自发性气胸新易感位点:14q32.2(C14orf177 附近 rs7150005)、15q26.3(CHSY1 附近 rs1869640)、16q23.1(CFDP1 附近 rs4888372)、22q13.1(CBX7 内含子 rs139393),均达全基因组显著水平(合并 p 值≤2.35×10⁻¹⁰)。

图1-顺铂耐药细胞系构建与转录组分析
表达差异显著:在 100 例患者肺囊肿组织与 104 例对照正常肺组织中,CBX7 的 mRNA 表达水平显著降低(p<0.0002,Cohen's d=0.55);34 例患者与 39 例对照的 Western blotting 结果显示,CBX7 蛋白表达同样显著下调(p=0.0015,Cohen's d=0.82);免疫组化评分进一步证实,患者组织中 CBX7 阳性表达率远低于对照(p<0.0001)。
基因型与表达关联:rs139393 不同基因型(CC、CT、TT)携带者的 CBX7 mRNA 表达存在显著差异,CC 基因型表达量最高,TT 基因型最低(CC vs TT,p<0.0001;CC vs CT+TT,p=0.0007)。
功能变异鉴定:精细定位 22q13.1 区域发现,rs1005300 与 rs139393 完全连锁(D′=1,r²=1),且位于 CBX7 核心启动子区;荧光素酶报告基因实验显示,rs1005300 的 G 等位基因(风险等位基因)启动子活性显著低于 C 等位基因,EMSA 实验证实该变异通过破坏转录因子 CREB1 的结合亲和力,抑制 CBX7 转录。

图3-基于 HO-1 的分子对接与验证
差异基因筛选:CBX7 沉默的 A549、H1299 等细胞系 RNA-seq 分析显示,1489 个基因表达显著差异,其中 MMP9、MMP16、MMP11、MMP2 等基质金属蛋白酶基因显著上调,且富集于细胞外基质调控通路。
临床样本验证:33 例患者与 33 例对照的 qPCR、Western blotting 结果显示,患者组织中 MMP9、MMP16 的 mRNA 和蛋白表达均显著升高(p<0.001),MMP11 表达轻度升高(p=0.0151),且 MMP9、MMP16 表达与 CBX7 呈强负相关(r>0.4,p<0.001);免疫组化显示,患者肺上皮细胞和巨噬细胞中 MMP9、MMP16 染色强度显著高于对照(p<0.0001)。
直接结合验证:ChIP 实验证实,CBX7 可直接结合 MMP9 和 MMP16 的启动子区域,通过转录抑制调控其表达。

图3:CBX7 靶基因 MMP 家族表达分析
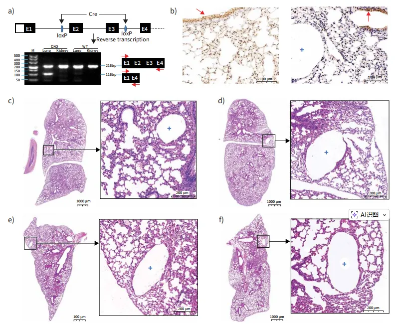
肺囊肿形成:利用 Cre-loxP 系统构建肺上皮细胞特异性 CBX7 条件敲除(Cbx7-CKO)小鼠,6、8、12、24 周龄(对应人类 12、16、21、28 岁)均出现肺囊肿,且发生率随年龄递增(6 周 25%→8 周 57.1%→12 周 73.9%→24 周 76.5%,p<0.05);囊肿多为椭圆形(78.5%),集中于肺上叶(68.3%)且靠近胸膜(60.8%),与人类患者肺大疱 / 囊肿特征高度一致。
MMP 基因上调:Cbx7-CKO 小鼠肺组织中,MMP9、MMP16 的 mRNA 和蛋白表达显著高于野生型小鼠(8、12、24 周龄 p<0.01),免疫组化染色强度也显著增强,与人类患者的分子表型完全契合。

图4:CBX7 条件敲除小鼠肺囊肿形成

图5:敲除小鼠 MMP9、MMP16 表达分析
该研究对中国汉族人群开展大规模 GWAS,鉴定出 4 个原发性自发性气胸新易感位点,聚焦 CBX7 基因。其在患者肺组织中表达下调,受 rs1005300 变异调控,通过抑制 MMP9、MMP16 表达参与发病。CBX7 敲除小鼠出现肺囊肿,验证了该基因及下游通路的致病作用,为疾病机制与诊疗提供新线索。
生信启航专注于生信分析,如果你也想使用"GWAS"的方法进行研究,复现高分思路,那就快后台联系吧~生信启航,助力每个科研梦想!


